product summary
Loading...
company name :
HUABIO
product type :
antibody
product name :
PRDM1
catalog :
HA500255
quantity :
100μl
price :
330 USD
clonality :
polyclonal
host :
domestic rabbit
conjugate :
nonconjugated
reactivity :
human, mouse, rat
application :
western blot, flow cytometry, immunohistochemistry - paraffin section
more info or order :
image
image 1 :

Immunohistochemical analysis of paraffin-embedded rat cervix tissue using anti-PRDM1 antibody. The section was pre-treated using heat mediated antigen retrieval with sodium citrate buffer (pH 6.0) (high pressure) for 2 minutes. The tissues were blocked in 5% BSA for 30 minutes at room temperature, washed with ddH2O and PBS, and then probed with the primary antibody (HA500255, 1/400) for 30 minutes at room temperature. The detection was performed using an HRP conjugated compact polymer system. DAB was used as the chromogen. Tissues were counterstained with hematoxylin and mounted with DPX.
image 2 :

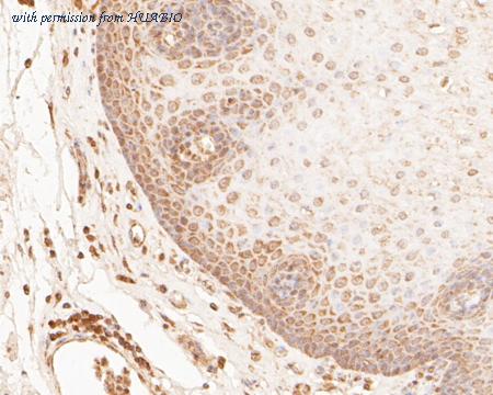
Immunohistochemical analysis of paraffin-embedded human skin tissue using anti-PRDM1 antibody. The section was pre-treated using heat mediated antigen retrieval with sodium citrate buffer (pH 6.0) (high pressure) for 2 minutes. The tissues were blocked in 5% BSA for 30 minutes at room temperature, washed with ddH2O and PBS, and then probed with the primary antibody (HA500255, 1/400) for 30 minutes at room temperature. The detection was performed using an HRP conjugated compact polymer system. DAB was used as the chromogen. Tissues were counterstained with hematoxylin and mounted with DPX.
image 3 :

Immunohistochemical analysis of paraffin-embedded human esophagus tissue using anti-PRDM1 antibody. The section was pre-treated using heat mediated antigen retrieval with sodium citrate buffer (pH 6.0) (high pressure) for 2 minutes. The tissues were blocked in 5% BSA for 30 minutes at room temperature, washed with ddH2O and PBS, and then probed with the primary antibody (HA500255, 1/400) for 30 minutes at room temperature. The detection was performed using an HRP conjugated compact polymer system. DAB was used as the chromogen. Tissues were counterstained with hematoxylin and mounted with DPX.
product information
SKU :
HA500255
Target name :
PRDM1
Species reactivity :
Human,Mouse,Rat
Applications :
IHC-P,FC,WB
Conjugate :
Non-conjugated
Immunogen :
Synthetic peptide within Human aa 770-825 / 825.
Uniprot id :
O75626>SwissProt: O75626 Human;SwissProt: Q60636 Mouse
Host :
Rabbit
Isotype :
IgG
Size :
100μl
List Price :
330 USD
Storage Buffer :
1*TBS (pH7.4), 0.2% BSA, 50% Glycerol. Preservative: 0.05% Sodium Azide.
Form :
Liquid
Storage Instruction :
Shipped at 4℃. Store at +4℃ short term (1-2 weeks). It is recommended to aliquot into single-use upon delivery. Store at -20℃ long term.
Purity :
Immunogen affinity purified.
Product type :
Rabbit polyclonal Antibody
Positive control :
Rat cervix tissue, human skin tissue, human esophagus tissue, mouse esophagus tissue, PANC-1, mouse kidney tissue lysate, rat kidney tissue lysate.
Molecular wt :
Predicted band size: 92 kDa
Subcellular location :
Cytoplasm, Nucleus.
Concentration :
1 mg/ml.
Recommended dilutions :
IHC-P: 1:100-1:500
;FC: 1:50-1:100
;WB: 1:1,000
Pic img4 :
https://storage.huabio.cn/huabio/productImg/HA500255_4.jpg
Pic legend4 :
Immunohistochemical analysis of paraffin-embedded mouse esophagus tissue using anti-PRDM1 antibody. The section was pre-treated using heat mediated antigen retrieval with sodium citrate buffer (pH 6.0) (high pressure) for 2 minutes. The tissues were blocked in 5% BSA for 30 minutes at room temperature, washed with ddH2O and PBS, and then probed with the primary antibody (HA500255, 1/400) for 30 minutes at room temperature. The detection was performed using an HRP conjugated compact polymer system. DAB was used as the chromogen. Tissues were counterstained with hematoxylin and mounted with DPX.
Pic img5 :
https://storage.huabio.cn/huabio/productImg/HA500255_5.jpg
Pic legend5 :
Flow cytometric analysis of PRDM1 was done on PANC-1 cells. The cells were fixed, permeabilized and stained with the primary antibody (HA500255, 1/50) (red). After incubation of the primary antibody at room temperature for an hour, the cells were stained with a Alexa Fluor 488-conjugated Goat anti-Rabbit IgG Secondary antibody at 1/1000 dilution for 30 minutes.Unlabelled sample was used as a control (cells without incubation with primary antibody; black).
Pic img6 :
https://storage.huabio.cn/huabio/productImg/HA500255_6.jpg
Pic legend6 :
Western blot analysis of PRDM1 on different lysates with Rabbit anti-PRDM1 antibody (HA500255) at 1/1,000 dilution.
Lane 1: Mouse kidney tissue lysate
Lane 2: Rat kidney tissue lysate
Lysates/proteins at 20 µg/Lane.
Predicted band size: 92 kDa
Observed band size: 75 kDa
Exposure time: 3 minutes; ECL: K1801;
4-20% SDS-PAGE gel.
Proteins were transferred to a PVDF membrane and blocked with 5% NFDM/TBST for 1 hour at room temperature. The primary antibody (HA500255) at 1/1,000 dilution was used in 5% NFDM/TBST at room temperature for 2 hours. Goat Anti-Rabbit IgG - HRP Secondary Antibody (HA1001) at 1/50,000 dilution was used for 1 hour at room temperature.
more info or order :
company information

HUABIO
Founded in 2007, HUABIO is dedicated to developing high-quality antibodies that advance innovation. We are passionate about the accuracy, efficiency, and consistency of our products. That is why we have invested in new production platforms, like recombinant rabbit monoclonals, alpaca nanobodies, and adopted aggressive QA standards to deliver cutting-edge antibodies with uncompromised quality.
We hope to see you at your next discovery!
We hope to see you at your next discovery!
browse more products
questions and comments
