product summary
Loading...
company name :
HUABIO
product type :
antibody
product name :
TRAP alpha
catalog :
HA500105
quantity :
100μl
price :
330 USD
clonality :
polyclonal
host :
domestic rabbit
conjugate :
nonconjugated
reactivity :
human, mouse, rat
application :
western blot, immunohistochemistry - paraffin section
more info or order :
image
image 1 :

Western blot analysis of TRAP alpha on different lysates. Proteins were transferred to a PVDF membrane and blocked with 5% BSA in PBS for 1 hour at room temperature. The primary antibody (HA500105, 1/500) was used in 5% BSA at room temperature for 2 hours. Goat Anti-Rabbit IgG - HRP Secondary Antibody (HA1001) at 1:5,000 dilution was used for 1 hour at room temperature.
Positive control:
Lane 1: A431 cell lysate
Lane 2: HepG2 cell lysate
Lane 3: Mouse kidney tissue lysate
Lane 4: Rat stomach tissue lysate
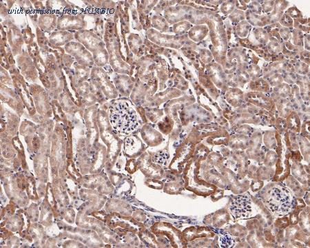
image 2 :

Immunohistochemical analysis of paraffin-embedded rat kidney tissue using anti-TRAP alpha antibody. The section was pre-treated using heat mediated antigen retrieval with Tris-EDTA buffer (pH 8.0-8.4) for 20 minutes.The tissues were blocked in 5% BSA for 30 minutes at room temperature, washed with ddH2O and PBS, and then probed with the primary antibody (HA500105, 1/1000) for 30 minutes at room temperature. The detection was performed using an HRP conjugated compact polymer system. DAB was used as the chromogen. Tissues were counterstained with hematoxylin and mounted with DPX.
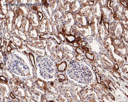
image 3 :

Immunohistochemical analysis of paraffin-embedded mouse kidney tissue using anti-TRAP alpha antibody. The section was pre-treated using heat mediated antigen retrieval with Tris-EDTA buffer (pH 8.0-8.4) for 20 minutes.The tissues were blocked in 5% BSA for 30 minutes at room temperature, washed with ddH2O and PBS, and then probed with the primary antibody (HA500105, 1/1000) for 30 minutes at room temperature. The detection was performed using an HRP conjugated compact polymer system. DAB was used as the chromogen. Tissues were counterstained with hematoxylin and mounted with DPX.
product information
SKU :
HA500105
Target name :
TRAP alpha
Species reactivity :
Human,Mouse,Rat
Applications :
WB,IHC-P
Conjugate :
Non-conjugated
Immunogen :
Recombinant protein within human TRAP alpha aa 19-200.
Uniprot id :
P4$3307>SwissProt: P4$3307 Human;SwissProt: Q9CY50 Mouse;SwissProt: Q7TPJ0 Rat
Host :
Rabbit
Isotype :
IgG
Size :
100μl
List Price :
330 USD
Storage Buffer :
1*TBS (pH7.4), 0.2% BSA, 50% Glycerol. Preservative: 0.05% Sodium Azide.
Form :
Liquid
Storage Instruction :
Shipped at 4℃. Store at +4℃ short term (1-2 weeks). It is recommended to aliquot into single-use upon delivery. Store at -20℃ long term.
Purity :
Immunogen affinity purified.
Product type :
Rabbit polyclonal Antibody
Positive control :
A431 cell lysate, HepG2 cell lysate, mouse kidney tissue lysate, rat stomach tissue lysate, rat kidney tissue, mouse kidney tissue.
Molecular wt :
32 kDa
Subcellular location :
Endoplasmic reticulum membrane.
Concentration :
1 mg/mL.
Recommended dilutions :
WB: 1:500-1:2,000
;IHC-P: 1:500-1:2,000
more info or order :
company information

HUABIO
Founded in 2007, HUABIO is dedicated to developing high-quality antibodies that advance innovation. We are passionate about the accuracy, efficiency, and consistency of our products. That is why we have invested in new production platforms, like recombinant rabbit monoclonals, alpaca nanobodies, and adopted aggressive QA standards to deliver cutting-edge antibodies with uncompromised quality.
We hope to see you at your next discovery!
We hope to see you at your next discovery!
browse more products
questions and comments
