product summary
Loading...
company name :
HUABIO
product type :
antibody
product name :
OTC/Ornithine Carbamoyltransferase
catalog :
HA500048
quantity :
100μl
price :
330 USD
clonality :
polyclonal
host :
domestic rabbit
conjugate :
nonconjugated
reactivity :
human, mouse, rat
application :
western blot, immunohistochemistry - paraffin section
more info or order :
image
image 1 :

Western blot analysis of OTC/Ornithine Carbamoyltransferase on different lysates. Proteins were transferred to a PVDF membrane and blocked with 5% BSA in PBS for 1 hour at room temperature. The primary antibody (HA500048, 1/500) was used in 5% BSA at room temperature for 2 hours. Goat Anti-Rabbit IgG - HRP Secondary Antibody (HA1001) at 1:5,000 dilution was used for 1 hour at room temperature.
Positive control:
Lane 1: Rat colon tissue lysate
Lane 2: Human liver tissue lysate
Lane 2: Mouse liver tissue lysate
image 2 :

ICC staining of OTC/Ornithine Carbamoyltransferase in SW480 cells (green). Formalin fixed cells were permeabilized with 0.1% Triton X-100 in TBS for 10 minutes at room temperature and blocked with 1% Blocker BSA for 15 minutes at room temperature. Cells were probed with the primary antibody (HA500048, 1/100) for 1 hour at room temperature, washed with PBS. Alexa Fluor®488 Goat anti-Rabbit IgG was used as the secondary antibody at 1/1,000 dilution. The nuclear counter stain is DAPI (blue).
image 3 :

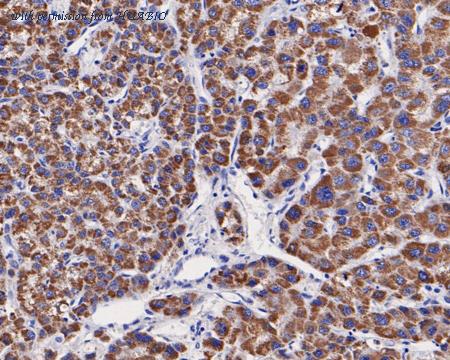
Immunohistochemical analysis of paraffin-embedded human liver carcinoma tissue using anti-OTC/Ornithine Carbamoyltransferase antibody. The section was pre-treated using heat mediated antigen retrieval with Tris-EDTA buffer (pH 8.0-8.4) for 20 minutes.The tissues were blocked in 5% BSA for 30 minutes at room temperature, washed with ddH2O and PBS, and then probed with the primary antibody (HA500048, 1/400) for 30 minutes at room temperature. The detection was performed using an HRP conjugated compact polymer system. DAB was used as the chromogen. Tissues were counterstained with hematoxylin and mounted with DPX.
product information
SKU :
HA500048
Target name :
OTC/Ornithine Carbamoyltransferase
Species reactivity :
Human,Mouse,Rat
Applications :
WB,IF-Cell,IHC-P
Conjugate :
Non-conjugated
Immunogen :
Recombinant protein within human OTC/Ornithine Carbamoyltransferase aa 200-354.
Uniprot id :
P00480>SwissProt: P00480 Human;SwissProt: P11725 Mouse;SwissProt: P00481 Rat
Host :
Rabbit
Isotype :
IgG
Size :
100μl
List Price :
330 USD
Storage Buffer :
1*TBS (pH7.4), 0.2% BSA, 50% Glycerol. Preservative: 0.05% Sodium Azide.
Form :
Liquid
Storage Instruction :
Shipped at 4℃. Store at +4℃ short term (1-2 weeks). It is recommended to aliquot into single-use upon delivery. Store at -20℃ long term.
Purity :
Immunogen affinity purified.
Product type :
Rabbit polyclonal Antibody
Positive control :
Rat colon tissue lysate, human liver tissue lysate, mouse liver tissue lysate, SW480, human liver carcinoma tissue, human liver tissue.
Molecular wt :
40 kDa
Subcellular location :
Mitochondrion
Concentration :
1 mg/mL.
Recommended dilutions :
WB: 1:1,000-1:5,000;IF-Cell: 1:50-1:200;IHC-P: 1:100-1:500
Pic img4 :
https://storage.huabio.cn/huabio/productImg/HA500048_4.jpg
Pic legend4 :
Immunohistochemical analysis of paraffin-embedded human liver tissue using anti-OTC/Ornithine Carbamoyltransferase antibody. The section was pre-treated using heat mediated antigen retrieval with Tris-EDTA buffer (pH 8.0-8.4) for 20 minutes.The tissues were blocked in 5% BSA for 30 minutes at room temperature, washed with ddH2O and PBS, and then probed with the primary antibody (HA500048, 1/400) for 30 minutes at room temperature. The detection was performed using an HRP conjugated compact polymer system. DAB was used as the chromogen. Tissues were counterstained with hematoxylin and mounted with DPX.
more info or order :
company information

HUABIO
Founded in 2007, HUABIO is dedicated to developing high-quality antibodies that advance innovation. We are passionate about the accuracy, efficiency, and consistency of our products. That is why we have invested in new production platforms, like recombinant rabbit monoclonals, alpaca nanobodies, and adopted aggressive QA standards to deliver cutting-edge antibodies with uncompromised quality.
We hope to see you at your next discovery!
We hope to see you at your next discovery!
browse more products
questions and comments
