product summary
Loading...
company name :
HUABIO
product type :
antibody
product name :
Ube2B
catalog :
ET7111-09
quantity :
100μl
price :
385.00 USD
clonality :
monoclonal
host :
domestic rabbit
conjugate :
nonconjugated
clone name :
JE56-12
reactivity :
human, mouse, rat, zebrafish
application :
western blot, immunohistochemistry - paraffin section
more info or order :
image
image 1 :

Western blot analysis of Ube2B on different lysates with Rabbit anti-Ube2B antibody (ET7111-09) at 1/5,000 dilution.
Lane 1: HepG2 cell lysate (10 µg/Lane)
Lane 2: Jurkat cell lysate (10 µg/Lane)
Lane 3: NIH/3T3 cell lysate (10 µg/Lane)
Lane 4: PC-12 cell lysate (10 µg/Lane)
Lane 5: Mouse testis tissue lysate (20 µg/Lane)
Lane 6: Rat testis tissue lysate (20 µg/Lane)
Predicted band size: 17 kDa
Observed band size: 17 kDa
Exposure time: 10 seconds; ECL: K1801;
4-20% SDS-PAGE gel.
Proteins were transferred to a PVDF membrane and blocked with 5% NFDM/TBST for 1 hour at room temperature. The primary antibody (ET7111-09) at 1/5,000 dilution was used in primary antibody dilution (K1803) at 4℃ overnight. Goat Anti-Rabbit IgG - HRP Secondary Antibody (HA1001) at 1/50,000 dilution was used for 1 hour at room temperature.
image 2 :

Western blot analysis of Ube2B on zebrafish tissue lysates. Proteins were transferred to a PVDF membrane and blocked with 5% BSA in PBS for 1 hour at room temperature. The primary antibody (ET7111-09, 1/500) was used in 5% BSA at room temperature for 2 hours. Goat Anti-Rabbit IgG - HRP Secondary Antibody (HA1001) at 1:5,000 dilution was used for 1 hour at room temperature.
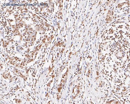
image 3 :

Immunohistochemical analysis of paraffin-embedded human breast carcinoma tissue using anti-Ube2B antibody. The section was pre-treated using heat mediated antigen retrieval with sodium citrate buffer (pH 6.0) (high pressure) for 2 minutes. The tissues were blocked in 5% BSA for 30 minutes at room temperature, washed with ddH2O and PBS, and then probed with the primary antibody (ET7111-09, 1/200) for 30 minutes at room temperature. The detection was performed using an HRP conjugated compact polymer system. DAB was used as the chromogen. Tissues were counterstained with hematoxylin and mounted with DPX.
product information
SKU :
ET7111-09
Target name :
Ube2B
Species reactivity :
Human,Mouse,Rat,Zebrafish
Applications :
WB,IHC-P
Conjugate :
Non-conjugated
Immunogen :
Synthetic peptide within N-terminal Human Ube2B.
Uniprot id :
P63146>SwissProt: P63146 Human;SwissProt: P63147 Mouse;SwissProt: P63149 Rat
Host :
Rabbit
Clone number :
JE56-12
Isotype :
IgG
Size :
100μl
List Price :
385.00 USD
Storage Buffer :
1*TBS (pH7.4), 0.05% BSA, 40% Glycerol. Preservative: 0.05% Sodium Azide.
Form :
Liquid
Storage Instruction :
Shipped at 4℃. Store at +4℃ short term (1-2 weeks). It is recommended to aliquot into single-use upon delivery. Store at -20℃ long term.
Purity :
Protein A affinity purified.
Product type :
Recombinant Rabbit monoclonal Antibody
Positive control :
HepG2 cell lysate, Jurkat cell lysate, NIH/3T3 cell lysate, PC-12 cell lysate, mouse testis tissue lysate, rat testis tissue lysate, zebrafish tissue lysates, human breast carcinoma tissue, human fetal skeletal muscle tissue.
Molecular wt :
Predicted band size: 17 kDa
Subcellular location :
Cell membrane, Nucleus.
Concentration :
1 mg/mL.
Recommended dilutions :
WB: 1:500-1:5,000
;IHC-P: 1:50-1:200
Pic img4 :
https://storage.huabio.cn/huabio/productImg/ET7111-09_4.jpg
Pic legend4 :
Immunohistochemical analysis of paraffin-embedded human fetal skeletal muscle tissue using anti-Ube2B antibody. The section was pre-treated using heat mediated antigen retrieval with sodium citrate buffer (pH 6.0) (high pressure) for 2 minutes. The tissues were blocked in 5% BSA for 30 minutes at room temperature, washed with ddH2O and PBS, and then probed with the primary antibody (ET7111-09, 1/50) for 30 minutes at room temperature. The detection was performed using an HRP conjugated compact polymer system. DAB was used as the chromogen. Tissues were counterstained with hematoxylin and mounted with DPX.
more info or order :
company information

HUABIO
Founded in 2007, HUABIO is dedicated to developing high-quality antibodies that advance innovation. We are passionate about the accuracy, efficiency, and consistency of our products. That is why we have invested in new production platforms, like recombinant rabbit monoclonals, alpaca nanobodies, and adopted aggressive QA standards to deliver cutting-edge antibodies with uncompromised quality.
We hope to see you at your next discovery!
We hope to see you at your next discovery!
browse more products
questions and comments
