product summary
Loading...
company name :
HUABIO
product type :
antibody
product name :
TEAD1
catalog :
ET7111-04
quantity :
100μl
price :
385.00 USD
clonality :
monoclonal
host :
domestic rabbit
conjugate :
nonconjugated
clone name :
JE52-71
reactivity :
human, mouse, rat
application :
western blot, immunohistochemistry - paraffin section
more info or order :
image
image 1 :

All lanes: Western blot analysis of TEF1 with anti-TEF1 antibody [JE52-71] (ET7111-04) at 1:500 dilution.
Lane 1: Wild-type ct26.wt whole cell lysate.
Lane 2: TEF1 knockout ct26.wt whole cell lysate.
ET7111-04 was shown to specifically react with TEF1 in wild-type ct26.wt cells. No band was observed when TEF1 knockout samples were tested. Wild-type and TEF1 knockout samples were subjected to SDS-PAGE. Proteins were transferred to a PVDF membrane and blocked with 5% NFDM in TBST for 1 hour at room temperature. The primary Anti-TEF1 antibody (ET7111-04, 1/500) and Anti-HSP90 antibody (ET1605-56, 1/10,000) were used in 5% BSA at room temperature for 2 hours. Goat Anti-Rabbit IgG H&L (HRP) Secondary Antibody (HA1001) at 1:200,000 dilution was used for 1 hour at room temperature.
Cell lysate was provided by Ubigene Biosciences (Ubigene Biosciences Co., Ltd., Guangzhou, China).
image 2 :

Western blot analysis of TEAD1 on different lysates with Rabbit anti-TEAD1 antibody (ET7111-04) at 1/1,000 dilution.
Lane 1: A431 cell lysate
Lane 2: A549 cell lysate
Lane 3: HeLa cell lysate
Lane 4: Mouse embryo tissue lysate
Lane 5: Mouse skeletal muscle tissue lysate
Lane 6: Rat embryo tissue lysate
Lane 7: Rat skeletal muscle tissue lysate
Lysates/proteins at 20 µg/Lane.
Predicted band size: 48 kDa
Observed band size: 48/50 kDa
Exposure time: 2 minutes 7 seconds; ECL: K1801;
4-20% SDS-PAGE gel.
Proteins were transferred to a PVDF membrane and blocked with 5% NFDM/TBST for 1 hour at room temperature. The primary antibody (ET7111-04) at 1/1,000 dilution was used in 5% NFDM/TBST at 4℃ overnight. Goat Anti-Rabbit IgG - HRP Secondary Antibody (HA1001) at 1/50,000 dilution was used for 1 hour at room temperature.
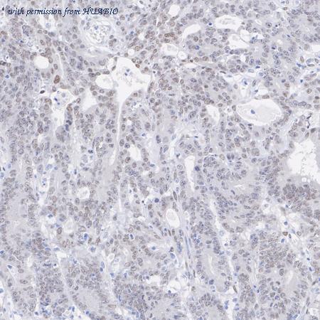
image 3 :

Immunohistochemical analysis of paraffin-embedded human colon cancer tissue with Rabbit anti-TEAD1 antibody (ET7111-04) at 1/200 dilution.
The section was pre-treated using heat mediated antigen retrieval with sodium citrate buffer (pH 6.0) (high pressure) for 2 minutes. The tissues were blocked in 1% BSA for 20 minutes at room temperature, washed with ddH2O and PBS, and then probed with the primary antibody (ET7111-04) at 1/200 dilution for 1 hour at room temperature. The detection was performed using an HRP conjugated compact polymer system. DAB was used as the chromogen. Tissues were counterstained with hematoxylin and mounted with DPX.
product information
SKU :
ET7111-04
Target name :
TEAD1
Species reactivity :
Human,Mouse,Rat
Applications :
WB,IF-Cell,IHC-P
Conjugate :
Non-conjugated
Immunogen :
Synthetic peptide within Human TEAD1 aa 1-50 / 426.
Uniprot id :
P28347>SwissProt: P28347 Human;SwissProt: P30051 Mouse;Entrez Gene: 361630 Rat
Host :
Rabbit
Clone number :
JE52-71
Isotype :
IgG
Size :
100μl
List Price :
385.00 USD
Storage Buffer :
1*TBS (pH7.4), 0.05% BSA, 40% Glycerol. Preservative: 0.05% Sodium Azide.
Form :
Liquid
Storage Instruction :
Shipped at 4℃. Store at +4℃ short term (1-2 weeks). It is recommended to aliquot into single-use upon delivery. Store at -20℃ long term.
Purity :
Protein A affinity purified.
Product type :
Recombinant Rabbit monoclonal Antibody
Positive control :
A431 cell lysate, A549 cell lysate, HeLa cell lysate, Mouse embryo tissue lysate, Mouse skeletal muscle tissue lysate, Rat embryo tissue lysate, Rat skeletal muscle tissue lysate, human colon cancer tissue, human testis tissue, A549, MG-63, SiHa.
Molecular wt :
Predicted band size: 48 kDa
Subcellular location :
Nucleus.
Concentration :
1 mg/mL.
Recommended dilutions :
WB: 1:1,000
;IF-Cell: 1:50-1:100
;IHC-P: 1:50-1:200
Advanced Validation :
Knockout (KO)
Pic img4 :
https://storage.huabio.cn/huabio/productImg/ET7111-04_4.jpg
Pic legend4 :
Immunohistochemical analysis of paraffin-embedded human testis tissue with Rabbit anti-TEAD1 antibody (ET7111-04) at 1/200 dilution.
The section was pre-treated using heat mediated antigen retrieval with sodium citrate buffer (pH 6.0) (high pressure) for 2 minutes. The tissues were blocked in 1% BSA for 20 minutes at room temperature, washed with ddH2O and PBS, and then probed with the primary antibody (ET7111-04) at 1/200 dilution for 1 hour at room temperature. The detection was performed using an HRP conjugated compact polymer system. DAB was used as the chromogen. Tissues were counterstained with hematoxylin and mounted with DPX.
Pic img5 :
https://storage.huabio.cn/huabio/productImg/ET7111-04_5.jpg
Pic legend5 :
Immunocytochemistry analysis of A549 cells labeling TEAD1 with Rabbit anti-TEAD1 antibody (ET7111-04) at 1/50 dilution.
Cells were fixed in 4% paraformaldehyde for 10 minutes at 37 ℃, permeabilized with 0.05% Triton X-100 in PBS for 20 minutes, and then blocked with 2% negative goat serum for 30 minutes at room temperature. Cells were then incubated with Rabbit anti-TEAD1 antibody (ET7111-04) at 1/50 dilution in 2% negative goat serum overnight at 4 ℃.Alexa Fluor®488 Goat anti-Rabbit IgG was used as the secondary antibody at 1/1,000 dilution. Nuclear DNA was labelled in blue with DAPI.
Pic img6 :
https://storage.huabio.cn/huabio/productImg/ET7111-04_6.jpg
Pic legend6 :
Immunocytochemistry analysis of MG-63 cells labeling TEAD1 with Rabbit anti-TEAD1 antibody (ET7111-04) at 1/50 dilution.
Cells were fixed in 4% paraformaldehyde for 10 minutes at 37 ℃, permeabilized with 0.05% Triton X-100 in PBS for 20 minutes, and then blocked with 2% negative goat serum for 30 minutes at room temperature. Cells were then incubated with Rabbit anti-TEAD1 antibody (ET7111-04) at 1/50 dilution in 2% negative goat serum overnight at 4 ℃.Alexa Fluor®488 Goat anti-Rabbit IgG was used as the secondary antibody at 1/1,000 dilution. Nuclear DNA was labelled in blue with DAPI.
Pic img7 :
https://storage.huabio.cn/huabio/productImg/ET7111-04_7.jpg
Pic legend7 :
Immunocytochemistry analysis of SiHa cells labeling TEAD1 with Rabbit anti-TEAD1 antibody (ET7111-04) at 1/50 dilution.
Cells were fixed in 4% paraformaldehyde for 10 minutes at 37 ℃, permeabilized with 0.05% Triton X-100 in PBS for 20 minutes, and then blocked with 2% negative goat serum for 30 minutes at room temperature. Cells were then incubated with Rabbit anti-TEAD1 antibody (ET7111-04) at 1/50 dilution in 2% negative goat serum overnight at 4 ℃.Alexa Fluor®488 Goat anti-Rabbit IgG was used as the secondary antibody at 1/1,000 dilution. Nuclear DNA was labelled in blue with DAPI.
more info or order :
company information

HUABIO
Founded in 2007, HUABIO is dedicated to developing high-quality antibodies that advance innovation. We are passionate about the accuracy, efficiency, and consistency of our products. That is why we have invested in new production platforms, like recombinant rabbit monoclonals, alpaca nanobodies, and adopted aggressive QA standards to deliver cutting-edge antibodies with uncompromised quality.
We hope to see you at your next discovery!
We hope to see you at your next discovery!
browse more products
questions and comments
