product summary
Loading...
company name :
HUABIO
product type :
antibody
product name :
RPL7A
catalog :
ET7110-70
quantity :
100μl
price :
385.00 USD
clonality :
monoclonal
host :
domestic rabbit
conjugate :
nonconjugated
clone name :
JE54-45
reactivity :
human, mouse
application :
western blot, immunohistochemistry - paraffin section
more info or order :
image
image 1 :

Western blot analysis of RPL7A on different lysates with Rabbit anti-RPL7A antibody (ET7110-70) at 1/500 dilution.
Lane 1: A431 cell lysate
Lane 2: Jurkat cell lysate
Lane 3: Raji cell lysate
Lane 4: NIH/3T3 cell lysate
Lane 5: C2C12 cell lysate
Lysates/proteins at 10 µg/Lane.
Predicted band size: 30 kDa
Observed band size: 30 kDa
Exposure time: 2 minutes;
12% SDS-PAGE gel.
Proteins were transferred to a PVDF membrane and blocked with 5% NFDM/TBST for 1 hour at room temperature. The primary antibody (ET7110-70) at 1/500 dilution was used in 5% NFDM/TBST at room temperature for 2 hours. Goat Anti-Rabbit IgG - HRP Secondary Antibody (HA1001) at 1:5,000 dilution was used for 1 hour at room temperature.
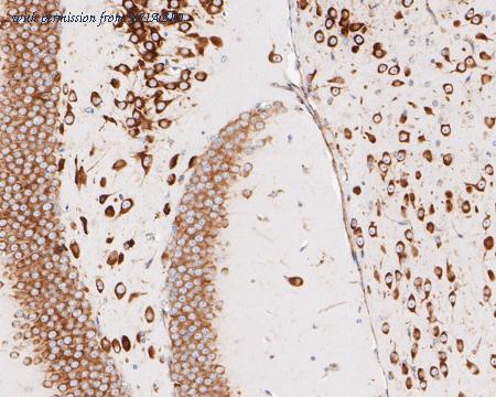
image 2 :

Immunohistochemical analysis of paraffin-embedded mouse brain tissue with Rabbit anti-RPL7A antibody (ET7110-70) at 1/50 dilution.
The section was pre-treated using heat mediated antigen retrieval with sodium citrate buffer (pH 6.0) (high pressure) for 2 minutes. The tissues were blocked in 1% BSA for 20 minutes at room temperature, washed with ddH2O and PBS, and then probed with the primary antibody (ET7110-70) at 1/100 dilution for 1 hour at room temperature. The detection was performed using an HRP conjugated compact polymer system. DAB was used as the chromogen. Tissues were counterstained with hematoxylin and mounted with DPX.
product information
SKU :
ET7110-70
Target name :
RPL7A
Species reactivity :
Human,Mouse
Applications :
WB,IHC-P
Conjugate :
Non-conjugated
Immunogen :
Recombinant protein within Human RPL7A aa 1-165 / 266.
Uniprot id :
P62424>SwissProt: P62424 Human;SwissProt: P12970 Mouse
Host :
Rabbit
Clone number :
JE54-45
Isotype :
IgG
Size :
100μl
List Price :
385.00 USD
Storage Buffer :
1*TBS (pH7.4), 0.05% BSA, 40% Glycerol. Preservative: 0.05% Sodium Azide.
Form :
Liquid
Storage Instruction :
Shipped at 4℃. Store at +4℃ short term (1-2 weeks). It is recommended to aliquot into single-use upon delivery. Store at -20℃ long term.
Purity :
Protein A affinity purified.
Product type :
Recombinant Rabbit monoclonal Antibody
Positive control :
A431 cell lysate, Jurkat cell lysate, Raji cell lysate, NIH/3T3 cell lysate, C2C12 cell lysate, mouse brain tissue.
Molecular wt :
30 kDa
Subcellular location :
Cytosol, cytosolic large ribosomal subunit, nucleolus, nucleus, cytoplasm, focal adhesion, membrane, polysomal ribosome, synapse.
Concentration :
1 mg/mL.
Recommended dilutions :
WB:1:500-1:1,000
;IHC-P:1:50-1:200
more info or order :
company information

HUABIO
Founded in 2007, HUABIO is dedicated to developing high-quality antibodies that advance innovation. We are passionate about the accuracy, efficiency, and consistency of our products. That is why we have invested in new production platforms, like recombinant rabbit monoclonals, alpaca nanobodies, and adopted aggressive QA standards to deliver cutting-edge antibodies with uncompromised quality.
We hope to see you at your next discovery!
We hope to see you at your next discovery!
browse more products
questions and comments
