product summary
Loading...
company name :
HUABIO
product type :
antibody
product name :
Beta glucuronidase
catalog :
ET7110-66
quantity :
100μl
price :
385.00 USD
clonality :
monoclonal
host :
domestic rabbit
conjugate :
nonconjugated
clone name :
JE54-34
reactivity :
human
application :
western blot, flow cytometry, immunohistochemistry - paraffin section
more info or order :
image
image 1 :

Western blot analysis of Beta glucuronidase on different lysates with Rabbit anti-Beta glucuronidase antibody (ET7110-66) at 1/500 dilution.
Lane 1: U937 cell lysate
Lane 2: Human lung tissue lysate(20 µg/Lane)
Lysates/proteins at 10 µg/Lane.
Predicted band size: 75 kDa
Observed band size: 75 kDa
Exposure time: 2 minutes;
8% SDS-PAGE gel.
Proteins were transferred to a PVDF membrane and blocked with 5% NFDM/TBST for 1 hour at room temperature. The primary antibody (ET7110-66) at 1/500 dilution was used in 5% NFDM/TBST at room temperature for 2 hours. Goat Anti-Rabbit IgG - HRP Secondary Antibody (HA1001) at 1:5,000 dilution was used for 1 hour at room temperature.
image 2 :

Western blot analysis of Beta glucuronidase on THP-1 cell lysates with Rabbit anti-Beta glucuronidase antibody (ET7110-66) at 1/500 dilution.
Lysates/proteins at 10 µg/Lane.
Predicted band size: 75 kDa
Observed band size: 75 kDa
Exposure time: 2 minutes;
8% SDS-PAGE gel.
Proteins were transferred to a PVDF membrane and blocked with 5% NFDM/TBST for 1 hour at room temperature. The primary antibody (ET7110-66) at 1/500 dilution was used in 5% NFDM/TBST at room temperature for 2 hours. Goat Anti-Rabbit IgG - HRP Secondary Antibody (HA1001) at 1:300,000 dilution was used for 1 hour at room temperature.
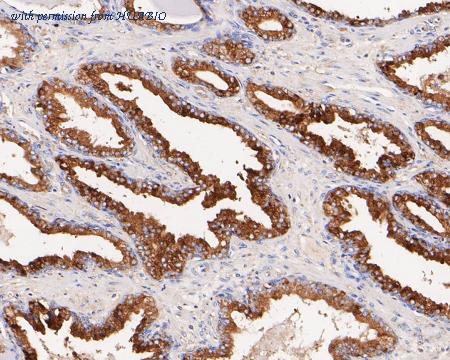
image 3 :

Immunohistochemical analysis of paraffin-embedded human prostate carcinoma tissue with Rabbit anti-Beta glucuronidase antibody (ET7110-66) at 1/200 dilution.
The section was pre-treated using heat mediated antigen retrieval with Tris-EDTA buffer (pH 8.0-8.4) for 20 minutes. The tissues were blocked in 1% BSA for 20 minutes at room temperature, washed with ddH2O and PBS, and then probed with the primary antibody (ET7110-66) at 1/200 dilution for 1 hour at room temperature. The detection was performed using an HRP conjugated compact polymer system. DAB was used as the chromogen. Tissues were counterstained with hematoxylin and mounted with DPX.
product information
SKU :
ET7110-66
Target name :
Beta glucuronidase
Species reactivity :
Human
Applications :
WB,IHC-P,FC
Conjugate :
Non-conjugated
Immunogen :
Recombinant protein within Human beta glucuronidase aa 1-160 / 651.
Uniprot id :
P08236>SwissProt: P08236 Human
Host :
Rabbit
Clone number :
JE54-34
Isotype :
IgG
Size :
100μl
List Price :
385.00 USD
Storage Buffer :
1*TBS (pH7.4), 0.05% BSA, 40% Glycerol. Preservative: 0.05% Sodium Azide.
Form :
Liquid
Storage Instruction :
Shipped at 4℃. Store at +4℃ short term (1-2 weeks). It is recommended to aliquot into single-use upon delivery. Store at -20℃ long term.
Purity :
Protein A affinity purified.
Product type :
Recombinant Rabbit monoclonal Antibody
Positive control :
U937 cell lysate, human lung tissue lysate, THP-1 cell lysates, human prostate carcinoma tissue, human kidney tissue, THP-1.
Molecular wt :
75 kDa
Subcellular location :
Lysosome
Concentration :
1 mg/mL.
Recommended dilutions :
WB:1:500-1:1,000
;IHC-P:1:50-1:200
;FC:1:50-1:100
Pic img4 :
https://storage.huabio.cn/huabio/productImg/ET7110-66_4.jpg
Pic legend4 :
Immunohistochemical analysis of paraffin-embedded human kidney tissue with Rabbit anti-Beta glucuronidase antibody (ET7110-66) at 1/200 dilution.
The section was pre-treated using heat mediated antigen retrieval with Tris-EDTA buffer (pH 8.0-8.4) for 20 minutes. The tissues were blocked in 1% BSA for 20 minutes at room temperature, washed with ddH2O and PBS, and then probed with the primary antibody (ET7110-66) at 1/200 dilution for 1 hour at room temperature. The detection was performed using an HRP conjugated compact polymer system. DAB was used as the chromogen. Tissues were counterstained with hematoxylin and mounted with DPX.
Pic img5 :
https://storage.huabio.cn/huabio/productImg/ET7110-66_5.jpg
Pic legend5 :
Flow cytometric analysis of Beta glucuronidase was done on THP-1 cells. The cells were fixed, permeabilized and stained with the primary antibody (ET7110-66, 1/50) (red). After incubation of the primary antibody at room temperature for an hour, the cells were stained with a Alexa Fluor 488-conjugated Goat anti-Rabbit IgG Secondary antibody at 1/1000 dilution for 30 minutes.Unlabelled sample was used as a control (cells without incubation with primary antibody; black).
more info or order :
company information

HUABIO
Founded in 2007, HUABIO is dedicated to developing high-quality antibodies that advance innovation. We are passionate about the accuracy, efficiency, and consistency of our products. That is why we have invested in new production platforms, like recombinant rabbit monoclonals, alpaca nanobodies, and adopted aggressive QA standards to deliver cutting-edge antibodies with uncompromised quality.
We hope to see you at your next discovery!
We hope to see you at your next discovery!
browse more products
questions and comments
