product summary
Loading...
company name :
HUABIO
product type :
antibody
product name :
SAA4
catalog :
ET7109-69
quantity :
100μl
price :
385.00 USD
clonality :
monoclonal
host :
domestic rabbit
conjugate :
nonconjugated
clone name :
JE47-81
reactivity :
human
application :
western blot, flow cytometry, immunohistochemistry - paraffin section
more info or order :
image
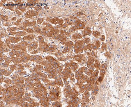
image 1 :

Immunohistochemical analysis of paraffin-embedded human liver tissue using anti-SAA4 antibody. The section was pre-treated using heat mediated antigen retrieval with Tris-EDTA buffer (pH 9.0) for 20 minutes.The tissues were blocked in 5% BSA for 30 minutes at room temperature, washed with ddH2O and PBS, and then probed with the primary antibody (ET7109-69, 1/50) for 30 minutes at room temperature. The detection was performed using an HRP conjugated compact polymer system. DAB was used as the chromogen. Tissues were counterstained with hematoxylin and mounted with DPX.
image 2 :

Immunohistochemical analysis of paraffin-embedded human kidney tissue using anti-SAA4 antibody. The section was pre-treated using heat mediated antigen retrieval with Tris-EDTA buffer (pH 9.0) for 20 minutes.The tissues were blocked in 5% BSA for 30 minutes at room temperature, washed with ddH2O and PBS, and then probed with the primary antibody (ET7109-69, 1/50) for 30 minutes at room temperature. The detection was performed using an HRP conjugated compact polymer system. DAB was used as the chromogen. Tissues were counterstained with hematoxylin and mounted with DPX.
image 3 :

Flow cytometric analysis of SAA4 was done on SiHa cells. The cells were fixed, permeabilized and stained with the primary antibody (ET7109-69, 1/50) (red). After incubation of the primary antibody at room temperature for an hour, the cells were stained with a Alexa Fluor 488-conjugated Goat anti-Rabbit IgG Secondary antibody at 1/1000 dilution for 30 minutes.Unlabelled sample was used as a control (cells without incubation with primary antibody; black).
product information
SKU :
ET7109-69
Target name :
SAA4
Species reactivity :
Human
Applications :
WB,IHC-P,FC
Conjugate :
Non-conjugated
Immunogen :
Recombinant protein within Human SAA4 aa 1-130 / 130.
Uniprot id :
P35542>SwissProt: P35542 Human
Host :
Rabbit
Clone number :
JE47-81
Isotype :
IgG
Size :
100μl
List Price :
385.00 USD
Storage Buffer :
1*TBS (pH7.4), 0.05% BSA, 40% Glycerol. Preservative: 0.05% Sodium Azide.
Form :
Liquid
Storage Instruction :
Shipped at 4℃. Store at +4℃ short term (1-2 weeks). It is recommended to aliquot into single-use upon delivery. Store at -20℃ long term.
Purity :
Protein A affinity purified.
Product type :
Recombinant Rabbit monoclonal Antibody
Positive control :
Human liver tissue, human kidney tissue, SiHa.
Molecular wt :
Predicted band size: 15 kDa
Subcellular location :
Secreted.
Concentration :
1 mg/mL.
Recommended dilutions :
WB:1:500
;IHC-P:1:50-1:200
;FC:1:50-1:100
more info or order :
company information

HUABIO
Founded in 2007, HUABIO is dedicated to developing high-quality antibodies that advance innovation. We are passionate about the accuracy, efficiency, and consistency of our products. That is why we have invested in new production platforms, like recombinant rabbit monoclonals, alpaca nanobodies, and adopted aggressive QA standards to deliver cutting-edge antibodies with uncompromised quality.
We hope to see you at your next discovery!
We hope to see you at your next discovery!
browse more products
questions and comments
