product summary
Loading...
company name :
HUABIO
product type :
antibody
product name :
Brachyury / Bry
catalog :
ET7109-35
quantity :
100μl
price :
385.00 USD
clonality :
monoclonal
host :
domestic rabbit
conjugate :
nonconjugated
clone name :
JE44-11
reactivity :
human, mouse
application :
western blot, immunoprecipitation, flow cytometry, immunohistochemistry - paraffin section
more info or order :
image
image 1 :

Western blot analysis of Brachyury / Bry on different lysates. Proteins were transferred to a PVDF membrane and blocked with 5% BSA in PBS for 1 hour at room temperature. The primary antibody (ET7109-35, 1/500) was used in 5% BSA at room temperature for 2 hours. Goat Anti-Rabbit IgG - HRP Secondary Antibody (HA1001) at 1:5,000 dilution was used for 1 hour at room temperature.
Positive control:
Lane 1: Hela cell lysate
Lane 2: 293 cell lysate
Lane 3: SH-SY5Y cell lysate
image 2 :

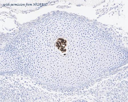
Immunohistochemical analysis of paraffin-embedded mouse embryo notochord tissue with Rabbit anti-Brachyury / Bry antibody (ET7109-35) at 1/1,000 dilution.
The section was pre-treated using heat mediated antigen retrieval with sodium citrate buffer (pH 6.0) (high pressure) for 2 minutes. The tissues were blocked in 1% BSA for 20 minutes at room temperature, washed with ddH2O and PBS, and then probed with the primary antibody (ET7109-35) at 1/1,000 dilution for 1 hour at room temperature. The detection was performed using an HRP conjugated compact polymer system. DAB was used as the chromogen. Tissues were counterstained with hematoxylin and mounted with DPX.
image 3 :

Flow cytometric analysis of Brachyury / Bry was done on A549 cells. The cells were fixed, permeabilized and stained with the primary antibody (ET7109-35, 1/50) (red). After incubation of the primary antibody at room temperature for an hour, the cells were stained with a Alexa Fluor 488-conjugated Goat anti-Rabbit IgG Secondary antibody at 1/1,000 dilution for 30 minutes.Unlabelled sample was used as a control (cells without incubation with primary antibody; black).
product information
SKU :
ET7109-35
Target name :
Brachyury / Bry
Species reactivity :
Human,Mouse
Applications :
WB,IHC-P,FC,IP
Conjugate :
Non-conjugated
Immunogen :
Recombinant protein within Human Brachyury aa 236-435 / 435.
Uniprot id :
O15178>SwissProt: O15178 Human;SwissProt: P20293 Mouse
Host :
Rabbit
Clone number :
JE44-11
Isotype :
IgG
Size :
100μl
List Price :
385.00 USD
Storage Buffer :
1*TBS (pH7.4), 0.05% BSA, 40% Glycerol. Preservative: 0.05% Sodium Azide.
Form :
Liquid
Storage Instruction :
Shipped at 4℃. Store at +4℃ short term (1-2 weeks). It is recommended to aliquot into single-use upon delivery. Store at -20℃ long term.
Purity :
Protein A affinity purified.
Product type :
Recombinant Rabbit monoclonal Antibody
Positive control :
Hela cell lysate, 293 cell lysate, SH-SY5Y cell lysate, mouse embryo notochord tissue, A549.
Molecular wt :
Predicted band size: 47 kDa
Subcellular location :
Nucleus.
Concentration :
1 mg/ml.
Recommended dilutions :
WB: 1:500-1:1,000
;IHC-P: 1:1,000
;FC: 1:50-1:100
;IP: Use at an assay dependent concentration.
more info or order :
company information

HUABIO
Founded in 2007, HUABIO is dedicated to developing high-quality antibodies that advance innovation. We are passionate about the accuracy, efficiency, and consistency of our products. That is why we have invested in new production platforms, like recombinant rabbit monoclonals, alpaca nanobodies, and adopted aggressive QA standards to deliver cutting-edge antibodies with uncompromised quality.
We hope to see you at your next discovery!
We hope to see you at your next discovery!
browse more products
questions and comments
