product summary
Loading...
company name :
HUABIO
product type :
antibody
product name :
MARK2
catalog :
ET7109-20
quantity :
100μl
price :
385.00 USD
clonality :
monoclonal
host :
domestic rabbit
conjugate :
nonconjugated
clone name :
JE40-97
reactivity :
human, mouse, rat
application :
western blot, flow cytometry, immunohistochemistry - paraffin section
more info or order :
image
image 1 :

Western blot analysis of MARK2 on different lysates with Rabbit anti-MARK2 antibody (ET7109-20) at 1/1,000 dilution.
Lane 1: A549-WT cell lysate
Lane 2: A549-KD MARK2 cell lysate
Lysates/proteins at 10 µg/Lane.
Predicted band size: 88 kDa
Observed band size: 75/80 kDa
Exposure time: 1 minute; ECL: K1802;
4-20% SDS-PAGE gel.
Proteins were transferred to a PVDF membrane and blocked with 5% NFDM/TBST for 1 hour at room temperature. The primary antibody (ET7109-20) at 1/1,000 dilution was used in 5% NFDM/TBST at 4℃ overnight. Goat Anti-Rabbit IgG - HRP Secondary Antibody (HA1001) at 1/50,000 dilution was used for 1 hour at room temperature.
image 2 :

Western blot analysis of MARK2 on different lysates with Rabbit anti-MARK2 antibody (ET7109-20) at 1/1,000 dilution.
Lane 1: Raji cell lysate (10 µg/Lane)
Lane 2: U-87 MG cell lysate (10 µg/Lane)
Lane 3: Mouse brain tissue lysate (20 µg/Lane)
Lane 4: Rat brain tissue lysate (20 µg/Lane)
Predicted band size: 88 kDa
Observed band size: 75/80 kDa
Exposure time: 20 seconds; ECL: K1802;
4-20% SDS-PAGE gel.
Proteins were transferred to a PVDF membrane and blocked with 5% NFDM/TBST for 1 hour at room temperature. The primary antibody (ET7109-20) at 1/1,000 dilution was used in 5% NFDM/TBST at 4℃ overnight. Goat Anti-Rabbit IgG - HRP Secondary Antibody (HA1001) at 1/50,000 dilution was used for 1 hour at room temperature.
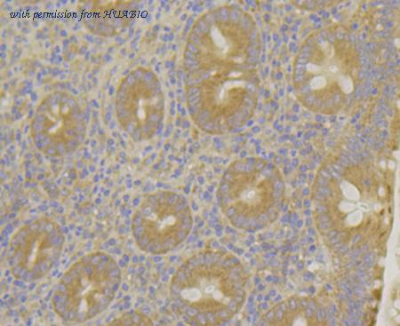
image 3 :

Immunohistochemical analysis of paraffin-embedded human appendix tissue using anti-MARK2 antibody. Counter stained with hematoxylin.
product information
SKU :
ET7109-20
Target name :
MARK2
Species reactivity :
Human,Mouse,Rat
Applications :
WB,IHC-P,FC
Conjugate :
Non-conjugated
Immunogen :
Recombinant protein within Human MARK2 aa 661-789 / 789.
Uniprot id :
Q7KZI7>SwissProt: Q7KZI7 Human;SwissProt: Q05512 Mouse;SwissProt: O08679 Rat
Host :
Rabbit
Clone number :
JE40-97
Isotype :
IgG
Size :
100μl
List Price :
385.00 USD
Storage Buffer :
1*TBS (pH7.4), 0.05% BSA, 40% Glycerol. Preservative: 0.05% Sodium Azide.
Form :
Liquid
Storage Instruction :
Shipped at 4℃. Store at +4℃ short term (1-2 weeks). It is recommended to aliquot into single-use upon delivery. Store at -20℃ long term.
Purity :
Protein A affinity purified.
Product type :
Recombinant Rabbit monoclonal Antibody
Positive control :
A549 cell lysate, Raji cell lysate, U-87 MG cell lysate, Mouse brain tissue lysate, Rat brain tissue lysate, human appendix tissue, Raji.
Molecular wt :
Predicted band size: 88 kDa
Subcellular location :
Cell membrane. Cytoplasm. Cytoskeleton.
Concentration :
1 mg/mL.
Recommended dilutions :
WB: 1:500-1:2,000
;IHC-P: 1:50-1:200
;FC: 1:1,000
Advanced Validation :
Knockdown (KD)
Pic img4 :
https://storage.huabio.cn/huabio/productImg/ET7109-20_4.jpg
Pic legend4 :
Flow cytometric analysis of Raji cells labeling MARK2.
Cells were fixed and permeabilized. Then stained with the primary antibody (ET7109-20, 1/1,000) (red) compared with Rabbit IgG Isotype Control (green). After incubation of the primary antibody at +4℃ for an hour, the cells were stained with a iFluor™ 488 conjugate-Goat anti-Rabbit IgG Secondary antibody (HA1121) at 1/1,000 dilution for 30 minutes at +4℃. Unlabelled sample was used as a control (cells without incubation with primary antibody; black).
more info or order :
company information

HUABIO
Founded in 2007, HUABIO is dedicated to developing high-quality antibodies that advance innovation. We are passionate about the accuracy, efficiency, and consistency of our products. That is why we have invested in new production platforms, like recombinant rabbit monoclonals, alpaca nanobodies, and adopted aggressive QA standards to deliver cutting-edge antibodies with uncompromised quality.
We hope to see you at your next discovery!
We hope to see you at your next discovery!
browse more products
questions and comments
