product summary
Loading...
company name :
HUABIO
product type :
antibody
product name :
PGAM1
catalog :
ET7109-13
quantity :
100μl
price :
385.00 USD
clonality :
monoclonal
host :
domestic rabbit
conjugate :
nonconjugated
clone name :
JE40-67
reactivity :
human, mouse, rat
application :
western blot, flow cytometry, immunohistochemistry - paraffin section
more info or order :
image
image 1 :

Western blot analysis of PGAM1 on different lysates using anti-PGAM1 antibody at 1/2,000 dilution.
Positive control:
Lane 1: A431 Lane 2: A549
Lane 3: Rat brain Lane 4: Mouse brain
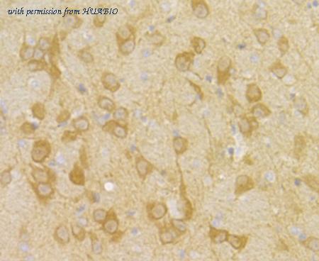
image 2 :

Immunohistochemical analysis of paraffin-embedded rat brain tissue using anti-PGAM1 antibody. Counter stained with hematoxylin.
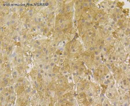
image 3 :

Immunohistochemical analysis of paraffin-embedded human liver tissue using anti-PGAM1 antibody. Counter stained with hematoxylin.
product information
SKU :
ET7109-13
Target name :
PGAM1
Species reactivity :
Human,Mouse,Rat
Applications :
WB,IHC-P,FC
Conjugate :
Non-conjugated
Immunogen :
Recombinant protein within Human PGAM1 aa 1-103 / 254.
Uniprot id :
P18669>SwissProt: P18669 Human;SwissProt: Q9DBJ1 Mouse;SwissProt: P25113 Rat
Host :
Rabbit
Clone number :
JE40-67
Isotype :
IgG
Size :
100μl
List Price :
385.00 USD
Storage Buffer :
1*TBS (pH7.4), 0.05% BSA, 40% Glycerol. Preservative: 0.05% Sodium Azide.
Form :
Liquid
Storage Instruction :
Shipped at 4℃. Store at +4℃ short term (1-2 weeks). It is recommended to aliquot into single-use upon delivery. Store at -20℃ long term.
Purity :
Protein A affinity purified.
Product type :
Recombinant Rabbit monoclonal Antibody
Positive control :
A431, A549, rat brain tissue, mouse brain tissue, human liver tissue, Jurkat.
Molecular wt :
29 kDa
Subcellular location :
Cytosol. Extracellular region or secreted. Nucleus.
Concentration :
1 mg/mL.
Recommended dilutions :
WB: 1:500-1:2,000
;IHC-P: 1:50-1:100
;FC: 1:50-1:100
Pic img4 :
https://storage.huabio.cn/huabio/productImg/ET7109-13_4.jpg
Pic legend4 :
Flow cytometric analysis of Jurkat cells with PGAM1 antibody at 1/100 dilution (purple) compared with an unlabelled control (cells without incubation with primary antibody; yellow). Alexa Fluor 488-conjugated goat anti-rabbit IgG was used as the secondary antibody.
more info or order :
company information

HUABIO
Founded in 2007, HUABIO is dedicated to developing high-quality antibodies that advance innovation. We are passionate about the accuracy, efficiency, and consistency of our products. That is why we have invested in new production platforms, like recombinant rabbit monoclonals, alpaca nanobodies, and adopted aggressive QA standards to deliver cutting-edge antibodies with uncompromised quality.
We hope to see you at your next discovery!
We hope to see you at your next discovery!
browse more products
questions and comments
