product summary
Loading...
company name :
HUABIO
product type :
antibody
product name :
FAAH1
catalog :
ET7109-06
quantity :
100μl
price :
385.00 USD
clonality :
monoclonal
host :
domestic rabbit
conjugate :
nonconjugated
clone name :
JG43-07
reactivity :
human, mouse
application :
western blot, immunohistochemistry - paraffin section
more info or order :
image
image 1 :

Western blot analysis of FAAH1 on different lysates using anti-FAAH1 antibody at 1/2,000 dilution.
Positive control:
Lane 1: SK-Br-3 Lane 2: Mouse cerebellum
Lane 3: Mouse lung
image 2 :

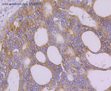
Immunohistochemical analysis of paraffin-embedded human prostate cancer tissue using anti-FAAH1 antibody. Counter stained with hematoxylin.
image 3 :

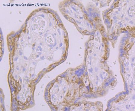
Immunohistochemical analysis of paraffin-embedded human placenta tissue using anti-FAAH1 antibody. Counter stained with hematoxylin.
product information
SKU :
ET7109-06
Target name :
FAAH1
Species reactivity :
Human,Mouse
Applications :
WB,IHC-P
Conjugate :
Non-conjugated
Immunogen :
Recombinant protein within Human FAAH1 aa 440-579 / 579.
Uniprot id :
O00519>SwissProt: O00519 Human;SwissProt: O08914 Mouse
Host :
Rabbit
Clone number :
JG43-07
Isotype :
IgG
Size :
100μl
List Price :
385.00 USD
Storage Buffer :
1*TBS (pH7.4), 0.05% BSA, 40% Glycerol. Preservative: 0.05% Sodium Azide.
Form :
Liquid
Storage Instruction :
Shipped at 4℃. Store at +4℃ short term (1-2 weeks). It is recommended to aliquot into single-use upon delivery. Store at -20℃ long term.
Purity :
Protein A affinity purified.
Product type :
Recombinant Rabbit monoclonal Antibody
Positive control :
SK-Br-3, mouse cerebellum tissue lysate, mouse lung tissue lysate, human prostate cancer tissue, human placenta tissue, mouse testis tissue.
Molecular wt :
63 kDa
Subcellular location :
Cytoskeleton. Endomembrane system.
Concentration :
1 mg/mL.
Recommended dilutions :
WB: 1:500-1:2,000
;IHC-P: 1:50-1:200
Pic img4 :
https://storage.huabio.cn/huabio/productImg/ET7109-06_4.jpg
Pic legend4 :
Immunohistochemical analysis of paraffin-embedded mouse testis tissue using anti-FAAH1 antibody. Counter stained with hematoxylin.
more info or order :
company information

HUABIO
Founded in 2007, HUABIO is dedicated to developing high-quality antibodies that advance innovation. We are passionate about the accuracy, efficiency, and consistency of our products. That is why we have invested in new production platforms, like recombinant rabbit monoclonals, alpaca nanobodies, and adopted aggressive QA standards to deliver cutting-edge antibodies with uncompromised quality.
We hope to see you at your next discovery!
We hope to see you at your next discovery!
browse more products
questions and comments
