product summary
Loading...
company name :
HUABIO
product type :
antibody
product name :
COMT
catalog :
ET7108-89
quantity :
100μl
price :
385.00 USD
clonality :
monoclonal
host :
domestic rabbit
conjugate :
nonconjugated
clone name :
JG39-48
reactivity :
human, mouse, rat
application :
western blot, immunohistochemistry - paraffin section
more info or order :
image
image 1 :

Western blot analysis of COMT on MCF-7 cell (1) and rat testis tissue (2) lysate using anti-COMT antibody at 1/2,000 dilution.
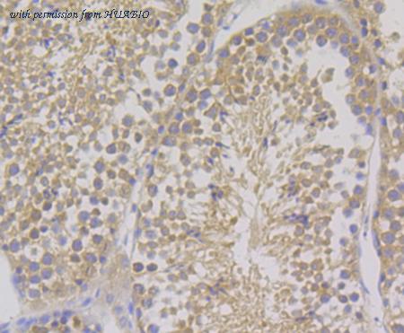
image 2 :

Immunohistochemical analysis of paraffin-embedded mouse testis tissue using anti-COMT antibody. Counter stained with hematoxylin.
product information
SKU :
ET7108-89
Target name :
COMT
Species reactivity :
Human,Mouse,Rat
Applications :
WB,IHC-P
Conjugate :
Non-conjugated
Immunogen :
Recombinant protein within COMT aa 11-107 / 271.
Uniprot id :
P21964>SwissProt: P21964 Human;SwissProt: O88587 Mouse;SwissProt: P22734 Rat
Host :
Rabbit
Clone number :
JG39-48
Isotype :
IgG
Size :
100μl
List Price :
385.00 USD
Storage Buffer :
1*TBS (pH7.4), 0.05% BSA, 40% Glycerol. Preservative: 0.05% Sodium Azide.
Form :
Liquid
Storage Instruction :
Shipped at 4℃. Store at +4℃ short term (1-2 weeks). It is recommended to aliquot into single-use upon delivery. Store at -20℃ long term.
Purity :
Protein A affinity purified.
Product type :
Recombinant Rabbit monoclonal Antibody
Positive control :
MCF-7, rat testis tissue lysate, mouse testis tissue.
Molecular wt :
24 kDa
Subcellular location :
Cell membrane. Cytoplasm.
Concentration :
1 mg/mL.
Recommended dilutions :
WB: 1:500-1:2,000
;IHC-P: 1:50-1:100
more info or order :
company information

HUABIO
Founded in 2007, HUABIO is dedicated to developing high-quality antibodies that advance innovation. We are passionate about the accuracy, efficiency, and consistency of our products. That is why we have invested in new production platforms, like recombinant rabbit monoclonals, alpaca nanobodies, and adopted aggressive QA standards to deliver cutting-edge antibodies with uncompromised quality.
We hope to see you at your next discovery!
We hope to see you at your next discovery!
browse more products
questions and comments
