product summary
Loading...
company name :
HUABIO
product type :
antibody
product name :
TNPO3
catalog :
ET7108-80
quantity :
100μl
price :
385.00 USD
clonality :
monoclonal
host :
domestic rabbit
conjugate :
nonconjugated
clone name :
JG38-77
reactivity :
human, mouse, rat
application :
western blot, flow cytometry, immunohistochemistry - paraffin section
more info or order :
image
image 1 :

Western blot analysis of TNPO3 on different lysates with Rabbit anti-TNPO3 antibody (ET7108-80) at 1/2,000 dilution.
Lane 1: K-562 cell lysate (20 µg/Lane)
Lane 2: HL-60 cell lysate (20 µg/Lane)
Lane 3: HeLa cell lysate (20 µg/Lane)
Lane 4: Ramos cell lysate (20 µg/Lane)
Lane 5: NIH/3T3 cell lysate (20 µg/Lane)
Lane 6: Mouse pancreas tissue lysate (40 µg/Lane)
Lane 7: Rat pancreas tissue lysate (40 µg/Lane)
Predicted band size: 104 kDa
Observed band size: 100 kDa
Exposure time: 1 minute; ECL: K1801;
4-20% SDS-PAGE gel.
Proteins were transferred to a PVDF membrane and blocked with 5% NFDM/TBST for 1 hour at room temperature. The primary antibody (ET7108-80) at 1/2,000 dilution was used in 5% NFDM/TBST at 4℃ overnight. Goat Anti-Rabbit IgG - HRP Secondary Antibody (HA1001) at 1/50,000 dilution was used for 1 hour at room temperature.
image 2 :

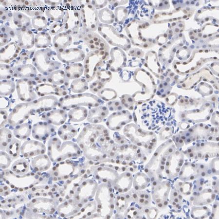
Immunohistochemical analysis of paraffin-embedded mouse kidney tissue with Rabbit anti-TNPO3 antibody (ET7108-80) at 1/200 dilution.
The section was pre-treated using heat mediated antigen retrieval with sodium citrate buffer (pH 6.0) (high pressure) for 2 minutes. The tissues were blocked in 1% BSA for 20 minutes at room temperature, washed with ddH2O and PBS, and then probed with the primary antibody (ET7108-80) at 1/200 dilution for 1 hour at room temperature. The detection was performed using an HRP conjugated compact polymer system. DAB was used as the chromogen. Tissues were counterstained with hematoxylin and mounted with DPX.
image 3 :

Immunohistochemical analysis of paraffin-embedded rat kidney tissue with Rabbit anti-TNPO3 antibody (ET7108-80) at 1/200 dilution.
The section was pre-treated using heat mediated antigen retrieval with sodium citrate buffer (pH 6.0) (high pressure) for 2 minutes. The tissues were blocked in 1% BSA for 20 minutes at room temperature, washed with ddH2O and PBS, and then probed with the primary antibody (ET7108-80) at 1/200 dilution for 1 hour at room temperature. The detection was performed using an HRP conjugated compact polymer system. DAB was used as the chromogen. Tissues were counterstained with hematoxylin and mounted with DPX.
product information
SKU :
ET7108-80
Target name :
TNPO3
Species reactivity :
Human,Mouse,Rat
Applications :
WB,IHC-P,FC,IF-Tissue
Conjugate :
Non-conjugated
Immunogen :
Recombinant protein within Human TNPO3 aa 830-923 / 923.
Uniprot id :
Q9Y5L0>SwissProt: Q9Y5L0 Human;SwissProt: Q6P2B1 Mouse;Entrez Gene: 296954 Rat
Host :
Rabbit
Clone number :
JG38-77
Isotype :
IgG
Size :
100μl
List Price :
385.00 USD
Storage Buffer :
1*TBS (pH7.4), 0.05% BSA, 40% Glycerol. Preservative: 0.05% Sodium Azide.
Form :
Liquid
Storage Instruction :
Shipped at 4℃. Store at +4℃ short term (1-2 weeks). It is recommended to aliquot into single-use upon delivery. Store at -20℃ long term.
Purity :
Protein A affinity purified.
Product type :
Recombinant Rabbit monoclonal Antibody
Positive control :
K-562 cell lysate, HL-60 cell lysate, HeLa cell lysate, Ramos cell lysate, NIH/3T3 cell lysate, Mouse pancreas tissue lysate, Rat pancreas tissue lysate, mouse kidney tissue, rat kidney tissue, human small intestine tissue, K-562.
Molecular wt :
Predicted band size: 104 kDa
Subcellular location :
Nucleus. Cytoplasm.
Concentration :
1 mg/mL.
Recommended dilutions :
WB: 1:2,000
;IHC-P: 1:50-1:200
;FC: 1:1,000
;IF-Tissue: 1:50
Pic img4 :
https://storage.huabio.cn/huabio/productImg/ET7108-80_4.jpg
Pic legend4 :
Flow cytometric analysis of K-562 cells labeling TNPO3.
Cells were fixed and permeabilized. Then stained with the primary antibody (ET7108-80, 1/1,000) (red) compared with Rabbit IgG Isotype Control (green). After incubation of the primary antibody at +4℃ for an hour, the cells were stained with a iFluor™ 488 conjugate-Goat anti-Rabbit IgG Secondary antibody (HA1121) at 1/1,000 dilution for 30 minutes at +4℃. Unlabelled sample was used as a control (cells without incubation with primary antibody; black).
more info or order :
company information

HUABIO
Founded in 2007, HUABIO is dedicated to developing high-quality antibodies that advance innovation. We are passionate about the accuracy, efficiency, and consistency of our products. That is why we have invested in new production platforms, like recombinant rabbit monoclonals, alpaca nanobodies, and adopted aggressive QA standards to deliver cutting-edge antibodies with uncompromised quality.
We hope to see you at your next discovery!
We hope to see you at your next discovery!
browse more products
questions and comments
