product summary
Loading...
company name :
HUABIO
product type :
antibody
product name :
Gephyrin
catalog :
ET7108-04
quantity :
100μl
price :
385.00 USD
clonality :
monoclonal
host :
domestic rabbit
conjugate :
nonconjugated
clone name :
JG34-47
reactivity :
human, mouse, rat
application :
western blot, immunohistochemistry - paraffin section
more info or order :
image
image 1 :

Western blot analysis of Gephyrin on different lysates with Rabbit anti-Gephyrin antibody (ET7108-04) at 1/1,000 dilution.
Lane 1: SK-Br-3 cell lysate (15 µg/Lane)
Lane 2: Neuro-2a cell lysate (15 µg/Lane)
Lane 3: C6 cell lysate (15 µg/Lane)
Lane 4: Mouse brain tissue lysate (30 µg/Lane)
Lane 5: Mouse liver tissue lysate (30 µg/Lane)
Lane 6: Mouse kidney tissue lysate (30 µg/Lane)
Predicted band size: 80 kDa
Observed band size: 80 kDa
Exposure time: 1 minute; ECL: K1801;
4-20% SDS-PAGE gel.
Proteins were transferred to a PVDF membrane and blocked with 5% NFDM/TBST for 1 hour at room temperature. The primary antibody (ET7108-04) at 1/1,000 dilution was used in 5% NFDM/TBST at 4℃ overnight. Goat Anti-Rabbit IgG - HRP Secondary Antibody (HA1001) at 1/50,000 dilution was used for 1 hour at room temperature.
image 2 :

Immunohistochemical analysis of paraffin-embedded human kidney tissue using anti-Gephyrin antibody. Counter stained with hematoxylin. The section was pre-treated using heat mediated antigen retrieval with sodium citrate buffer (pH 6.0) (high pressure) for 2 minutes.
image 3 :

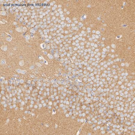
Immunohistochemical analysis of paraffin-embedded mouse brain tissue using anti-Gephyrin antibody. Counter stained with hematoxylin. The section was pre-treated using heat mediated antigen retrieval with sodium citrate buffer (pH 6.0) (high pressure) for 2 minutes.
product information
SKU :
ET7108-04
Target name :
Gephyrin
Species reactivity :
Human,Mouse,Rat
Applications :
WB,IHC-P
Conjugate :
Non-conjugated
Immunogen :
Recombinant protein within Human Gephyrin aa 5-95 / 736.
Uniprot id :
Q9NQX3>SwissProt: Q9NQX3 Human;SwissProt: Q8BUV3 Mouse;SwissProt: Q03555 Rat
Host :
Rabbit
Clone number :
JG34-47
Isotype :
IgG
Size :
100μl
List Price :
385.00 USD
Storage Buffer :
1*TBS (pH7.4), 0.05% BSA, 40% Glycerol. Preservative: 0.05% Sodium Azide.
Form :
Liquid
Storage Instruction :
Shipped at 4℃. Store at +4℃ short term (1-2 weeks). It is recommended to aliquot into single-use upon delivery. Store at -20℃ long term.
Purity :
Protein A affinity purified.
Product type :
Recombinant Rabbit monoclonal Antibody
Positive control :
SK-Br-3 cell lysate, Neuro-2a cell lysate, C6 cell lysate, mouse brain tissue lysate, mouse liver tissue lysate, mouse kidney tissue lysate, human kidney tissue, mouse brain tissue.
Molecular wt :
Predicted band size: 80 kDa
Subcellular location :
Cell junction, Cell membrane, Cell projection, Cytoplasm, Cytoskeleton, Membrane, Postsynaptic cell membrane, Synapse.
Concentration :
1 mg/mL.
Recommended dilutions :
WB: 1:1,000
;IHC-P: 1:50-1:200
more info or order :
company information

HUABIO
Founded in 2007, HUABIO is dedicated to developing high-quality antibodies that advance innovation. We are passionate about the accuracy, efficiency, and consistency of our products. That is why we have invested in new production platforms, like recombinant rabbit monoclonals, alpaca nanobodies, and adopted aggressive QA standards to deliver cutting-edge antibodies with uncompromised quality.
We hope to see you at your next discovery!
We hope to see you at your next discovery!
browse more products
questions and comments
