product summary
Loading...
company name :
HUABIO
product type :
antibody
product name :
DSG1
catalog :
ET7107-83
quantity :
100μl
price :
385.00 USD
clonality :
monoclonal
host :
domestic rabbit
conjugate :
nonconjugated
clone name :
JB19-46
reactivity :
human, mouse
application :
western blot, immunohistochemistry - paraffin section
more info or order :
image
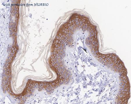
image 1 :

Immunohistochemical analysis of paraffin-embedded human skin tissue with Rabbit anti-DSG1 antibody (ET7107-83) at 1/1,000 dilution.
The section was pre-treated using heat mediated antigen retrieval with Tris-EDTA buffer (pH 9.0) for 20 minutes. The tissues were blocked in 1% BSA for 20 minutes at room temperature, washed with ddH2O and PBS, and then probed with the primary antibody (ET7107-83) at 1/1,000 dilution for 1 hour at room temperature. The detection was performed using an HRP conjugated compact polymer system. DAB was used as the chromogen. Tissues were counterstained with hematoxylin and mounted with DPX.
image 2 :

Immunohistochemical analysis of paraffin-embedded human colon cancer tissue using anti-DSG1 antibody. Counter stained with hematoxylin.
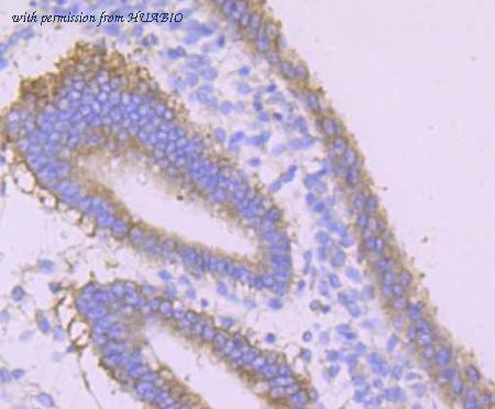
image 3 :

Immunohistochemical analysis of paraffin-embedded human uterus tissue using anti-DSG1 antibody. Counter stained with hematoxylin.
product information
SKU :
ET7107-83
Target name :
DSG1
Species reactivity :
Human,Mouse
Applications :
WB,IHC-P
Conjugate :
Non-conjugated
Immunogen :
Synthetic peptide within Human DSG1 aa 1,000-1,049 / 1,049.
Uniprot id :
Q02413>SwissProt: Q02413 Human;SwissProt: Q61495 Mouse
Host :
Rabbit
Clone number :
JB19-46
Isotype :
IgG
Size :
100μl
List Price :
385.00 USD
Storage Buffer :
1*TBS (pH7.4), 0.05% BSA, 40% Glycerol. Preservative: 0.05% Sodium Azide.
Form :
Liquid
Storage Instruction :
Shipped at 4℃. Store at +4℃ short term (1-2 weeks). It is recommended to aliquot into single-use upon delivery. Store at -20℃ long term.
Purity :
Protein A affinity purified.
Product type :
Recombinant Rabbit monoclonal Antibody
Positive control :
Human skin tissue, human colon cancer tissue, human uterus tissue, mouse skin tissue.
Molecular wt :
Predicted band size: 114 kDa
Subcellular location :
Cell membrane
Concentration :
1 mg/mL.
Recommended dilutions :
IHC-P: 1:200-1:1,000
;WB: 1:500
Pic img4 :
https://storage.huabio.cn/huabio/productImg/ET7107-83_4.jpg
Pic legend4 :
Immunohistochemical analysis of paraffin-embedded mouse skin tissue using anti-DSG1 antibody. Counter stained with hematoxylin.
more info or order :
company information

HUABIO
Founded in 2007, HUABIO is dedicated to developing high-quality antibodies that advance innovation. We are passionate about the accuracy, efficiency, and consistency of our products. That is why we have invested in new production platforms, like recombinant rabbit monoclonals, alpaca nanobodies, and adopted aggressive QA standards to deliver cutting-edge antibodies with uncompromised quality.
We hope to see you at your next discovery!
We hope to see you at your next discovery!
browse more products
questions and comments
