product summary
Loading...
company name :
HUABIO
product type :
antibody
product name :
Proteasome 20S C2
catalog :
ET7107-59
quantity :
100μl
price :
385.00 USD
clonality :
monoclonal
host :
domestic rabbit
conjugate :
nonconjugated
clone name :
JB89-30
reactivity :
human, mouse, rat
application :
western blot, immunoprecipitation, flow cytometry, immunohistochemistry - paraffin section
more info or order :
image
image 1 :

Western blot analysis of Proteasome 20S C2 on different lysates with Rabbit anti-Proteasome 20S C2 antibody (ET7107-59) at 1/500 dilution.
Lane 1: PC-3M cell lysate (10 µg/Lane)
Lane 2: K562 cell lysate (10 µg/Lane)
Lane 3: Rat testis tissue lysate (20 µg/Lane)
Lane 4: Mouse testis tissue lysate (20 µg/Lane)
Lane 5: Mouse colon tissue lysate (20 µg/Lane)
Predicted band size: 30 kDa
Observed band size: 30 kDa
Exposure time: 30 seconds;
15% SDS-PAGE gel.
Proteins were transferred to a PVDF membrane and blocked with 5% NFDM/TBST for 1 hour at room temperature. The primary antibody (ET7107-59) at 1/500 dilution was used in 5% NFDM/TBST at room temperature for 2 hours. Goat Anti-Rabbit IgG - HRP Secondary Antibody (HA1001) at 1:300,000 dilution was used for 1 hour at room temperature.
image 2 :

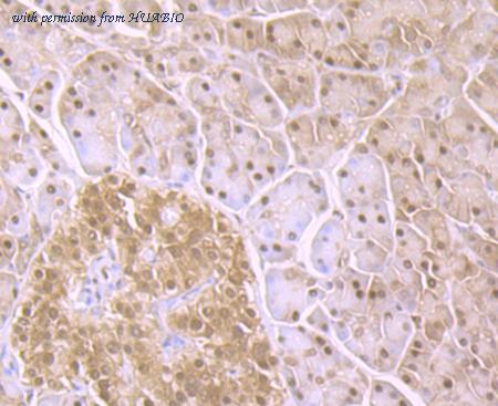
Immunohistochemical analysis of paraffin-embedded human pancreas tissue using anti-Proteasome 20S C2 antibody. Counter stained with hematoxylin.
image 3 :

Immunohistochemical analysis of paraffin-embedded rat testis tissue using anti-Proteasome 20S C2 antibody. Counter stained with hematoxylin.
product information
SKU :
ET7107-59
Target name :
Proteasome 20S C2
Species reactivity :
Human,Mouse,Rat
Applications :
WB,IHC-P,FC,IP
Conjugate :
Non-conjugated
Immunogen :
Synthetic peptide within Human Proteasome 20S C2 aa 214-263 / 263.
Uniprot id :
P25786>SwissProt: P25786 Human;SwissProt: Q9R1P4 Mouse;SwissProt: P18420 Rat
Host :
Rabbit
Clone number :
JB89-30
Isotype :
IgG
Size :
100μl
List Price :
385.00 USD
Storage Buffer :
1*TBS (pH7.4), 0.05% BSA, 40% Glycerol. Preservative: 0.05% Sodium Azide.
Form :
Liquid
Storage Instruction :
Shipped at 4℃. Store at +4℃ short term (1-2 weeks). It is recommended to aliquot into single-use upon delivery. Store at -20℃ long term.
Purity :
Protein A affinity purified.
Product type :
Recombinant Rabbit monoclonal Antibody
Positive control :
PC-3M cell lysate, K562 cell lysate, rat testis tissue lysate, mouse testis tissue lysate, mouse colon tissue lysate, human pancreas tissue, rat testis tissue, mouse cerebellum tissue, human liver cancer tissue, K562.
Molecular wt :
Predicted band size: 30 kDa
Subcellular location :
Cytoplasm. Nucleus.
Concentration :
1 mg/mL.
Recommended dilutions :
WB: 1:500-1:2,000
;IHC-P: 1:50-1:200
;FC: 1:50-1:100
;IP: Use at an assay dependent concentration.
Pic img4 :
https://storage.huabio.cn/huabio/productImg/ET7107-59_4.jpg
Pic legend4 :
Immunohistochemical analysis of paraffin-embedded mouse cerebellum tissue using anti-Proteasome 20S C2 antibody. Counter stained with hematoxylin.
Pic img5 :
https://storage.huabio.cn/huabio/productImg/ET7107-59_5.jpg
Pic legend5 :
Immunohistochemical analysis of paraffin-embedded human liver cancer tissue using anti-Proteasome 20S C2 antibody. Counter stained with hematoxylin.
Pic img6 :
https://storage.huabio.cn/huabio/productImg/ET7107-59_6.jpg
Pic legend6 :
Flow cytometric analysis of K562 cells with Proteasome 20S C2 antibody at 1/100 dilution (red) compared with an unlabelled control (cells without incubation with primary antibody; black). Alexa Fluor 488-conjugated goat anti rabbit IgG was used as the secondary antibody.
more info or order :
company information

HUABIO
Founded in 2007, HUABIO is dedicated to developing high-quality antibodies that advance innovation. We are passionate about the accuracy, efficiency, and consistency of our products. That is why we have invested in new production platforms, like recombinant rabbit monoclonals, alpaca nanobodies, and adopted aggressive QA standards to deliver cutting-edge antibodies with uncompromised quality.
We hope to see you at your next discovery!
We hope to see you at your next discovery!
related products
browse more products
questions and comments
