product summary
Loading...
company name :
HUABIO
product type :
antibody
product name :
TGF alpha
catalog :
ET7107-40
quantity :
100μl
price :
385.00 USD
clonality :
monoclonal
host :
domestic rabbit
conjugate :
nonconjugated
clone name :
JB58-36
reactivity :
human
application :
western blot, immunoprecipitation, immunohistochemistry - paraffin section
more info or order :
image
image 1 :

Western blot analysis of TGF alpha on different lysates with Rabbit anti-TGF alpha antibody (ET7107-40) at 1/500 dilution.
Lane 1: MCF7 cell lysate (RIPA lysis)
Lane 2: MCF7 cell lysate (hot lysis)
Lane 3: PANC-1 cell lysate (RIPA lysis)
Lane 4: PANC-1 cell lysate (hot lysis)
Lysates/proteins at 20 µg/Lane.
Predicted band size: 17 kDa
Observed band size: 17 kDa
Exposure time: 2 minutes;
4-20% SDS-PAGE gel.
Proteins were transferred to a PVDF membrane and blocked with 5% NFDM/TBST for 1 hour at room temperature. The primary antibody (ET7107-40) at 1/500 dilution was used in 5% NFDM/TBST at room temperature for 2 hours. Goat Anti-Rabbit IgG - HRP Secondary Antibody (HA1001) at 1:100,000 dilution was used for 1 hour at room temperature.
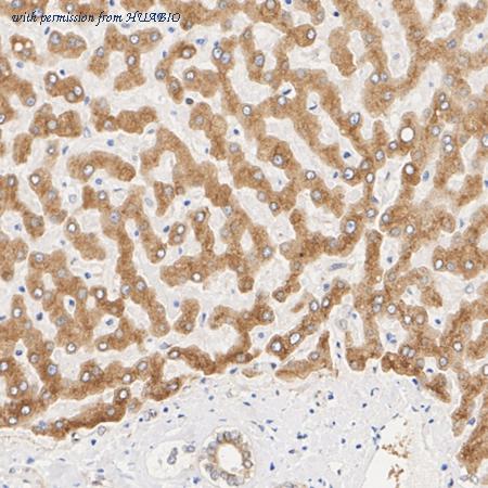
image 2 :

Immunohistochemical analysis of paraffin-embedded human liver tissue with Rabbit anti-TGF alpha antibody (ET7107-40) at 1/1,000 dilution.
The section was pre-treated using heat mediated antigen retrieval with Tris-EDTA buffer (pH 9.0) for 20 minutes. The tissues were blocked in 1% BSA for 20 minutes at room temperature, washed with ddH2O and PBS, and then probed with the primary antibody (ET7107-40) at 1/1,000 dilution for 1 hour at room temperature. The detection was performed using an HRP conjugated compact polymer system. DAB was used as the chromogen. Tissues were counterstained with hematoxylin and mounted with DPX.
image 3 :

Immunohistochemical analysis of paraffin-embedded human kidney tissue using anti-TGF alpha antibody. Counter stained with hematoxylin.
product information
SKU :
ET7107-40
Target name :
TGF alpha
Species reactivity :
Human
Applications :
WB,IF-Tissue,IHC-P,IP
Conjugate :
Non-conjugated
Immunogen :
Recombinant protein within Human TGF alpha aa 1-160 / 160.
Uniprot id :
P01135>SwissProt: P01135 Human
Host :
Rabbit
Clone number :
JB58-36
Isotype :
IgG
Size :
100μl
List Price :
385.00 USD
Storage Buffer :
1*TBS (pH7.4), 0.05% BSA, 40% Glycerol. Preservative: 0.05% Sodium Azide.
Form :
Liquid
Storage Instruction :
Shipped at 4℃. Store at +4℃ short term (1-2 weeks). It is recommended to aliquot into single-use upon delivery. Store at -20℃ long term.
Purity :
Protein A affinity purified.
Product type :
Recombinant Rabbit monoclonal Antibody
Positive control :
MCF7 cell lysate (hot lysis), PANC-1 cell lysate (hot lysis), human liver tissue, human kidney tissue, human tonsil tissue, human colon cancer tissue.
Molecular wt :
Predicted band size: 17 kDa
Subcellular location :
Plasma membrane. Extracellular region. Secreted.
Concentration :
1 mg/mL.
Recommended dilutions :
WB: 1:500
;IF-Tissue: 1:200
;IHC-P: 1:200-1:1,000
;IP: 1:50
Pic img4 :
https://storage.huabio.cn/huabio/productImg/ET7107-40_4.jpg
Pic legend4 :
Immunohistochemical analysis of paraffin-embedded human tonsil tissue using anti-TGF alpha antibody. Counter stained with hematoxylin.
Pic img5 :
https://storage.huabio.cn/huabio/productImg/ET7107-40_5.jpg
Pic legend5 :
Immunohistochemical analysis of paraffin-embedded human colon cancer tissue using anti-TGF alpha antibody. Counter stained with hematoxylin.
more info or order :
company information

HUABIO
Founded in 2007, HUABIO is dedicated to developing high-quality antibodies that advance innovation. We are passionate about the accuracy, efficiency, and consistency of our products. That is why we have invested in new production platforms, like recombinant rabbit monoclonals, alpaca nanobodies, and adopted aggressive QA standards to deliver cutting-edge antibodies with uncompromised quality.
We hope to see you at your next discovery!
We hope to see you at your next discovery!
browse more products
questions and comments
