product summary
Loading...
company name :
HUABIO
product type :
antibody
product name :
Proteasome 20S LMP2
catalog :
ET7107-24
quantity :
100μl
price :
385.00 USD
clonality :
monoclonal
host :
domestic rabbit
conjugate :
nonconjugated
clone name :
JB35-07
reactivity :
human, mouse
application :
western blot, immunoprecipitation, immunohistochemistry - paraffin section
more info or order :
image
image 1 :

Western blot analysis of Proteasome 20S LMP2 on different lysates using anti-Proteasome 20S LMP2 antibody at 1/500 dilution.
Positive control:
Lane 1: Mouse spleen tissue lysate
Lane 2: U937 cell lysate
Lane 3: Mouse colon tissue lysate
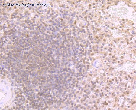
image 2 :

Immunohistochemical analysis of paraffin-embedded human spleen tissue with Rabbit anti-Proteasome 20S LMP2 antibody (ET7107-24) at 1/200 dilution.
The section was pre-treated using heat mediated antigen retrieval with Tris-EDTA buffer (pH 9.0) for 20 minutes. The tissues were blocked in 1% BSA for 20 minutes at room temperature, washed with ddH2O and PBS, and then probed with the primary antibody (ET7107-24) at 1/200 dilution for 1 hour at room temperature. The detection was performed using an HRP conjugated compact polymer system. DAB was used as the chromogen. Tissues were counterstained with hematoxylin and mounted with DPX.
product information
SKU :
ET7107-24
Target name :
Proteasome 20S LMP2
Species reactivity :
Human,Mouse
Applications :
WB,IHC-P,IP
Conjugate :
Non-conjugated
Immunogen :
Recombinant protein within Human Proteasome 20S LMP2 aa 85-219 / 219.
Uniprot id :
P28065>SwissProt: P28065 Human;SwissProt: P28076 Mouse
Host :
Rabbit
Clone number :
JB35-07
Isotype :
IgG
Size :
100μl
List Price :
385.00 USD
Storage Buffer :
1*TBS (pH7.4), 0.05% BSA, 40% Glycerol. Preservative: 0.05% Sodium Azide.
Form :
Liquid
Storage Instruction :
Shipped at 4℃. Store at +4℃ short term (1-2 weeks). It is recommended to aliquot into single-use upon delivery. Store at -20℃ long term.
Purity :
Protein A affinity purified.
Product type :
Recombinant Rabbit monoclonal Antibody
Positive control :
Mouse spleen tissue lysate, U937 cell lysate, mouse colon tissue lysate, human spleen tissue.
Molecular wt :
Predicted band size: 23 kDa
Subcellular location :
Cytoplasm. Nucleus.
Concentration :
1 mg/mL.
Recommended dilutions :
WB: 1:500-1:1,000
;IHC-P: 1:50-1:200
;IP: Use at an assay dependent concentration.
more info or order :
company information

HUABIO
Founded in 2007, HUABIO is dedicated to developing high-quality antibodies that advance innovation. We are passionate about the accuracy, efficiency, and consistency of our products. That is why we have invested in new production platforms, like recombinant rabbit monoclonals, alpaca nanobodies, and adopted aggressive QA standards to deliver cutting-edge antibodies with uncompromised quality.
We hope to see you at your next discovery!
We hope to see you at your next discovery!
browse more products
questions and comments
