product summary
Loading...
company name :
HUABIO
product type :
antibody
product name :
JAB1
catalog :
ET7107-23
quantity :
100μl
price :
385.00 USD
clonality :
monoclonal
host :
domestic rabbit
conjugate :
nonconjugated
clone name :
JB34-96
reactivity :
human, mouse, rat
application :
western blot, immunoprecipitation, flow cytometry, immunohistochemistry - paraffin section
more info or order :
image
image 1 :

Western blot analysis of JAB1 on different lysates with Rabbit anti-JAB1 antibody (ET7107-23) at 1/2,000 dilution.
Lane 1: A549 cell lysate (20 µg/Lane)
Lane 2: MCF7 cell lysate (20 µg/Lane)
Lane 3: NIH/3T3 cell lysate (20 µg/Lane)
Lane 4: PC-12 cell lysate (20 µg/Lane)
Lane 5: Mouse testis tissue lysate (40 µg/Lane)
Lane 6: Rat testis tissue lysate (40 µg/Lane)
Predicted band size: 38 kDa
Observed band size: 35 kDa
Exposure time: 20 seconds; ECL: K1801;
4-20% SDS-PAGE gel.
Proteins were transferred to a PVDF membrane and blocked with 5% NFDM/TBST for 1 hour at room temperature. The primary antibody (ET7107-23) at 1/2,000 dilution was used in 5% NFDM/TBST at 4℃ overnight. Goat Anti-Rabbit IgG - HRP Secondary Antibody (HA1001) at 1/50,000 dilution was used for 1 hour at room temperature.
image 2 :

Immunocytochemistry analysis of A549 cells labeling JAB1 with Rabbit anti-JAB1 antibody (ET7107-23) at 1/100 dilution.
Cells were fixed in 4% paraformaldehyde for 15 minutes at room temperature, permeabilized with 0.1% Triton X-100 in PBS for 15 minutes at room temperature, then blocked with 1% BSA in 10% negative goat serum for 1 hour at room temperature. Cells were then incubated with Rabbit anti-JAB1 antibody (ET7107-23) at 1/100 dilution in 1% BSA in PBST overnight at 4 ℃. Goat Anti-Rabbit IgG H&L (iFluor™ 488, HA1121) was used as the secondary antibody at 1/1,000 dilution. PBS instead of the primary antibody was used as the secondary antibody only control. Nuclear DNA was labelled in blue with DAPI.
Beta tubulin (HA601187, red) was stained at 1/100 dilution overnight at +4℃. Goat Anti-Mouse IgG H&L (iFluor™ 594, HA1126) was used as the secondary antibody at 1/1,000 dilution.
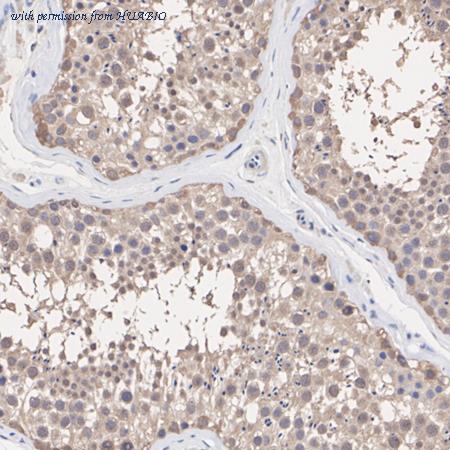
image 3 :

Immunohistochemical analysis of paraffin-embedded human testis tissue with Rabbit anti-JAB1 antibody (ET7107-23) at 1/200 dilution.
The section was pre-treated using heat mediated antigen retrieval with Tris-EDTA buffer (pH 9.0) for 20 minutes. The tissues were blocked in 1% BSA for 20 minutes at room temperature, washed with ddH2O and PBS, and then probed with the primary antibody (ET7107-23) at 1/200 dilution for 1 hour at room temperature. The detection was performed using an HRP conjugated compact polymer system. DAB was used as the chromogen. Tissues were counterstained with hematoxylin and mounted with DPX.
product information
SKU :
ET7107-23
Target name :
JAB1
Species reactivity :
Human,Mouse,Rat
Applications :
WB,IF-Tissue,IHC-P,IP,IF-Cell,FC
Conjugate :
Non-conjugated
Immunogen :
Recombinant protein within Human JAB1 aa 1-140 / 334.
Uniprot id :
Q92905>SwissProt: Q92905 Human;SwissProt: O35864 Mouse;Entrez Gene: 312916 Rat
Host :
Rabbit
Clone number :
JB34-96
Isotype :
IgG
Size :
100μl
List Price :
385.00 USD
Storage Buffer :
1*TBS (pH7.4), 0.05% BSA, 40% Glycerol. Preservative: 0.05% Sodium Azide.
Form :
Liquid
Storage Instruction :
Shipped at 4℃. Store at +4℃ short term (1-2 weeks). It is recommended to aliquot into single-use upon delivery. Store at -20℃ long term.
Purity :
Protein A affinity purified.
Product type :
Recombinant Rabbit monoclonal Antibody
Positive control :
A549 cell lysate, MCF7 cell lysate, NIH/3T3 cell lysate, PC-12 cell lysate, Mouse testis tissue lysate, Rat testis tissue lysate, A549, human testis tissue, mouse testis tissue, rat testis tissue.
Molecular wt :
Predicted band size: 38 kDa
Subcellular location :
Cytoplasm. Nucleus.
Concentration :
1 mg/mL.
Recommended dilutions :
WB: 1:2,000
;IF-Tissue: 1:200
;IHC-P: 1:200-1:1,000
;IP: Use at an assay dependent concentration.
;IF-Cell: 1:100
;FC: 1:1,000
Pic img4 :
https://storage.huabio.cn/huabio/productImg/ET7107-23_4.jpg
Pic legend4 :
Immunohistochemical analysis of paraffin-embedded mouse testis tissue with Rabbit anti-JAB1 antibody (ET7107-23) at 1/1,000 dilution.
The section was pre-treated using heat mediated antigen retrieval with Tris-EDTA buffer (pH 9.0) for 20 minutes. The tissues were blocked in 1% BSA for 20 minutes at room temperature, washed with ddH2O and PBS, and then probed with the primary antibody (ET7107-23) at 1/1,000 dilution for 1 hour at room temperature. The detection was performed using an HRP conjugated compact polymer system. DAB was used as the chromogen. Tissues were counterstained with hematoxylin and mounted with DPX.
Pic img5 :
https://storage.huabio.cn/huabio/productImg/ET7107-23_5.jpg
Pic legend5 :
Immunohistochemical analysis of paraffin-embedded rat testis tissue with Rabbit anti-JAB1 antibody (ET7107-23) at 1/1,000 dilution.
The section was pre-treated using heat mediated antigen retrieval with Tris-EDTA buffer (pH 9.0) for 20 minutes. The tissues were blocked in 1% BSA for 20 minutes at room temperature, washed with ddH2O and PBS, and then probed with the primary antibody (ET7107-23) at 1/1,000 dilution for 1 hour at room temperature. The detection was performed using an HRP conjugated compact polymer system. DAB was used as the chromogen. Tissues were counterstained with hematoxylin and mounted with DPX.
Pic img6 :
https://storage.huabio.cn/huabio/productImg/ET7107-23_6.jpg
Pic legend6 :
Flow cytometric analysis of A549 cells labeling JAB1.
Cells were fixed and permeabilized. Then stained with the primary antibody (ET7107-23, 1/1,000) (red) compared with Rabbit IgG Isotype Control (green). After incubation of the primary antibody at +4℃ for an hour, the cells were stained with a iFluor™ 488 conjugate-Goat anti-Rabbit IgG Secondary antibody (HA1121) at 1/1,000 dilution for 30 minutes at +4℃. Unlabelled sample was used as a control (cells without incubation with primary antibody; black).
more info or order :
company information

HUABIO
Founded in 2007, HUABIO is dedicated to developing high-quality antibodies that advance innovation. We are passionate about the accuracy, efficiency, and consistency of our products. That is why we have invested in new production platforms, like recombinant rabbit monoclonals, alpaca nanobodies, and adopted aggressive QA standards to deliver cutting-edge antibodies with uncompromised quality.
We hope to see you at your next discovery!
We hope to see you at your next discovery!
browse more products
questions and comments
