product summary
Loading...
company name :
HUABIO
product type :
antibody
product name :
DDX6
catalog :
ET7107-06
quantity :
100μl
price :
385.00 USD
clonality :
monoclonal
host :
domestic rabbit
conjugate :
nonconjugated
clone name :
JB41-32
reactivity :
human, mouse, rat
application :
western blot, immunohistochemistry - paraffin section
more info or order :
image
image 1 :

Western blot analysis of DDX6 on different lysates using anti-DDX6 antibody at 1/500 dilution.
Positive control:
Lane 1: Human colon Lane 2: SH-SY-5Y
Lane 3: SiHa Lane 4: K562
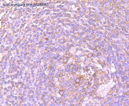
image 2 :

Immunohistochemical analysis of paraffin-embedded human tonsil tissue using anti-DDX6 antibody. Counter stained with hematoxylin.
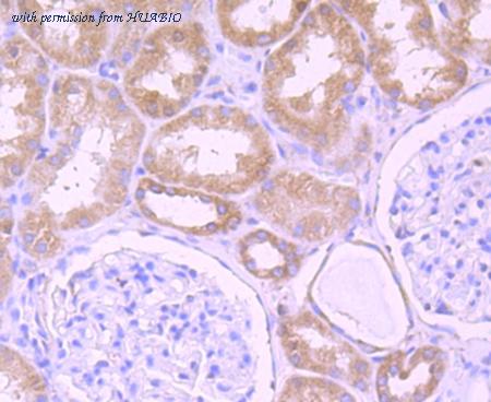
image 3 :

Immunohistochemical analysis of paraffin-embedded human kidney tissue using anti-DDX6 antibody. Counter stained with hematoxylin.
product information
SKU :
ET7107-06
Target name :
DDX6
Species reactivity :
Human,Mouse,Rat
Applications :
WB,IHC-P
Conjugate :
Non-conjugated
Immunogen :
Recombinant protein within Human DDX6 aa 81-220 / 483.
Uniprot id :
P26196>SwissProt: P26196 Human;SwissProt: P54823 Mouse
Host :
Rabbit
Clone number :
JB41-32
Isotype :
IgG
Size :
100μl
List Price :
385.00 USD
Storage Buffer :
1*TBS (pH7.4), 0.05% BSA, 40% Glycerol. Preservative: 0.05% Sodium Azide.
Form :
Liquid
Storage Instruction :
Shipped at 4℃. Store at +4℃ short term (1-2 weeks). It is recommended to aliquot into single-use upon delivery. Store at -20℃ long term.
Purity :
Protein A affinity purified.
Product type :
Recombinant Rabbit monoclonal Antibody
Positive control :
Rat brain tissue, human tonsil tissue, human kidney tissue, mouse small intestine tissue, human colon tissue, SH-SY-5Y, K562, SiHa.
Molecular wt :
54 kDa
Subcellular location :
Cytoplasm. Nucleus.
Concentration :
1 mg/mL.
Recommended dilutions :
WB: 1:500-1:1,000;IHC-P: 1:50-1:100
Pic img4 :
https://storage.huabio.cn/huabio/productImg/ET7107-06_4.jpg
Pic legend4 :
Immunohistochemical analysis of paraffin-embedded mouse small intestine tissue using anti-DDX6 antibody. Counter stained with hematoxylin.
Pic img5 :
https://storage.huabio.cn/huabio/productImg/ET7107-06_5.jpg
Pic legend5 :
Immunohistochemical analysis of paraffin-embedded rat brain tissue using anti-DDX6 antibody. Counter stained with hematoxylin.
more info or order :
company information

HUABIO
Founded in 2007, HUABIO is dedicated to developing high-quality antibodies that advance innovation. We are passionate about the accuracy, efficiency, and consistency of our products. That is why we have invested in new production platforms, like recombinant rabbit monoclonals, alpaca nanobodies, and adopted aggressive QA standards to deliver cutting-edge antibodies with uncompromised quality.
We hope to see you at your next discovery!
We hope to see you at your next discovery!
browse more products
questions and comments
