product summary
Loading...
company name :
HUABIO
product type :
antibody
product name :
VPS35
catalog :
ET7107-01
quantity :
100μl
price :
385.00 USD
clonality :
monoclonal
host :
domestic rabbit
conjugate :
nonconjugated
clone name :
JB33-82
reactivity :
human, mouse, rat
application :
western blot, immunohistochemistry - paraffin section
more info or order :
image
image 1 :

Western blot analysis of VPS35 on different lysates with Rabbit anti-VPS35 antibody (ET7107-01) at 1/5,000 dilution.
Lane 1: SH-SY5Y cell lysate (20 µg/Lane)
Lane 2: A549 cell lysate (20 µg/Lane)
Lane 3: U-937 cell lysate (20 µg/Lane)
Lane 4: COS-1 cell lysate (20 µg/Lane)
Lane 5: Neuro-2a cell lysate (20 µg/Lane)
Lane 6: NIH/3T3 cell lysate (20 µg/Lane)
Lane 7: C2C12 cell lysate (20 µg/Lane)
Lane 8: C6 cell lysate (20 µg/Lane)
Lane 9: NR8383 cell lysate (20 µg/Lane)
Lane 10: PC-12 cell lysate (20 µg/Lane)
Lane 11: Mouse brain tissue lysate (20 µg/Lane)
Lane 12: Mouse colon tissue lysate (20 µg/Lane)
Lane 13: Rat brain tissue lysate (20 µg/Lane)
Lane 14: Rat colon tissue lysate (20 µg/Lane)
Predicted band size: 92 kDa
Observed band size: 80 kDa
Exposure time: 20 seconds; ECL: K1801;
4-20% SDS-PAGE gel.
Proteins were transferred to a PVDF membrane and blocked with 5% NFDM/TBST for 1 hour at room temperature. The primary antibody (ET7107-01) at 1/5,000 dilution was used in primary antibody dilution (K1803) at 4℃ overnight. Goat Anti-Rabbit IgG - HRP Secondary Antibody (HA1001) at 1/50,000 dilution was used for 1 hour at room temperature.
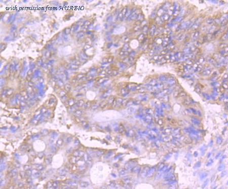
image 2 :

Immunohistochemical analysis of paraffin-embedded human colon cancer tissue using anti-VPS35 antibody. Counter stained with hematoxylin.
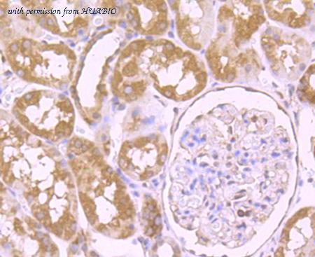
image 3 :

Immunohistochemical analysis of paraffin-embedded human kidney tissue using anti-VPS35 antibody. Counter stained with hematoxylin.
product information
SKU :
ET7107-01
Target name :
VPS35
Species reactivity :
Human,Mouse,Rat,Monkey,Cynomolgus monkey,Pig
Applications :
WB,IHC-P,IF-Cell
Conjugate :
Non-conjugated
Immunogen :
Recombinant protein within Human VPS35 aa 80-220 / 796.
Uniprot id :
Q96QK1>SwissProt: Q96QK1 Human;SwissProt: Q9EQH3 Mouse;Entrez Gene: 25479 Rat
Host :
Rabbit
Clone number :
JB33-82
Isotype :
IgG
Size :
100μl
List Price :
385.00 USD
Storage Buffer :
1*TBS (pH7.4), 0.05% BSA, 40% Glycerol. Preservative: 0.05% Sodium Azide.
Form :
Liquid
Storage Instruction :
Shipped at 4℃. Store at +4℃ short term (1-2 weeks). It is recommended to aliquot into single-use upon delivery. Store at -20℃ long term.
Purity :
Protein A affinity purified.
Product type :
Recombinant Rabbit monoclonal Antibody
Positive control :
SH-SY5Y cell lysate, A549 cell lysate, U-937 cell lysate, COS-1 cell lysate, Neuro-2a cell lysate, NIH/3T3 cell lysate, C2C12 cell lysate, C6 cell lysate, NR8383 cell lysate, PC-12 cell lysate, mouse brain tissue lysate, mouse colon tissue lysate, rat brain tissue lysate, rat colon tissue lysate, human colon cancer tissue, human kidney tissue, human placenta tissue, mouse colon tissue, NIH/3T3.
Molecular wt :
Predicted band size: 92 kDa
Subcellular location :
Cytoplasm. Membrane. Endosome.
Concentration :
1 mg/mL.
Recommended dilutions :
WB: 1:5,000
;IHC-P: 1:100-1:500
;IF-Cell: 1:100
Advanced Validation :
Knockdown (KD)
Pic img4 :
https://storage.huabio.cn/huabio/productImg/ET7107-01_4.jpg
Pic legend4 :
Immunohistochemical analysis of paraffin-embedded human placenta tissue using anti-VPS35 antibody. Counter stained with hematoxylin.
Pic img5 :
https://storage.huabio.cn/huabio/productImg/ET7107-01_5.jpg
Pic legend5 :
Immunohistochemical analysis of paraffin-embedded mouse colon tissue using anti-VPS35 antibody. Counter stained with hematoxylin.
Pic img6 :
https://storage.huabio.cn/huabio/productImg/ET7107-01_6.jpg
Pic legend6 :
Immunocytochemistry analysis of NIH/3T3 cells labeling VPS35 with Rabbit anti-VPS35 antibody (ET7107-01) at 1/100 dilution.
Cells were fixed in 4% paraformaldehyde for 15 minutes at room temperature, permeabilized with 0.1% Triton X-100 in PBS for 15 minutes at room temperature, then blocked with 1% BSA in 10% negative goat serum for 1 hour at room temperature. Cells were then incubated with Rabbit anti-VPS35 antibody (ET7107-01) at 1/100 dilution in 1% BSA in PBST overnight at 4 ℃. Goat Anti-Rabbit IgG H&L (iFluor™ 488, HA1121) was used as the secondary antibody at 1/1,000 dilution. PBS instead of the primary antibody was used as the secondary antibody only control. Nuclear DNA was labelled in blue with DAPI.
Beta tubulin (HA601187, red) was stained at 1/100 dilution overnight at +4℃. Goat Anti-Mouse IgG H&L (iFluor™ 594, HA1126) was used as the secondary antibody at 1/1,000 dilution.
Pic img7 :
https://storage.huabio.cn/huabio/productImg/ET7107-01_7.jpg
Pic legend7 :
Western blot analysis of VPS35 on different lysates with Rabbit anti-VPS35 antibody (ET7107-01) at 1/2,000 dilution.
Lane 1: HAP1-parental cell lysate
Lane 2: HAP1-VPS35 KD cell lysate
Lysates/proteins at 10 µg/Lane.
Predicted band size: 92 kDa
Observed band size: 80 kDa
Exposure time: 20 seconds; ECL: K1801;
4-20% SDS-PAGE gel.
Proteins were transferred to a PVDF membrane and blocked with 5% NFDM/TBST for 1 hour at room temperature. The primary antibody (ET7107-01) at 1/2,000 dilution was used in K1803 at 4℃ overnight. Goat Anti-Rabbit IgG - HRP Secondary Antibody (HA1001) at 1/50,000 dilution was used for 1 hour at room temperature.
more info or order :
company information

HUABIO
Founded in 2007, HUABIO is dedicated to developing high-quality antibodies that advance innovation. We are passionate about the accuracy, efficiency, and consistency of our products. That is why we have invested in new production platforms, like recombinant rabbit monoclonals, alpaca nanobodies, and adopted aggressive QA standards to deliver cutting-edge antibodies with uncompromised quality.
We hope to see you at your next discovery!
We hope to see you at your next discovery!
browse more products
questions and comments
