product summary
Loading...
company name :
HUABIO
product type :
antibody
product name :
ZAP70
catalog :
ET1706-42
quantity :
100μl
price :
385.00 USD
clonality :
monoclonal
host :
domestic rabbit
conjugate :
nonconjugated
clone name :
JU08-39
reactivity :
human
application :
western blot, immunoprecipitation, flow cytometry, immunohistochemistry - paraffin section
more info or order :
image
image 1 :

Western blot analysis of ZAP70 on different lysates with Rabbit anti-ZAP70 antibody (ET1706-42) at 1/2,000 dilution.
Lane 1: Jurkat cell lysate (20 µg/Lane)
Lane 2: Ramos cell lysate (negative) (20 µg/Lane)
Lane 3: MOLT-4 cell lysate (20 µg/Lane)
Lane 4: Raji cell lysate (negative) (20 µg/Lane)
Lane 5: HUT 102 cell lysate (20 µg/Lane)
Predicted band size: 70 kDa
Observed band size: 70 kDa
Exposure time: 40 seconds; ECL: K1801;
4-20% SDS-PAGE gel.
Proteins were transferred to a PVDF membrane and blocked with 5% NFDM/TBST for 1 hour at room temperature. The primary antibody (ET1706-42) at 1/2,000 dilution was used in 5% NFDM/TBST at 4℃ overnight. Goat Anti-Rabbit IgG - HRP Secondary Antibody (HA1001) at 1/50,000 dilution was used for 1 hour at room temperature.
image 2 :

Immunohistochemical analysis of paraffin-embedded human lymph node tissue with Rabbit anti-ZAP70 antibody (ET1706-42) at 1/200 dilution.
The section was pre-treated using heat mediated antigen retrieval with Tris-EDTA buffer (pH 9.0) for 20 minutes. The tissues were blocked in 1% BSA for 20 minutes at room temperature, washed with ddH2O and PBS, and then probed with the primary antibody (ET1706-42) at 1/200 dilution for 1 hour at room temperature. The detection was performed using an HRP conjugated compact polymer system. DAB was used as the chromogen. Tissues were counterstained with hematoxylin and mounted with DPX.
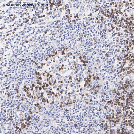
image 3 :

Immunohistochemical analysis of paraffin-embedded human spleen tissue with Rabbit anti-ZAP70 antibody (ET1706-42) at 1/200 dilution.
The section was pre-treated using heat mediated antigen retrieval with Tris-EDTA buffer (pH 9.0) for 20 minutes. The tissues were blocked in 1% BSA for 20 minutes at room temperature, washed with ddH2O and PBS, and then probed with the primary antibody (ET1706-42) at 1/200 dilution for 1 hour at room temperature. The detection was performed using an HRP conjugated compact polymer system. DAB was used as the chromogen. Tissues were counterstained with hematoxylin and mounted with DPX.
product information
SKU :
ET1706-42
Target name :
ZAP70
Species reactivity :
Human
Applications :
WB,IF-Cell,IHC-P,FC,IP
Conjugate :
Non-conjugated
Immunogen :
Synthetic peptide within Human ZAP70 aa 570-619 / 619.
Uniprot id :
P43403>SwissProt: P43403 Human
Host :
Rabbit
Clone number :
JU08-39
Isotype :
IgG
Size :
100μl
List Price :
385.00 USD
Storage Buffer :
1*TBS (pH7.4), 0.05% BSA, 40% Glycerol. Preservative: 0.05% Sodium Azide.
Form :
Liquid
Storage Instruction :
Shipped at 4℃. Store at +4℃ short term (1-2 weeks). It is recommended to aliquot into single-use upon delivery. Store at -20℃ long term.
Purity :
Protein A affinity purified.
Product type :
Recombinant Rabbit monoclonal Antibody
Positive control :
Jurkat cell lysate, MOLT-4 cell lysate, HUT 102 cell lysate, human lymph node tissue, human spleen tissue, LOVO, SH-SY-5Y, Jurkat.
Molecular wt :
Predicted band size: 70 kDa
Subcellular location :
Cytoplasm. Cell membrane.
Concentration :
1 mg/mL.
Recommended dilutions :
WB: 1:2,000
;IF-Cell: 1:50-1:200
;IHC-P: 1:200
;FC: 1:50-1:100
;IP: 1:10-1:50
Advanced Validation :
Relative expression (RE)
Pic img4 :
https://storage.huabio.cn/huabio/productImg/ET1706-42_4.jpg
Pic legend4 :
Immunocytochemistry analysis of LOVO cells labeling ZAP70 with Rabbit anti-ZAP70 antibody (ET1706-42) at 1/50 dilution.
Cells were fixed in 4% paraformaldehyde for 10 minutes at 37 ℃, permeabilized with 0.05% Triton X-100 in PBS for 20 minutes, and then blocked with 2% negative goat serum for 30 minutes at room temperature. Cells were then incubated with Rabbit anti-ZAP70 antibody (ET1706-42) at 1/50 dilution in 2% negative goat serum overnight at 4 ℃. Alexa Fluor®488 conjugate-Goat anti-Rabbit IgG was used as the secondary antibody at 1/1,000 dilution. Nuclear DNA was labelled in blue with DAPI.
Pic img5 :
https://storage.huabio.cn/huabio/productImg/ET1706-42_5.jpg
Pic legend5 :
Immunocytochemistry analysis of SH-SY-5Y cells labeling ZAP70 with Rabbit anti-ZAP70 antibody (ET1706-42) at 1/50 dilution.
Cells were fixed in 4% paraformaldehyde for 10 minutes at 37 ℃, permeabilized with 0.05% Triton X-100 in PBS for 20 minutes, and then blocked with 2% negative goat serum for 30 minutes at room temperature. Cells were then incubated with Rabbit anti-ZAP70 antibody (ET1706-42) at 1/50 dilution in 2% negative goat serum overnight at 4 ℃. Alexa Fluor®488 conjugate-Goat anti-Rabbit IgG was used as the secondary antibody at 1/1,000 dilution. Nuclear DNA was labelled in blue with DAPI.
Pic img6 :
https://storage.huabio.cn/huabio/productImg/ET1706-42_6.jpg
Pic legend6 :
Flow cytometric analysis of ZAP70 was done on Jurkat cells. The cells were fixed, permeabilized and stained with the primary antibody (ET1706-42, 1/50) (red). After incubation of the primary antibody at room temperature for an hour, the cells were stained with a Alexa Fluor®488 conjugate-Goat anti-Rabbit IgG Secondary antibody at 1/1,000 dilution for 30 minutes.Unlabelled sample was used as a control (cells without incubation with primary antibody; black).
more info or order :
company information

HUABIO
Founded in 2007, HUABIO is dedicated to developing high-quality antibodies that advance innovation. We are passionate about the accuracy, efficiency, and consistency of our products. That is why we have invested in new production platforms, like recombinant rabbit monoclonals, alpaca nanobodies, and adopted aggressive QA standards to deliver cutting-edge antibodies with uncompromised quality.
We hope to see you at your next discovery!
We hope to see you at your next discovery!
related products
browse more products
questions and comments
