product summary
Loading...
company name :
HUABIO
product type :
antibody
product name :
Apg3
catalog :
ET1706-29
quantity :
100μl
price :
385.00 USD
clonality :
monoclonal
host :
domestic rabbit
conjugate :
nonconjugated
clone name :
JU00-35
reactivity :
human, mouse, rat
application :
western blot, immunohistochemistry - paraffin section
more info or order :
image
image 1 :

Western blot analysis of Apg3 on different lysates with Rabbit anti-Apg3 antibody (ET1706-29) at 1/500 dilution.
Lane 1: Mouse testis tissue (20 µg/Lane)
Lane 2: K562 cell lysate (10 µg/Lane)
Lane 3: HL-60 cell lysate (10 µg/Lane)
Lane 4: Hela cell lysate (10 µg/Lane)
Lane 5: Jurkat cell lysate (10 µg/Lane)
Predicted band size: 40 kDa
Observed band size: 40 kDa
Exposure time: 2 minutes;
10% SDS-PAGE gel.
Proteins were transferred to a PVDF membrane and blocked with 5% NFDM/TBST for 1 hour at room temperature. The primary antibody (ET1706-29) at 1/500 dilution was used in 5% NFDM/TBST at room temperature for 2 hours. Goat Anti-Rabbit IgG - HRP Secondary Antibody (HA1001) at 1/5,000 dilution was used for 1 hour at room temperature.
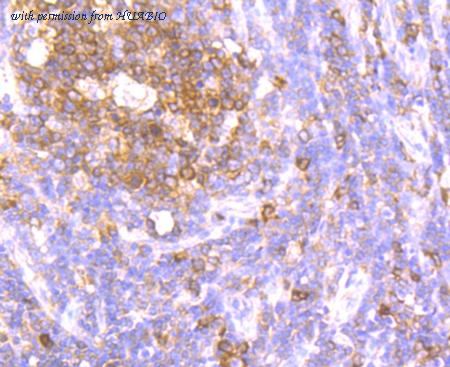
image 2 :

Immunohistochemical analysis of paraffin-embedded human tonsil tissue with Rabbit anti-Apg3 antibody (ET1706-29) at 1/100 dilution.
The section was pre-treated using heat mediated antigen retrieval with sodium citrate buffer (pH 6.0) (high pressure) for 2 minutes. The tissues were blocked in 1% BSA for 20 minutes at room temperature, washed with ddH2O and PBS, and then probed with the primary antibody (ET1706-29) at 1/100 dilution for 1 hour at room temperature. The detection was performed using an HRP conjugated compact polymer system. DAB was used as the chromogen. Tissues were counterstained with hematoxylin and mounted with DPX.
image 3 :

Immunohistochemical analysis of paraffin-embedded human thyroid gland tissue with Rabbit anti-Apg3 antibody (ET1706-29) at 1/100 dilution.
The section was pre-treated using heat mediated antigen retrieval with sodium citrate buffer (pH 6.0) (high pressure) for 2 minutes. The tissues were blocked in 1% BSA for 20 minutes at room temperature, washed with ddH2O and PBS, and then probed with the primary antibody (ET1706-29) at 1/100 dilution for 1 hour at room temperature. The detection was performed using an HRP conjugated compact polymer system. DAB was used as the chromogen. Tissues were counterstained with hematoxylin and mounted with DPX.
product information
SKU :
ET1706-29
Target name :
Apg3
Species reactivity :
Human,Mouse,Rat
Applications :
WB,IHC-P
Conjugate :
Non-conjugated
Immunogen :
Synthetic peptide within Human Apg3 1-50 / 314.
Uniprot id :
Q9NT62>SwissProt: Q9NT62 Human;SwissProt: Q9CPX6 Mouse;SwissProt: Q6AZ50 Rat
Host :
Rabbit
Clone number :
JU00-35
Isotype :
IgG
Size :
100μl
List Price :
385.00 USD
Storage Buffer :
1*TBS (pH7.4), 0.05% BSA, 40% Glycerol. Preservative: 0.05% Sodium Azide.
Form :
Liquid
Storage Instruction :
Shipped at 4℃. Store at +4℃ short term (1-2 weeks). It is recommended to aliquot into single-use upon delivery. Store at -20℃ long term.
Purity :
Protein A affinity purified.
Product type :
Recombinant Rabbit monoclonal Antibody
Positive control :
K562 cell lysate, HL-60 cell lysate, Hela cell lysate, Jurkat cell lysate, human tonsil tissue, human thyroid gland tissue, human colon carcinoma tissue, mouse small intestine tissue.
Molecular wt :
40 kDa
Subcellular location :
Cytoplasm
Concentration :
1 mg/mL.
Recommended dilutions :
WB: 1:500-1:2,000
;IHC-P: 1:50-1:200
Pic img4 :
https://storage.huabio.cn/huabio/productImg/ET1706-29_4.jpg
Pic legend4 :
Immunohistochemical analysis of paraffin-embedded human colon carcinoma tissue with Rabbit anti-Apg3 antibody (ET1706-29) at 1/100 dilution.
The section was pre-treated using heat mediated antigen retrieval with sodium citrate buffer (pH 6.0) (high pressure) for 2 minutes. The tissues were blocked in 1% BSA for 20 minutes at room temperature, washed with ddH2O and PBS, and then probed with the primary antibody (ET1706-29) at 1/100 dilution for 1 hour at room temperature. The detection was performed using an HRP conjugated compact polymer system. DAB was used as the chromogen. Tissues were counterstained with hematoxylin and mounted with DPX.
Pic img5 :
https://storage.huabio.cn/huabio/productImg/ET1706-29_5.jpg
Pic legend5 :
Immunohistochemical analysis of paraffin-embedded mouse small intestine tissue with Rabbit anti-Apg3 antibody (ET1706-29) at 1/100 dilution.
The section was pre-treated using heat mediated antigen retrieval with sodium citrate buffer (pH 6.0) (high pressure) for 2 minutes. The tissues were blocked in 1% BSA for 20 minutes at room temperature, washed with ddH2O and PBS, and then probed with the primary antibody (ET1706-29) at 1/100 dilution for 1 hour at room temperature. The detection was performed using an HRP conjugated compact polymer system. DAB was used as the chromogen. Tissues were counterstained with hematoxylin and mounted with DPX.
more info or order :
company information

HUABIO
Founded in 2007, HUABIO is dedicated to developing high-quality antibodies that advance innovation. We are passionate about the accuracy, efficiency, and consistency of our products. That is why we have invested in new production platforms, like recombinant rabbit monoclonals, alpaca nanobodies, and adopted aggressive QA standards to deliver cutting-edge antibodies with uncompromised quality.
We hope to see you at your next discovery!
We hope to see you at your next discovery!
related products
browse more products
questions and comments
