product summary
Loading...
company name :
HUABIO
product type :
antibody
product name :
HuR / ELAVL1
catalog :
ET1705-81
quantity :
100μl
price :
385.00 USD
clonality :
monoclonal
host :
domestic rabbit
conjugate :
nonconjugated
clone name :
JM96-33
reactivity :
human, mouse, rat
application :
western blot, immunoprecipitation, immunohistochemistry - paraffin section
more info or order :
image
image 1 :

Western blot analysis of HuR / ELAVL1 on different lysates with Rabbit anti-HuR / ELAVL1 antibody (ET1705-81) at 1/2,000 dilution.
Lane 1: A549-si NT cell lysate
Lane 2: A549-si HuR / ELAVL1 cell lysate
Lysates/proteins at 10 µg/Lane.
Predicted band size: 36 kDa
Observed band size: 34 kDa
Exposure time: 30 seconds; ECL: K1801;
4-20% SDS-PAGE gel.
Proteins were transferred to a PVDF membrane and blocked with 5% NFDM/TBST for 1 hour at room temperature. The primary antibody (ET1705-81) at 1/2,000 dilution was used in 5% NFDM/TBST at 4℃ overnight. Goat Anti-Rabbit IgG - HRP Secondary Antibody (HA1001) at 1/50,000 dilution was used for 1 hour at room temperature.
image 2 :

Western blot analysis of HuR/ELAVL1 on different lysates using anti-HuR/ELAVL1 antibody at 1/1,000 dilution.
Positive control:
Lane 1: Rat spleen tissue lysates
Lane 2: Rat heart tisse lysates
Lane 3: PC-12 cell lysates
Lane 4: Mouse heart tissue lysates
Lane 5: Hela cell lysates
image 3 :

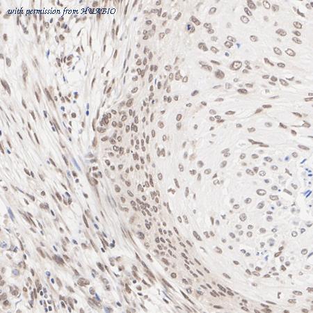
Immunohistochemical analysis of paraffin-embedded human cervix cancer tissue with Rabbit anti-HuR / ELAVL1 antibody (ET1705-81) at 1/1,000 dilution.
The section was pre-treated using heat mediated antigen retrieval with Tris-EDTA buffer (pH 9.0) for 20 minutes. The tissues were blocked in 1% BSA for 20 minutes at room temperature, washed with ddH2O and PBS, and then probed with the primary antibody (ET1705-81) at 1/1,000 dilution for 1 hour at room temperature. The detection was performed using an HRP conjugated compact polymer system. DAB was used as the chromogen. Tissues were counterstained with hematoxylin and mounted with DPX.
product information
SKU :
ET1705-81
Target name :
HuR / ELAVL1
Species reactivity :
Human,Mouse,Rat
Applications :
WB,IHC-P,IP,IF-Cell
Conjugate :
Non-conjugated
Immunogen :
Synthetic peptide within Human HuR / ELAVL1 aa 50-99 / 326.
Uniprot id :
Q15717>SwissProt: Q15717 Human;SwissProt: P70372 Mouse;SwissProt: B5DF91 Rat
Host :
Rabbit
Clone number :
JM96-33
Isotype :
IgG
Size :
100μl
List Price :
385.00 USD
Storage Buffer :
1*TBS (pH7.4), 0.05% BSA, 40% Glycerol. Preservative: 0.05% Sodium Azide.
Form :
Liquid
Storage Instruction :
Shipped at 4℃. Store at +4℃ short term (1-2 weeks). It is recommended to aliquot into single-use upon delivery. Store at -20℃ long term.
Purity :
Protein A affinity purified.
Product type :
Recombinant Rabbit monoclonal Antibody
Positive control :
A549 cell lysate, Rat spleen tissue lysate, Rat heart tisse lysate, PC-12 cell lysate, Mouse heart tissue lysate, Hela cell lysate, human cervix cancer tissue, mouse heart tissue, rat brain tissue, human colon cancer tissue, human breast tissue, mouse testis tissue, HeLa.
Molecular wt :
Predicted band size: 36 kDa
Subcellular location :
Cytoplasm. Nucleus.
Concentration :
1 mg/mL.
Recommended dilutions :
WB: 1:500-1:2,000
;IHC-P: 1:100-1:1,000
;IP: 1-2μg/sample
;IF-Cell: 1:100
Advanced Validation :
Knockdown (KD)
Pic img4 :
https://storage.huabio.cn/huabio/productImg/ET1705-81_4.jpg
Pic legend4 :
Immunohistochemical analysis of paraffin-embedded mouse heart tissue with Rabbit anti-HuR / ELAVL1 antibody (ET1705-81) at 1/1,000 dilution.
The section was pre-treated using heat mediated antigen retrieval with Tris-EDTA buffer (pH 9.0) for 20 minutes. The tissues were blocked in 1% BSA for 20 minutes at room temperature, washed with ddH2O and PBS, and then probed with the primary antibody (ET1705-81) at 1/1,000 dilution for 1 hour at room temperature. The detection was performed using an HRP conjugated compact polymer system. DAB was used as the chromogen. Tissues were counterstained with hematoxylin and mounted with DPX.
Pic img5 :
https://storage.huabio.cn/huabio/productImg/ET1705-81_5.jpg
Pic legend5 :
Immunohistochemical analysis of paraffin-embedded rat brain tissue with Rabbit anti-HuR / ELAVL1 antibody (ET1705-81) at 1/1,000 dilution.
The section was pre-treated using heat mediated antigen retrieval with Tris-EDTA buffer (pH 9.0) for 20 minutes. The tissues were blocked in 1% BSA for 20 minutes at room temperature, washed with ddH2O and PBS, and then probed with the primary antibody (ET1705-81) at 1/1,000 dilution for 1 hour at room temperature. The detection was performed using an HRP conjugated compact polymer system. DAB was used as the chromogen. Tissues were counterstained with hematoxylin and mounted with DPX.
Pic img6 :
https://storage.huabio.cn/huabio/productImg/ET1705-81_6.jpg
Pic legend6 :
Immunohistochemical analysis of paraffin-embedded human colon cancer tissue using anti-HuR/ELAVL1 antibody. Counter stained with hematoxylin.
Pic img7 :
https://storage.huabio.cn/huabio/productImg/ET1705-81_7.jpg
Pic legend7 :
Immunohistochemical analysis of paraffin-embedded human breast tissue using anti-HuR/ELAVL1 antibody. Counter stained with hematoxylin.
Pic img8 :
https://storage.huabio.cn/huabio/productImg/ET1705-81_8.jpg
Pic legend8 :
Immunohistochemical analysis of paraffin-embedded mouse testis tissue using anti-HuR/ELAVL1 antibody. Counter stained with hematoxylin.
Pic img9 :
https://storage.huabio.cn/huabio/productImg/ET1705-81_9.jpg
Pic legend9 :
Immunocytochemistry analysis of HeLa cells labeling HuR / ELAVL1 with Rabbit anti-HuR / ELAVL1 antibody (ET1705-81) at 1/100 dilution.
Cells were fixed in 4% paraformaldehyde for 15 minutes at room temperature, permeabilized with 0.1% Triton X-100 in PBS for 15 minutes at room temperature, then blocked with 1% BSA in 10% negative goat serum for 1 hour at room temperature. Cells were then incubated with Rabbit anti-HuR / ELAVL1 antibody (ET1705-81) at 1/100 dilution in 1% BSA in PBST overnight at 4 ℃. Goat Anti-Rabbit IgG H&L (iFluor™ 488, HA1121) was used as the secondary antibody at 1/1,000 dilution. PBS instead of the primary antibody was used as the secondary antibody only control. Nuclear DNA was labelled in blue with DAPI.
Beta tubulin (HA601187, red) was stained at 1/100 dilution overnight at +4℃. Goat Anti-Mouse IgG H&L (iFluor™ 594, HA1126) was used as the secondary antibody at 1/1,000 dilution.
Pic img10 :
https://storage.huabio.cn/huabio/productImg/ET1705-81_10.jpg
Pic legend10 :
HuR / ELAVL1 was immunoprecipitated from 0.2 mg HeLa cell lysate with ET1705-81 at 2 µg/10 µl beads. Western blot was performed from the immunoprecipitate using ET1705-81 at 1/1,000 dilution. Anti-Rabbit IgG for IP Nano-secondary antibody (NBI01H) at 1/5,000 dilution was used for 1 hour at room temperature.
Lane 1: HeLa cell lysate (input)
Lane 2: ET1705-81 IP in HeLa cell lysate
Lane 3: Rabbit IgG instead of ET1705-81 in HeLa cell lysate
Blocking/Dilution buffer: 5% NFDM/TBST
Exposure time: 1 minute; ECL: K1802
more info or order :
company information

HUABIO
Founded in 2007, HUABIO is dedicated to developing high-quality antibodies that advance innovation. We are passionate about the accuracy, efficiency, and consistency of our products. That is why we have invested in new production platforms, like recombinant rabbit monoclonals, alpaca nanobodies, and adopted aggressive QA standards to deliver cutting-edge antibodies with uncompromised quality.
We hope to see you at your next discovery!
We hope to see you at your next discovery!
browse more products
questions and comments
