product summary
Loading...
company name :
HUABIO
product type :
antibody
product name :
KAT7
catalog :
ET1705-25
quantity :
100μl
price :
385.00 USD
clonality :
monoclonal
host :
domestic rabbit
conjugate :
nonconjugated
clone name :
JM32-39
reactivity :
human, mouse, rat
application :
western blot, immunoprecipitation, immunohistochemistry - paraffin section
more info or order :
image
image 1 :

Western blot analysis of KAT7 on different lysates with Rabbit anti-KAT7 antibody (ET1705-25) at 1/1,000 dilution.
Lane 1: HeLa cell lysate (20 µg/Lane)
Lane 2: NIH/3T3 cell lysate (20 µg/Lane)
Lane 3: RAW264.7 cell lysate (20 µg/Lane)
Lane 4: Mouse testis tissue lysate (40 µg/Lane)
Lane 5: Rat testis tissue lysate (40 µg/Lane)
Predicted band size: 71 kDa
Observed band size: 75 kDa
Exposure time: 3 minutes;
4-20% SDS-PAGE gel.
Proteins were transferred to a PVDF membrane and blocked with 5% NFDM/TBST for 1 hour at room temperature. The primary antibody (ET1705-25) at 1/1,000 dilution was used in 5% NFDM/TBST at 4℃ overnight. Goat Anti-Rabbit IgG - HRP Secondary Antibody (HA1001) at 1/50,000 dilution was used for 1 hour at room temperature.
image 2 :

Immunohistochemical analysis of paraffin-embedded mouse testis tissue using anti-KAT7 antibody. Counter stained with hematoxylin.
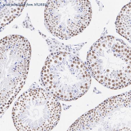
image 3 :

Immunohistochemical analysis of paraffin-embedded rat testis tissue using anti-KAT7 antibody. Counter stained with hematoxylin.
product information
SKU :
ET1705-25
Target name :
KAT7
Species reactivity :
Human,Mouse,Rat
Applications :
WB,IHC-P,IP,IF-Cell
Conjugate :
Non-conjugated
Immunogen :
Recombinant protein within Human KAT7 aa 1-240 / 611.
Uniprot id :
O95251>SwissProt: O95251 Human;SwissProt: Q5SVQ0 Mouse;SwissProt: Q810T5 Rat
Host :
Rabbit
Clone number :
JM32-39
Isotype :
IgG
Size :
100μl
List Price :
385.00 USD
Storage Buffer :
1*TBS (pH7.4), 0.05% BSA, 40% Glycerol. Preservative: 0.05% Sodium Azide.
Form :
Liquid
Storage Instruction :
Shipped at 4℃. Store at +4℃ short term (1-2 weeks). It is recommended to aliquot into single-use upon delivery. Store at -20℃ long term.
Purity :
Protein A affinity purified.
Product type :
Recombinant Rabbit monoclonal Antibody
Positive control :
HeLa cell lysate, NIH/3T3 cell lysate, RAW264.7 cell lysate, mouse testis tissue lysate, rat testis tissue lysate, mouse testis tissue, rat testis tissue, mouse fallopian tubes tissue, HCT 116.
Molecular wt :
Predicted band size: 71 kDa
Subcellular location :
Nucleus.
Concentration :
1 mg/mL.
Recommended dilutions :
WB: 1:1,000
;IHC-P: 1:50-1:100
;IF-Cell: 1:50
Pic img4 :
https://storage.huabio.cn/huabio/productImg/ET1705-25_4.jpg
Pic legend4 :
Immunohistochemical analysis of paraffin-embedded mouse fallopian tubes tissue using anti-KAT7 antibody. Counter stained with hematoxylin.
Pic img5 :
https://storage.huabio.cn/huabio/productImg/ET1705-25_5.jpg
Pic legend5 :
Immunocytochemistry analysis of HCT 116 cells labeling KAT7 with Rabbit anti-KAT7 antibody (ET1705-25) at 1/50 dilution.
Cells were fixed in 4% paraformaldehyde for 15 minutes at room temperature, permeabilized with 0.1% Triton X-100 in PBS for 15 minutes at room temperature, then blocked with 1% BSA in 10% negative goat serum for 1 hour at room temperature. Cells were then incubated with Rabbit anti-KAT7 antibody (ET1705-25) at 1/50 dilution in 1% BSA in PBST overnight at 4 ℃. Goat Anti-Rabbit IgG H&L (iFluor™ 488, HA1121) was used as the secondary antibody at 1/1,000 dilution. PBS instead of the primary antibody was used as the secondary antibody only control. Nuclear DNA was labelled in blue with DAPI.
Beta tubulin (HA601187, red) was stained at 1/100 dilution overnight at +4℃. Goat Anti-Mouse IgG H&L (iFluor™ 594, HA1126) was used as the secondary antibody at 1/1,000 dilution.
more info or order :
company information

HUABIO
Founded in 2007, HUABIO is dedicated to developing high-quality antibodies that advance innovation. We are passionate about the accuracy, efficiency, and consistency of our products. That is why we have invested in new production platforms, like recombinant rabbit monoclonals, alpaca nanobodies, and adopted aggressive QA standards to deliver cutting-edge antibodies with uncompromised quality.
We hope to see you at your next discovery!
We hope to see you at your next discovery!
browse more products
questions and comments
