product summary
Loading...
company name :
HUABIO
product type :
antibody
product name :
Thymidylate Synthase
catalog :
ET1705-24
quantity :
100μl
price :
385.00 USD
clonality :
monoclonal
host :
domestic rabbit
conjugate :
nonconjugated
clone name :
JM33-20
reactivity :
human, mouse, rat
application :
western blot, immunoprecipitation, flow cytometry, immunohistochemistry - paraffin section
more info or order :
image
image 1 :

Western blot analysis of Thymidylate Synthase on different lysates with Rabbit anti-Thymidylate Synthase antibody (ET1705-24) at 1/1,000 dilution.
Lane 1: NIH/3T3 cell lysate (20 µg/Lane)
Lane 2: RAW264.7 cell lysate (20 µg/Lane)
Lane 3: C6 cell lysate (20 µg/Lane)
Lane 4: HeLa cell lysate (20 µg/Lane)
Lane 5: Mouse thymus tissue lysate (40 µg/Lane)
Predicted band size: 36 kDa
Observed band size: 35 kDa
Exposure time: Lane 1-3: 3 minutes; Lane 4-5: 46 seconds; ECL: K1801;
4-20% SDS-PAGE gel.
Proteins were transferred to a PVDF membrane and blocked with 5% NFDM/TBST for 1 hour at room temperature. The primary antibody (ET1705-24) at 1/1,000 dilution was used in 5% NFDM/TBST at 4℃ overnight. Goat Anti-Rabbit IgG - HRP Secondary Antibody (HA1001) at 1/50,000 dilution was used for 1 hour at room temperature.
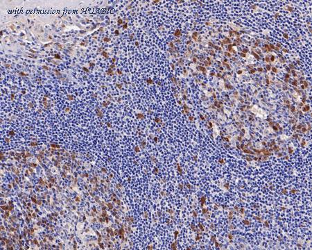
image 2 :

Immunohistochemical analysis of paraffin-embedded human tonsil tissue with Rabbit anti-Thymidylate Synthase antibody (ET1705-24) at 1/200 dilution.
The section was pre-treated using heat mediated antigen retrieval with Tris-EDTA buffer (pH 9.0) for 20 minutes. The tissues were blocked in 1% BSA for 20 minutes at room temperature, washed with ddH2O and PBS, and then probed with the primary antibody (ET1705-24) at 1/200 dilution for 1 hour at room temperature. The detection was performed using an HRP conjugated compact polymer system. DAB was used as the chromogen. Tissues were counterstained with hematoxylin and mounted with DPX.
image 3 :

Immunohistochemical analysis of paraffin-embedded mouse colon tissue using anti-Thymidylate Synthase antibody. Counter stained with hematoxylin.
product information
SKU :
ET1705-24
Target name :
Thymidylate Synthase
Species reactivity :
Human,Mouse,Rat
Applications :
WB,IHC-P,FC,IP
Conjugate :
Non-conjugated
Immunogen :
Synthetic peptide within Human Thymidylate Synthase aa 264-313 / 313.
Uniprot id :
P04818>SwissProt: P04818 Human;SwissProt: P07607 Mouse;SwissProt: P45352 Rat
Host :
Rabbit
Clone number :
JM33-20
Isotype :
IgG
Size :
100μl
List Price :
385.00 USD
Storage Buffer :
1*TBS (pH7.4), 0.05% BSA, 40% Glycerol. Preservative: 0.05% Sodium Azide.
Form :
Liquid
Storage Instruction :
Shipped at 4℃. Store at +4℃ short term (1-2 weeks). It is recommended to aliquot into single-use upon delivery. Store at -20℃ long term.
Purity :
Protein A affinity purified.
Product type :
Recombinant Rabbit monoclonal Antibody
Positive control :
NIH/3T3 cell lysate, RAW264.7 cell lysate, C6 cell lysate, HeLa cell lysate, Mouse thymus tissue lysate, human tonsil tissue, mouse colon tissue, rat bone tissue, Hela.
Molecular wt :
Predicted band size: 36 kDa
Subcellular location :
Nucleus. Cytoplasm. Mitochondrion.
Concentration :
1 mg/mL.
Recommended dilutions :
WB: 1:500-1:2,000
;IHC-P: 1:50-1:200
;FC: 1:50-1:100
;IP: Use at an assay dependent concentration.
Pic img4 :
https://storage.huabio.cn/huabio/productImg/ET1705-24_4.jpg
Pic legend4 :
Immunohistochemical analysis of paraffin-embedded rat bone tissue using anti-Thymidylate Synthase antibody. Counter stained with hematoxylin.
Pic img5 :
https://storage.huabio.cn/huabio/productImg/ET1705-24_5.jpg
Pic legend5 :
Flow cytometric analysis of Hela cells with Thymidylate Synthase antibody at 1/100 dilution (red) compared with an unlabelled control (cells without incubation with primary antibody; black).
more info or order :
company information

HUABIO
Founded in 2007, HUABIO is dedicated to developing high-quality antibodies that advance innovation. We are passionate about the accuracy, efficiency, and consistency of our products. That is why we have invested in new production platforms, like recombinant rabbit monoclonals, alpaca nanobodies, and adopted aggressive QA standards to deliver cutting-edge antibodies with uncompromised quality.
We hope to see you at your next discovery!
We hope to see you at your next discovery!
related products
browse more products
questions and comments
