product summary
Loading...
company name :
HUABIO
product type :
antibody
product name :
IDH2
catalog :
ET1704-93
quantity :
100μl
price :
385.00 USD
clonality :
monoclonal
host :
domestic rabbit
conjugate :
nonconjugated
clone name :
JA55-31
reactivity :
human, mouse, rat
application :
western blot, flow cytometry, immunohistochemistry - paraffin section
more info or order :
image
image 1 :

Western blot analysis of IDH2 on different lysates with Rabbit anti-IDH2 antibody (ET1704-93) at 1/2,000 dilution.
Lane 1: THP-1 cell lysate
Lane 2: Jurkat cell lysate
Lane 3: MCF7 cell lysate
Lane 4: C2C12 cell lysate
Lane 5: L6 cell lysate
Predicted band size: 51 kDa
Observed band size: 45 kDa
Exposure time: 10 seconds; ECL: K1801;
4-20% SDS-PAGE gel.
Proteins were transferred to a PVDF membrane and blocked with 5% NFDM/TBST for 1 hour at room temperature. The primary antibody (ET1704-93) at 1/2,000 dilution was used in 5% NFDM/TBST at 4℃ overnight. Goat Anti-Rabbit IgG - HRP Secondary Antibody (HA1001) at 1/50,000 dilution was used for 1 hour at room temperature.
image 2 :

Western blot analysis of IDH2 on different lysates with Rabbit anti-IDH2 antibody (ET1704-93) at 1/2,000 dilution.
Lane 1: HAP1-parental cell lysate
Lane 2: HAP1-IDH2 KD cell lysate
Lysates/proteins at 10 µg/Lane.
Predicted band size: 51 kDa
Observed band size: 45 kDa
Exposure time: 1 minute; ECL: K1801;
4-20% SDS-PAGE gel.
Proteins were transferred to a PVDF membrane and blocked with 5% NFDM/TBST for 1 hour at room temperature. The primary antibody (ET1704-93) at 1/2,000 dilution was used in primary antibody dilution (K1803) at 4℃ overnight. Goat Anti-Rabbit IgG - HRP Secondary Antibody (HA1001) at 1/50,000 dilution was used for 1 hour at room temperature.
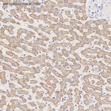
image 3 :

Immunohistochemical analysis of paraffin-embedded human liver tissue using anti-IDH2 antibody. Counter stained with hematoxylin.
product information
SKU :
ET1704-93
Target name :
IDH2
Species reactivity :
Human,Mouse,Rat
Applications :
WB,IHC-P,FC
Conjugate :
Non-conjugated
Immunogen :
Synthetic peptide within Human IDH2 aa 403-452 / 452.
Uniprot id :
P48735>SwissProt: P48735 Human;SwissProt: P54071 Mouse;SwissProt: P56574 Rat
Host :
Rabbit
Clone number :
JA55-31
Isotype :
IgG
Size :
100μl
List Price :
385.00 USD
Storage Buffer :
1*TBS (pH7.4), 0.05% BSA, 40% Glycerol. Preservative: 0.05% Sodium Azide.
Form :
Liquid
Storage Instruction :
Shipped at 4℃. Store at +4℃ short term (1-2 weeks). It is recommended to aliquot into single-use upon delivery. Store at -20℃ long term.
Purity :
Protein A affinity purified.
Product type :
Recombinant Rabbit monoclonal Antibody
Positive control :
THP-1 cell lysate, Jurkat cell lysate, MCF7 cell lysate, C2C12 cell lysate, L6 cell lysate, human liver tissue, human tonsil tissue, human prostate tissue, rat heart tissue, mouse heart tissue.
Molecular wt :
Predicted band size: 51 kDa
Subcellular location :
Mitochondrion
Concentration :
1 mg/mL.
Recommended dilutions :
WB: 1:2,000
;IHC-P: 1:50-1:200
;FC: 1:50-1:100
Advanced Validation :
Knockdown (KD)
Pic img4 :
https://storage.huabio.cn/huabio/productImg/ET1704-93_4.jpg
Pic legend4 :
Immunohistochemical analysis of paraffin-embedded human tonsil tissue using anti-IDH2 antibody. Counter stained with hematoxylin.
Pic img5 :
https://storage.huabio.cn/huabio/productImg/ET1704-93_5.jpg
Pic legend5 :
Immunohistochemical analysis of paraffin-embedded human prostate tissue using anti-IDH2 antibody. Counter stained with hematoxylin.
Pic img6 :
https://storage.huabio.cn/huabio/productImg/ET1704-93_6.jpg
Pic legend6 :
Immunohistochemical analysis of paraffin-embedded rat heart tissue using anti-IDH2 antibody. Counter stained with hematoxylin.
Pic img7 :
https://storage.huabio.cn/huabio/productImg/ET1704-93_7.jpg
Pic legend7 :
Immunohistochemical analysis of paraffin-embedded mouse heart tissue using anti-IDH2 antibody. Counter stained with hematoxylin.
Pic img8 :
https://storage.huabio.cn/huabio/productImg/ET1704-93_8.jpg
Pic legend8 :
Flow cytometric analysis of MCF-7 cells with IDH2 antibody at 1/100 dilution (red) compared with an unlabelled control (cells without incubation with primary antibody; black).
more info or order :
company information

HUABIO
Founded in 2007, HUABIO is dedicated to developing high-quality antibodies that advance innovation. We are passionate about the accuracy, efficiency, and consistency of our products. That is why we have invested in new production platforms, like recombinant rabbit monoclonals, alpaca nanobodies, and adopted aggressive QA standards to deliver cutting-edge antibodies with uncompromised quality.
We hope to see you at your next discovery!
We hope to see you at your next discovery!
browse more products
questions and comments
