product summary
Loading...
company name :
HUABIO
product type :
antibody
product name :
ULK1
catalog :
ET1704-63-50UL
quantity :
50μl
price :
205.00 USD
clonality :
monoclonal
host :
domestic rabbit
conjugate :
nonconjugated
clone name :
JA58-36
reactivity :
human, mouse, rat
application :
western blot, immunohistochemistry - paraffin section
more info or order :
image
image 1 :

Western blot analysis of ULK1 on different lysates with Rabbit anti-ULK1 antibody (ET1704-63) at 1/5,000 dilution.
Lane 1: A-172 cell lysate (15 µg/Lane)
Lane 2: SH-SY5Y cell lysate (15 µg/Lane)
Lane 3: U-2 OS cell lysate (15 µg/Lane)
Lane 4: MCF7 cell lysate (15 µg/Lane)
Lane 5: Mouse spleen tissue lysate (20 µg/Lane)
Lane 6: Rat spleen tissue lysate (20 µg/Lane)
Predicted band size: 113 kDa
Observed band size: 130 kDa
Exposure time: 1 minute 30 seconds;
4-20% SDS-PAGE gel.
Proteins were transferred to a PVDF membrane and blocked with 5% NFDM/TBST for 1 hour at room temperature. The primary antibody (ET1704-63) at 1/5,000 dilution was used in 5% NFDM/TBST at 4℃ overnight. Goat Anti-Rabbit IgG - HRP Secondary Antibody (HA1001) at 1/50,000 dilution was used for 1 hour at room temperature.
image 2 :

Western blot analysis of ULK1 on different lysates with Rabbit anti-ULK1 antibody (ET1704-63) at 1/5,000 dilution.
Lane 1: HepG2 cell lysate
Lane 2: C2C12 cell lysate
Lane 3: MEF cell lysate
Lane 4: PC-12 cell lysate
Lysates/proteins at 20 µg/Lane.
Predicted band size: 113 kDa
Observed band size: 130 kDa
Exposure time: 6 seconds; ECL: K1801;
4-20% SDS-PAGE gel.
Proteins were transferred to a PVDF membrane and blocked with 5% NFDM/TBST for 1 hour at room temperature. The primary antibody (ET1704-63) at 1/5,000 dilution was used in 5% NFDM/TBST at 4℃ overnight. Goat Anti-Rabbit IgG - HRP Secondary Antibody (HA1001) at 1/50,000 dilution was used for 1 hour at room temperature.
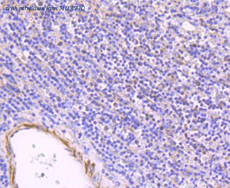
image 3 :

Immunohistochemical analysis of paraffin-embedded human spleen tissue using anti-ULK1 antibody. The section was pre-treated using heat mediated antigen retrieval with Tris-EDTA buffer (pH 8.0-8.4) for 20 minutes.The tissues were blocked in 5% BSA for 30 minutes at room temperature, washed with ddH2O and PBS, and then probed with the primary antibody (ET1704-63, 1/50) for 30 minutes at room temperature. The detection was performed using an HRP conjugated compact polymer system. DAB was used as the chromogen. Tissues were counterstained with hematoxylin and mounted with DPX.
product information
SKU :
ET1704-63-50UL
Target name :
ULK1
Species reactivity :
Human,Mouse,Rat
Applications :
WB,IHC-P
Conjugate :
Non-conjugated
Immunogen :
Synthetic peptide within Human ULK1 aa 930-979 / 1050.
Uniprot id :
O75385>SwissProt: O75385 Human;SwissProt: O70405 Mouse;SwissProt: D3ZMG0 Rat
Host :
Rabbit
Clone number :
JA58-36
Isotype :
IgG
Size :
50μl
List Price :
205.00 USD
Storage Buffer :
1*TBS (pH7.4), 0.05% BSA, 40% Glycerol. Preservative: 0.05% Sodium Azide.
Form :
Liquid
Storage Instruction :
Shipped at 4℃. Store at +4℃ short term (1-2 weeks). It is recommended to aliquot into single-use upon delivery. Store at -20℃ long term.
Purity :
Protein A affinity purified.
Product type :
Recombinant Rabbit monoclonal Antibody
Positive control :
A-172 cell lysate, SH-SY5Y cell lysate, U-2 OS cell lysate, MCF7 cell lysate, mouse spleen tissue lysate, rat spleen tissue lysate, HepG2 cell lysate, C2C12 cell lysate, MEF cell lysate, PC-12 cell lysate, human spleen tissue, rat skeletal muscle tissue, human colon carcinoma tissue, mouse brain tissue.
Molecular wt :
Predicted band size: 113 kDa
Subcellular location :
Cytosol, Preautophagosomal structure.
Concentration :
1 mg/mL.
Recommended dilutions :
WB: 1:5,000
;IHC-P: 1:50-1:200
Pic img4 :
https://storage.huabio.cn/huabio/productImg/ET1704-63_4.jpg
Pic legend4 :
Immunohistochemical analysis of paraffin-embedded rat skeletal muscle tissue using anti-ULK1 antibody. The section was pre-treated using heat mediated antigen retrieval with Tris-EDTA buffer (pH 8.0-8.4) for 20 minutes.The tissues were blocked in 5% BSA for 30 minutes at room temperature, washed with ddH2O and PBS, and then probed with the primary antibody (ET1704-63, 1/50) for 30 minutes at room temperature. The detection was performed using an HRP conjugated compact polymer system. DAB was used as the chromogen. Tissues were counterstained with hematoxylin and mounted with DPX.
Pic img5 :
https://storage.huabio.cn/huabio/productImg/ET1704-63_5.jpg
Pic legend5 :
Immunohistochemical analysis of paraffin-embedded human colon carcinoma tissue using anti-ULK1 antibody. The section was pre-treated using heat mediated antigen retrieval with Tris-EDTA buffer (pH 8.0-8.4) for 20 minutes.The tissues were blocked in 5% BSA for 30 minutes at room temperature, washed with ddH2O and PBS, and then probed with the primary antibody (ET1704-63, 1/50) for 30 minutes at room temperature. The detection was performed using an HRP conjugated compact polymer system. DAB was used as the chromogen. Tissues were counterstained with hematoxylin and mounted with DPX.
Pic img6 :
https://storage.huabio.cn/huabio/productImg/ET1704-63_6.jpg
Pic legend6 :
Immunohistochemical analysis of paraffin-embedded mouse brain tissue using anti-ULK1 antibody. The section was pre-treated using heat mediated antigen retrieval with Tris-EDTA buffer (pH 8.0-8.4) for 20 minutes.The tissues were blocked in 5% BSA for 30 minutes at room temperature, washed with ddH2O and PBS, and then probed with the primary antibody (ET1704-63, 1/50) for 30 minutes at room temperature. The detection was performed using an HRP conjugated compact polymer system. DAB was used as the chromogen. Tissues were counterstained with hematoxylin and mounted with DPX.
more info or order :
company information

HUABIO
Founded in 2007, HUABIO is dedicated to developing high-quality antibodies that advance innovation. We are passionate about the accuracy, efficiency, and consistency of our products. That is why we have invested in new production platforms, like recombinant rabbit monoclonals, alpaca nanobodies, and adopted aggressive QA standards to deliver cutting-edge antibodies with uncompromised quality.
We hope to see you at your next discovery!
We hope to see you at your next discovery!
related products
browse more products
questions and comments
