product summary
Loading...
company name :
HUABIO
product type :
antibody
product name :
smooth muscle Myosin heavy chain 11
catalog :
ET1704-61
quantity :
100μl
price :
385.00 USD
clonality :
monoclonal
host :
domestic rabbit
conjugate :
nonconjugated
clone name :
JA03-35
reactivity :
human, rat
application :
western blot, flow cytometry, immunohistochemistry - paraffin section
more info or order :
image
image 1 :

ICC staining of smooth muscle Myosin heavy chain 11 in Hela cells (green). Formalin fixed cells were permeabilized with 0.1% Triton X-100 in TBS for 10 minutes at room temperature and blocked with 1% Blocker BSA for 15 minutes at room temperature. Cells were probed with the primary antibody (ET1704-61, 1/50) for 1 hour at room temperature, washed with PBS. Alexa Fluor®488 Goat anti-Rabbit IgG was used as the secondary antibody at 1/1,000 dilution. The nuclear counter stain is DAPI (blue).
image 2 :

ICC staining of smooth muscle Myosin heavy chain 11 in 293T cells (green). Formalin fixed cells were permeabilized with 0.1% Triton X-100 in TBS for 10 minutes at room temperature and blocked with 1% Blocker BSA for 15 minutes at room temperature. Cells were probed with the primary antibody (ET1704-61, 1/50) for 1 hour at room temperature, washed with PBS. Alexa Fluor®488 Goat anti-Rabbit IgG was used as the secondary antibody at 1/1,000 dilution. The nuclear counter stain is DAPI (blue).
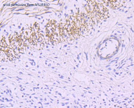
image 3 :

Immunohistochemical analysis of paraffin-embedded human jejunum tissue using anti-smooth muscle Myosin heavy chain 11 antibody. The section was pre-treated using heat mediated antigen retrieval with Tris-EDTA buffer (pH 8.0-8.4) for 20 minutes.The tissues were blocked in 5% BSA for 30 minutes at room temperature, washed with ddH2O and PBS, and then probed with the primary antibody (ET1704-61, 1/50) for 30 minutes at room temperature. The detection was performed using an HRP conjugated compact polymer system. DAB was used as the chromogen. Tissues were counterstained with hematoxylin and mounted with DPX.
product information
SKU :
ET1704-61
Target name :
smooth muscle Myosin heavy chain 11
Species reactivity :
Human,Rat
Applications :
WB,IHC-P,IF-Cell,IF-Tissue,FC
Conjugate :
Non-conjugated
Immunogen :
Synthetic peptide within human smooth muscle Myosin heavy chain 11 aa 1935-1972/1972.
Uniprot id :
P35749>SwissProt: P35749 Human;SwissProt: Q63862 Rat
Host :
Rabbit
Clone number :
JA03-35
Isotype :
IgG
Size :
100μl
List Price :
385.00 USD
Storage Buffer :
1*TBS (pH7.4), 0.05% BSA, 40% Glycerol. Preservative: 0.05% Sodium Azide.
Form :
Liquid
Storage Instruction :
Shipped at 4℃. Store at +4℃ short term (1-2 weeks). It is recommended to aliquot into single-use upon delivery. Store at -20℃ long term.
Purity :
Protein A affinity purified.
Product type :
Recombinant Rabbit monoclonal Antibody
Positive control :
Hela, 293T, human jejunum tissue, rat trachea tissue, human colon tissue, human prostate tissue, human stomach carcinoma tissue.
Molecular wt :
227 kDa
Subcellular location :
Melanosome.
Concentration :
1 mg/mL.
Recommended dilutions :
WB: 1:500
;IF-Cell: 1:50-1:200
;IF-Tissue: 1:50-1:200
;IHC-P: 1:50-1:200
;FC: 1:1,000
Pic img4 :
https://storage.huabio.cn/huabio/productImg/ET1704-61_4.jpg
Pic legend4 :
Immunohistochemical analysis of paraffin-embedded rat trachea tissue using anti-smooth muscle Myosin heavy chain 11 antibody. The section was pre-treated using heat mediated antigen retrieval with Tris-EDTA buffer (pH 8.0-8.4) for 20 minutes.The tissues were blocked in 5% BSA for 30 minutes at room temperature, washed with ddH2O and PBS, and then probed with the primary antibody (ET1704-61, 1/50) for 30 minutes at room temperature. The detection was performed using an HRP conjugated compact polymer system. DAB was used as the chromogen. Tissues were counterstained with hematoxylin and mounted with DPX.
Pic img5 :
https://storage.huabio.cn/huabio/productImg/ET1704-61_5.jpg
Pic legend5 :
Immunohistochemical analysis of paraffin-embedded human colon tissue using anti-smooth muscle Myosin heavy chain 11 antibody. The section was pre-treated using heat mediated antigen retrieval with Tris-EDTA buffer (pH 8.0-8.4) for 20 minutes.The tissues were blocked in 5% BSA for 30 minutes at room temperature, washed with ddH2O and PBS, and then probed with the primary antibody (ET1704-61, 1/50) for 30 minutes at room temperature. The detection was performed using an HRP conjugated compact polymer system. DAB was used as the chromogen. Tissues were counterstained with hematoxylin and mounted with DPX.
Pic img6 :
https://storage.huabio.cn/huabio/productImg/ET1704-61_6.jpg
Pic legend6 :
Immunohistochemical analysis of paraffin-embedded human prostate tissue using anti-smooth muscle Myosin heavy chain 11 antibody. The section was pre-treated using heat mediated antigen retrieval with Tris-EDTA buffer (pH 8.0-8.4) for 20 minutes.The tissues were blocked in 5% BSA for 30 minutes at room temperature, washed with ddH2O and PBS, and then probed with the primary antibody (ET1704-61, 1/50) for 30 minutes at room temperature. The detection was performed using an HRP conjugated compact polymer system. DAB was used as the chromogen. Tissues were counterstained with hematoxylin and mounted with DPX.
Pic img7 :
https://storage.huabio.cn/huabio/productImg/ET1704-61_7.jpg
Pic legend7 :
Immunohistochemical analysis of paraffin-embedded human stomach carcinoma tissue using anti-smooth muscle Myosin heavy chain 11 antibody. The section was pre-treated using heat mediated antigen retrieval with Tris-EDTA buffer (pH 8.0-8.4) for 20 minutes.The tissues were blocked in 5% BSA for 30 minutes at room temperature, washed with ddH2O and PBS, and then probed with the primary antibody (ET1704-61, 1/50) for 30 minutes at room temperature. The detection was performed using an HRP conjugated compact polymer system. DAB was used as the chromogen. Tissues were counterstained with hematoxylin and mounted with DPX.
Pic img8 :
https://storage.huabio.cn/huabio/productImg/ET1704-61_8.jpg
Pic legend8 :
Flow cytometric analysis of 293T cells labeling smooth muscle Myosin heavy chain 11.
Cells were fixed and permeabilized. Then stained with the primary antibody (ET1704-61, 1μg/mL) (red) compared with Rabbit IgG Isotype Control (green). After incubation of the primary antibody at +4℃ for an hour, the cells were stained with a iFluor™ 488 conjugate-Goat anti-Rabbit IgG Secondary antibody (HA1121) at 1/1,000 dilution for 30 minutes at +4℃. Unlabelled sample was used as a control (cells without incubation with primary antibody; black).
more info or order :
company information

HUABIO
Founded in 2007, HUABIO is dedicated to developing high-quality antibodies that advance innovation. We are passionate about the accuracy, efficiency, and consistency of our products. That is why we have invested in new production platforms, like recombinant rabbit monoclonals, alpaca nanobodies, and adopted aggressive QA standards to deliver cutting-edge antibodies with uncompromised quality.
We hope to see you at your next discovery!
We hope to see you at your next discovery!
related products
browse more products
questions and comments
