product summary
Loading...
company name :
HUABIO
product type :
antibody
product name :
FAP
catalog :
ET1704-23-50UL
quantity :
50μl
price :
205.00 USD
clonality :
monoclonal
host :
domestic rabbit
conjugate :
nonconjugated
clone name :
JA56-11
reactivity :
human, mouse, rat
application :
western blot, immunohistochemistry - paraffin section, immunohistochemistry - frozen section
more info or order :
image
image 1 :

Western blot analysis of FAP on U-87 MG cell lysates with Rabbit anti-FAP antibody (ET1704-23) at 1/1,000 dilution.
Lysates/proteins at 20 µg/Lane.
Predicted band size: 88 kDa
Observed band size: 100 kDa
Exposure time: 5 minutes; ECL: K1801;
4-20% SDS-PAGE gel.
Proteins were transferred to a PVDF membrane and blocked with 5% NFDM/TBST for 1 hour at room temperature. The primary antibody (ET1704-23) at 1/1,000 dilution was used in 5% NFDM/TBST at 4℃ overnight. Goat Anti-Rabbit IgG - HRP Secondary Antibody (HA1001) at 1/50,000 dilution was used for 1 hour at room temperature.
image 2 :

Fluorescence multiplex immunohistochemical analysis of the human pancreatic carcinoma (Formalin/PFA-fixed paraffin-embedded sections). Panel A: the merged image of anti-CD31 (M1511-8, green), anti-α-SMA (ET1607-53, red) and anti-FAP (ET1704-23, yellow) on human pancreatic carcinoma. Panel B: anti- CD31 stained on the endothelial cells. Panel C: anti-α-SMA stained on cancer-associated fibroblasts and smooth muscle cells. Panel D: anti-FAP stained on the cancer-associated fibroblasts. HRP Conjugated UltraPolymer Goat Polyclonal Antibody HA1119/HA1120 was used as a secondary antibody. The immunostaining was performed with the Sequential Immuno-staining Kit (IRISKit™MH010101, www.luminiris.cn). The section was incubated in three rounds of staining: in the order of M1511-8 (1/5000 dilution), ET1704-23 (1/1000 dilution), and ET1607-53 (1/3000 dilution) for 20 mins at room temperature. Heat mediated antigen retrieval with Tris-EDTA buffer (pH 9.0) for 30 mins at 95℃. DAPI (blue) was used as a nuclear counter stain. Image acquisition was performed with Nikon ECLIPSE Ni-E microscope.
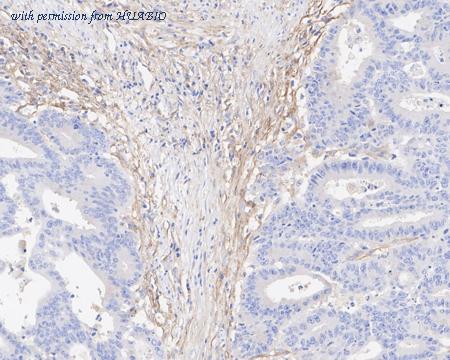
image 3 :

Immunohistochemical analysis of paraffin-embedded human colon cancer tissue with Rabbit anti-FAP antibody (ET1704-23) at 1/1,000 dilution.
The section was pre-treated using heat mediated antigen retrieval with Tris-EDTA buffer (pH 9.0) for 20 minutes. The tissues were blocked in 1% BSA for 20 minutes at room temperature, washed with ddH2O and PBS, and then probed with the primary antibody (ET1704-23) at 1/1,000 dilution for 1 hour at room temperature. The detection was performed using an HRP conjugated compact polymer system. DAB was used as the chromogen. Tissues were counterstained with hematoxylin and mounted with DPX.
product information
SKU :
ET1704-23-50UL
Target name :
FAP
Species reactivity :
Human,Mouse,Rat
Applications :
WB,IHC-P,mIHC,IHC-Fr
Conjugate :
Non-conjugated
Immunogen :
Recombinant protein within Human FAP1 aa 1-160 / 760.
Uniprot id :
Q12884>SwissProt: Q12884 Human;SwissProt: P97321 Mouse;SwissProt: Q8R492 Rat
Host :
Rabbit
Clone number :
JA56-11
Isotype :
IgG
Size :
50μl
List Price :
205.00 USD
Storage Buffer :
1*TBS (pH7.4), 0.05% BSA, 40% Glycerol. Preservative: 0.05% Sodium Azide.
Form :
Liquid
Storage Instruction :
Shipped at 4℃. Store at +4℃ short term (1-2 weeks). It is recommended to aliquot into single-use upon delivery. Store at -20℃ long term.
Purity :
Protein A affinity purified.
Product type :
Recombinant Rabbit monoclonal Antibody
Positive control :
U-87 MG cell lysates, human pancreatic carcinoma, human colon cancer tissue.
Molecular wt :
Predicted band size: 88 kDa
Subcellular location :
Cell membrane. Cell surface.
Concentration :
1 mg/mL.
Recommended dilutions :
WB: 1:1,000
;IHC-P: 1:1,000
;mIHC: 1:3,000
;IHC-Fr: 1:200
Pic img4 :
https://storage.huabio.cn/huabio/productImg/ET1704-23_4.jpg
Pic legend4 :
Immunofluorescence analysis of frozen mouse colon tissue with Rabbit anti-FAP antibody (ET1704-23) at 1/200 dilution.
The section was pre-treated using heat mediated antigen retrieval with sodium citrate buffer (pH 6.0) for about 2 minutes in microwave oven. The tissues were blocked in 10% negative goat serum for 1 hour at room temperature, washed with PBS, and then probed with the primary antibody (ET1704-23, green) at 1/500 dilution overnight at 4 ℃, washed with PBS. Goat Anti-Rabbit IgG H&L (iFluor™ 488, HA1121) was used as the secondary antibody at 1/1,000 dilution. Nuclei were counterstained with DAPI (blue).
Pic img5 :
https://storage.huabio.cn/huabio/productImg/ET1704-23_5.jpg
Pic legend5 :
Immunofluorescence analysis of frozen rat colon tissue with Rabbit anti-FAP antibody (ET1704-23) at 1/200 dilution.
The section was pre-treated using heat mediated antigen retrieval with sodium citrate buffer (pH 6.0) for about 2 minutes in microwave oven. The tissues were blocked in 10% negative goat serum for 1 hour at room temperature, washed with PBS, and then probed with the primary antibody (ET1704-23, green) at 1/500 dilution overnight at 4 ℃, washed with PBS. Goat Anti-Rabbit IgG H&L (iFluor™ 488, HA1121) was used as the secondary antibody at 1/1,000 dilution. Nuclei were counterstained with DAPI (blue).
more info or order :
company information

HUABIO
Founded in 2007, HUABIO is dedicated to developing high-quality antibodies that advance innovation. We are passionate about the accuracy, efficiency, and consistency of our products. That is why we have invested in new production platforms, like recombinant rabbit monoclonals, alpaca nanobodies, and adopted aggressive QA standards to deliver cutting-edge antibodies with uncompromised quality.
We hope to see you at your next discovery!
We hope to see you at your next discovery!
related products
browse more products
questions and comments
