product summary
Loading...
company name :
HUABIO
product type :
antibody
product name :
ADFP / PLIN2
catalog :
ET1704-17
quantity :
100μl
price :
385.00 USD
clonality :
monoclonal
host :
domestic rabbit
conjugate :
nonconjugated
clone name :
JA31-81
reactivity :
human, mouse, rat
application :
western blot, flow cytometry, immunohistochemistry - paraffin section
more info or order :
image
image 1 :

Western blot analysis of ADFP / PLIN2 on different lysates with Rabbit anti-ADFP / PLIN2 antibody (ET1704-17) at 1/1,000 dilution.
Lane 1: HepG2 cell lysate
Lane 2: JAR cell lysate
Lane 3: Human liver tissue lysate
Lysates/proteins at 40 µg/Lane.
Predicted band size: 48 kDa
Observed band size: 45 kDa
Exposure time: 1 minute 2 seconds; ECL: K1802;
4-20% SDS-PAGE gel.
Proteins were transferred to a PVDF membrane and blocked with 5% NFDM/TBST for 1 hour at room temperature. The primary antibody (ET1704-17) at 1/1,000 dilution was used in 5% NFDM/TBST at 4℃ overnight. Goat Anti-Rabbit IgG - HRP Secondary Antibody (HA1001) at 1/50,000 dilution was used for 1 hour at room temperature.
image 2 :

Western blot analysis of ADFP / PLIN2 on different lysates with Rabbit anti-ADFP / PLIN2 antibody (ET1704-17) at 1/2,000 dilution.
Lane 1: HAP1-parental cell lysate
Lane 2: HAP1-ADFP / PLIN2 KD cell lysate
Lysates/proteins at 10 µg/Lane.
Predicted band size: 48 kDa
Observed band size: 48 kDa
Exposure time: 3 minutes; ECL: K1801;
4-20% SDS-PAGE gel.
Proteins were transferred to a PVDF membrane and blocked with 5% NFDM/TBST for 1 hour at room temperature. The primary antibody (ET1704-17) at 1/2,000 dilution was used in primary antibody dilution (K1803) at 4℃ overnight. Goat Anti-Rabbit IgG - HRP Secondary Antibody (HA1001) at 1/50,000 dilution was used for 1 hour at room temperature.
image 3 :

Immunocytochemistry analysis of HeLa cells labeling ADFP / PLIN2 with Rabbit anti-ADFP / PLIN2 antibody (ET1704-17) at 1/50 dilution.
Cells were fixed in 4% paraformaldehyde for 10 minutes at 37 ℃, permeabilized with 0.05% Triton X-100 in PBS for 20 minutes, and then blocked with 2% negative goat serum for 30 minutes at room temperature. Cells were then incubated with Rabbit anti-ADFP / PLIN2 antibody (ET1704-17) at 1/50 dilution in 2% negative goat serum overnight at 4 ℃. Goat Anti-Rabbit IgG H&L (iFluor™ 488, HA1121) was used as the secondary antibody at 1/1,000 dilution. PBS instead of the primary antibody was used as the secondary antibody only control. Nuclear DNA was labelled in blue with DAPI.
product information
SKU :
ET1704-17
Target name :
ADFP / PLIN2
Species reactivity :
Human,Mouse,Rat
Applications :
WB,IF-Cell,IF-Tissue,FC,IHC-P
Conjugate :
Non-conjugated
Immunogen :
Synthetic peptide within Human ADFP aa 18-67 / 437.
Uniprot id :
Q99541>SwissProt: Q99541 Human;SwissProt: P43883 Mouse;Entrez Gene: 298199 Rat
Host :
Rabbit
Clone number :
JA31-81
Isotype :
IgG
Size :
100μl
List Price :
385.00 USD
Storage Buffer :
1*TBS (pH7.4), 0.05% BSA, 40% Glycerol. Preservative: 0.05% Sodium Azide.
Form :
Liquid
Storage Instruction :
Shipped at 4℃. Store at +4℃ short term (1-2 weeks). It is recommended to aliquot into single-use upon delivery. Store at -20℃ long term.
Purity :
Protein A affinity purified.
Product type :
Recombinant Rabbit monoclonal Antibody
Positive control :
HepG2 cell lysate, JAR cell lysate, Human liver tissue lysate, HeLa, human liver tissue, human liver carcinoma tissue, human stomach tissue.
Molecular wt :
Predicted band size: 48 kDa
Subcellular location :
Membrane
Concentration :
1 mg/mL.
Recommended dilutions :
WB: 1:1,000
;IF-Cell: 1:50-1:200
;IF-Tissue: 1:50-1:200
;FC: 1:1,000
;IHC-P: 1:100
Advanced Validation :
Knockdown (KD)
Pic img4 :
https://storage.huabio.cn/huabio/productImg/ET1704-17_4.jpg
Pic legend4 :
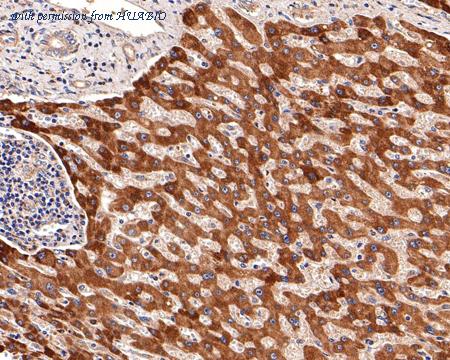
Immunohistochemical analysis of paraffin-embedded human liver tissue with Rabbit anti-ADFP / PLIN2 antibody (ET1704-17) at 1/100 dilution.
The section was pre-treated using heat mediated antigen retrieval with Tris-EDTA buffer (pH 9.0) for 20 minutes. The tissues were blocked in 1% BSA for 20 minutes at room temperature, washed with ddH2O and PBS, and then probed with the primary antibody (ET1704-17) at 1/100 dilution for 1 hour at room temperature. The detection was performed using an HRP conjugated compact polymer system. DAB was used as the chromogen. Tissues were counterstained with hematoxylin and mounted with DPX.
Pic img5 :
https://storage.huabio.cn/huabio/productImg/ET1704-17_5.jpg
Pic legend5 :
Immunohistochemical analysis of paraffin-embedded human liver carcinoma tissue with Rabbit anti-ADFP / PLIN2 antibody (ET1704-17) at 1/100 dilution.
The section was pre-treated using heat mediated antigen retrieval with Tris-EDTA buffer (pH 9.0) for 20 minutes. The tissues were blocked in 1% BSA for 20 minutes at room temperature, washed with ddH2O and PBS, and then probed with the primary antibody (ET1704-17) at 1/100 dilution for 1 hour at room temperature. The detection was performed using an HRP conjugated compact polymer system. DAB was used as the chromogen. Tissues were counterstained with hematoxylin and mounted with DPX.
Pic img6 :
https://storage.huabio.cn/huabio/productImg/ET1704-17_6.jpg
Pic legend6 :
Immunohistochemical analysis of paraffin-embedded human stomach tissue with Rabbit anti-ADFP / PLIN2 antibody (ET1704-17) at 1/100 dilution.
The section was pre-treated using heat mediated antigen retrieval with Tris-EDTA buffer (pH 9.0) for 20 minutes. The tissues were blocked in 1% BSA for 20 minutes at room temperature, washed with ddH2O and PBS, and then probed with the primary antibody (ET1704-17) at 1/100 dilution for 1 hour at room temperature. The detection was performed using an HRP conjugated compact polymer system. DAB was used as the chromogen. Tissues were counterstained with hematoxylin and mounted with DPX.
Pic img7 :
https://storage.huabio.cn/huabio/productImg/ET1704-17_7.jpg
Pic legend7 :
Flow cytometric analysis of HeLa cells labeling ADFP / PLIN2.
Cells were fixed and permeabilized. Then stained with the primary antibody (ET1704-17, 1μg/mL) (red) compared with Rabbit IgG Isotype Control (green). After incubation of the primary antibody at +4℃ for an hour, the cells were stained with a iFluor™ 488 conjugate-Goat anti-Rabbit IgG Secondary antibody (HA1121) at 1/1,000 dilution for 30 minutes at +4℃. Unlabelled sample was used as a control (cells without incubation with primary antibody; black).
more info or order :
company information

HUABIO
Founded in 2007, HUABIO is dedicated to developing high-quality antibodies that advance innovation. We are passionate about the accuracy, efficiency, and consistency of our products. That is why we have invested in new production platforms, like recombinant rabbit monoclonals, alpaca nanobodies, and adopted aggressive QA standards to deliver cutting-edge antibodies with uncompromised quality.
We hope to see you at your next discovery!
We hope to see you at your next discovery!
related products
browse more products
questions and comments
