product summary
Loading...
company name :
HUABIO
product type :
antibody
product name :
NFAT1
catalog :
ET1704-14
quantity :
100μl
price :
385.00 USD
clonality :
monoclonal
host :
domestic rabbit
conjugate :
nonconjugated
clone name :
JA11-08
reactivity :
human
application :
western blot, immunohistochemistry - paraffin section
more info or order :
image
image 1 :

Western blot analysis of NFAT1 on different lysates with Rabbit anti-NFAT1 antibody (ET1704-14) at 1/1,000 dilution.
Lane 1: Jurkat cell lysate
Lane 2: Ramos cell lysate
Lane 3: Raji cell lysate
Lane 4: Daudi cell lysate
Lane 5: HeLa cell lysate (negative)
Lysates/proteins at 30 µg/Lane.
Predicted band size: 100 kDa
Observed band size: 120/140 kDa
Exposure time: 10 seconds; ECL: K1801;
4-20% SDS-PAGE gel.
Proteins were transferred to a PVDF membrane and blocked with 5% NFDM/TBST for 1 hour at room temperature. The primary antibody (ET1704-14) at 1/1,000 dilution was used in 5% NFDM/TBST at 4℃ overnight. Goat Anti-Rabbit IgG - HRP Secondary Antibody (HA1001) at 1/50,000 dilution was used for 1 hour at room temperature.
image 2 :

Immunohistochemical analysis of paraffin-embedded human spleen tissue with Rabbit anti-NFAT1 antibody (ET1704-14) at 1/1,000 dilution.
The section was pre-treated using heat mediated antigen retrieval with sodium citrate buffer (pH 6.0) (high pressure) for 2 minutes. The tissues were blocked in 1% BSA for 20 minutes at room temperature, washed with ddH2O and PBS, and then probed with the primary antibody (ET1704-14) at 1/1,000 dilution for 1 hour at room temperature. The detection was performed using an HRP conjugated compact polymer system. DAB was used as the chromogen. Tissues were counterstained with hematoxylin and mounted with DPX.
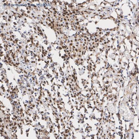
image 3 :

Immunohistochemical analysis of paraffin-embedded human NK-T-cell lymphoma tissue with Rabbit anti-NFAT1 antibody (ET1704-14) at 1/1,000 dilution.
The section was pre-treated using heat mediated antigen retrieval with sodium citrate buffer (pH 6.0) (high pressure) for 2 minutes. The tissues were blocked in 1% BSA for 20 minutes at room temperature, washed with ddH2O and PBS, and then probed with the primary antibody (ET1704-14) at 1/1,000 dilution for 1 hour at room temperature. The detection was performed using an HRP conjugated compact polymer system. DAB was used as the chromogen. Tissues were counterstained with hematoxylin and mounted with DPX.
product information
SKU :
ET1704-14
Target name :
NFAT1
Species reactivity :
Human
Applications :
WB,IF-Tissue,IHC-P
Conjugate :
Non-conjugated
Immunogen :
Synthetic peptide within Human NFAT1 aa 21-70 / 925.
Uniprot id :
Q13469>SwissProt: Q13469 Human
Host :
Rabbit
Clone number :
JA11-08
Isotype :
IgG
Size :
100μl
List Price :
385.00 USD
Storage Buffer :
1*TBS (pH7.4), 0.05% BSA, 40% Glycerol. Preservative: 0.05% Sodium Azide.
Form :
Liquid
Storage Instruction :
Shipped at 4℃. Store at +4℃ short term (1-2 weeks). It is recommended to aliquot into single-use upon delivery. Store at -20℃ long term.
Purity :
Protein A affinity purified.
Product type :
Recombinant Rabbit monoclonal Antibody
Positive control :
Jurkat cell lysate, Ramos cell lysate, Raji cell lysate, Daudi cell lysate, human spleen tissue, human NK-T-cell lymphoma tissue, human colon cancer tissue.
Molecular wt :
Predicted band size: 100 kDa
Subcellular location :
Cytoplasm. Nucleus.
Concentration :
1 mg/mL.
Recommended dilutions :
WB: 1:1,000
;IF-Tissue: 1:50-1:200
;IHC-P: 1:1,000
Advanced Validation :
Relative expression (RE)
Pic img4 :
https://storage.huabio.cn/huabio/productImg/ET1704-14_4.jpg
Pic legend4 :
Immunohistochemical analysis of paraffin-embedded human colon cancer tissue with Rabbit anti-NFAT1 antibody (ET1704-14) at 1/1,000 dilution.
The section was pre-treated using heat mediated antigen retrieval with sodium citrate buffer (pH 6.0) (high pressure) for 2 minutes. The tissues were blocked in 1% BSA for 20 minutes at room temperature, washed with ddH2O and PBS, and then probed with the primary antibody (ET1704-14) at 1/1,000 dilution for 1 hour at room temperature. The detection was performed using an HRP conjugated compact polymer system. DAB was used as the chromogen. Tissues were counterstained with hematoxylin and mounted with DPX.
more info or order :
company information

HUABIO
Founded in 2007, HUABIO is dedicated to developing high-quality antibodies that advance innovation. We are passionate about the accuracy, efficiency, and consistency of our products. That is why we have invested in new production platforms, like recombinant rabbit monoclonals, alpaca nanobodies, and adopted aggressive QA standards to deliver cutting-edge antibodies with uncompromised quality.
We hope to see you at your next discovery!
We hope to see you at your next discovery!
related products
browse more products
questions and comments
