product summary
Loading...
company name :
HUABIO
product type :
antibody
product name :
PDIA3 / ERp57
catalog :
ET1703-68
quantity :
100μl
price :
385.00 USD
clonality :
monoclonal
host :
domestic rabbit
conjugate :
nonconjugated
clone name :
JM11-44
reactivity :
human
application :
western blot, immunoprecipitation, immunohistochemistry - paraffin section
more info or order :
image
image 1 :

Western blot analysis of PDIA3 / ERp57 on different lysates with Rabbit anti-PDIA3 / ERp57 antibody (ET1703-68) at 1/1,000 dilution.
Lane 1: HepG2 cell lysate
Lane 2: LNCaP cell lysate
Lysates/proteins at 10 µg/Lane.
Predicted band size: 57 kDa
Observed band size: 57 kDa
Exposure time: 15 seconds;
4-20% SDS-PAGE gel.
Proteins were transferred to a PVDF membrane and blocked with 5% NFDM/TBST for 1 hour at room temperature. The primary antibody (ET1703-68) at 1/1,000 dilution was used in 5% NFDM/TBST at 4℃ overnight. Goat Anti-Rabbit IgG - HRP Secondary Antibody (HA1001) at 1/50,000 dilution was used for 1 hour at room temperature.
image 2 :

Western blot analysis of PDIA3 / ERp57 on different lysates with Rabbit anti-PDIA3 / ERp57 antibody (ET1703-68) at 1/2,000 dilution.
Lane 1: HAP1-parental cell lysate
Lane 2: HAP1-PDIA3 / ERp57 KD cell lysate
Lysates/proteins at 10 µg/Lane.
Predicted band size: 57 kDa
Observed band size: 50 kDa
Exposure time: 21 seconds; ECL: K1801;
4-20% SDS-PAGE gel.
Proteins were transferred to a PVDF membrane and blocked with 5% NFDM/TBST for 1 hour at room temperature. The primary antibody (ET1703-68) at 1/2,000 dilution was used in primary antibody dilution (K1803) at 4℃ overnight. Goat Anti-Rabbit IgG - HRP Secondary Antibody (HA1001) at 1/50,000 dilution was used for 1 hour at room temperature.
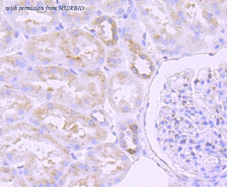
image 3 :

Immunohistochemical analysis of paraffin-embedded human kidney tissue using anti-ERp57 antibody. Counter stained with hematoxylin.
product information
SKU :
ET1703-68
Target name :
PDIA3 / ERp57
Species reactivity :
Human
Applications :
WB,IP,IHC-P
Conjugate :
Non-conjugated
Immunogen :
Synthetic peptide within Human PDIA3 aa 175-208 / 505.
Uniprot id :
P30101>SwissProt: P30101 Human
Host :
Rabbit
Clone number :
JM11-44
Isotype :
IgG
Size :
100μl
List Price :
385.00 USD
Storage Buffer :
1*TBS (pH7.4), 0.05% BSA, 40% Glycerol. Preservative: 0.05% Sodium Azide.
Form :
Liquid
Storage Instruction :
Shipped at 4℃. Store at +4℃ short term (1-2 weeks). It is recommended to aliquot into single-use upon delivery. Store at -20℃ long term.
Purity :
Protein A affinity purified.
Product type :
Recombinant Rabbit monoclonal Antibody
Positive control :
HepG2 cell lysate, LNCaP cell lysate, human kidney tissue, human pancreas tissue, human uterus tissue.
Molecular wt :
Predicted band size: 57 kDa
Subcellular location :
Endoplasmic reticulum lumen. Melanosome.
Concentration :
1 mg/mL.
Recommended dilutions :
WB: 1:1,000
;IHC-P: 1:50-1:200
;IP: 1:10-1:50
Advanced Validation :
Knockdown (KD)
Pic img4 :
https://storage.huabio.cn/huabio/productImg/ET1703-68_4.jpg
Pic legend4 :
Immunohistochemical analysis of paraffin-embedded human pancreas tissue using anti-ERp57 antibody. Counter stained with hematoxylin.
Pic img5 :
https://storage.huabio.cn/huabio/productImg/ET1703-68_5.jpg
Pic legend5 :
Immunohistochemical analysis of paraffin-embedded human uterus tissue using anti-ERp57 antibody. Counter stained with hematoxylin.
more info or order :
company information

HUABIO
Founded in 2007, HUABIO is dedicated to developing high-quality antibodies that advance innovation. We are passionate about the accuracy, efficiency, and consistency of our products. That is why we have invested in new production platforms, like recombinant rabbit monoclonals, alpaca nanobodies, and adopted aggressive QA standards to deliver cutting-edge antibodies with uncompromised quality.
We hope to see you at your next discovery!
We hope to see you at your next discovery!
related products
browse more products
questions and comments
