product summary
Loading...
company name :
HUABIO
product type :
antibody
product name :
LY6A
catalog :
ET1703-67
quantity :
100μl
price :
385.00 USD
clonality :
monoclonal
host :
domestic rabbit
conjugate :
nonconjugated
clone name :
JM53-11
reactivity :
mouse
application :
western blot, immunohistochemistry - paraffin section
more info or order :
image
image 1 :

Western blot analysis of LY6A on mouse brain cells lysates using anti-LY6A antibody at 1/500 dilution.
image 2 :

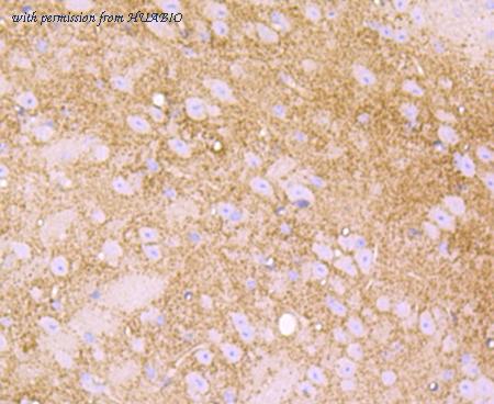
Immunohistochemical analysis of paraffin-embedded mouse brain tissue using anti-LY6A antibody. Counter stained with hematoxylin.
image 3 :

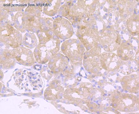
Immunohistochemical analysis of paraffin-embedded mouse kidney tissue using anti-LY6A antibody. Counter stained with hematoxylin.
product information
SKU :
ET1703-67
Target name :
LY6A
Species reactivity :
Mouse
Applications :
WB,IHC-P
Conjugate :
Non-conjugated
Immunogen :
Synthetic peptide within Mouse LY6A aa 41-90 / 134.
Uniprot id :
P05533>SwissProt: P05533 Mouse
Host :
Rabbit
Clone number :
JM53-11
Isotype :
IgG
Size :
100μl
List Price :
385.00 USD
Storage Buffer :
1*TBS (pH7.4), 0.05% BSA, 40% Glycerol. Preservative: 0.05% Sodium Azide.
Form :
Liquid
Storage Instruction :
Shipped at 4℃. Store at +4℃ short term (1-2 weeks). It is recommended to aliquot into single-use upon delivery. Store at -20℃ long term.
Purity :
Protein A affinity purified.
Product type :
Recombinant Rabbit monoclonal Antibody
Positive control :
Mouse brain tissue, mouse kidney tissue.
Molecular wt :
Predicted band size: 14 kDa
Subcellular location :
Cell membrane
Concentration :
1 mg/mL.
Recommended dilutions :
WB: 1:1,000-1:5,000
;IHC-P: 1:50-1:200
more info or order :
company information

HUABIO
Founded in 2007, HUABIO is dedicated to developing high-quality antibodies that advance innovation. We are passionate about the accuracy, efficiency, and consistency of our products. That is why we have invested in new production platforms, like recombinant rabbit monoclonals, alpaca nanobodies, and adopted aggressive QA standards to deliver cutting-edge antibodies with uncompromised quality.
We hope to see you at your next discovery!
We hope to see you at your next discovery!
related products
browse more products
questions and comments
