product summary
Loading...
company name :
HUABIO
product type :
antibody
product name :
58K Golgi protein
catalog :
ET1702-80
quantity :
100μl
price :
385.00 USD
clonality :
monoclonal
host :
domestic rabbit
conjugate :
nonconjugated
clone name :
JF099-5
reactivity :
human
application :
western blot, flow cytometry, immunohistochemistry - paraffin section
more info or order :
image
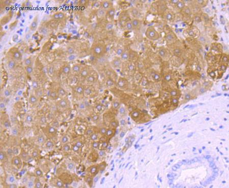
image 1 :

Immunohistochemical analysis of paraffin-embedded human liver tissue using anti-58K Golgi protein antibody. Counter stained with hematoxylin.
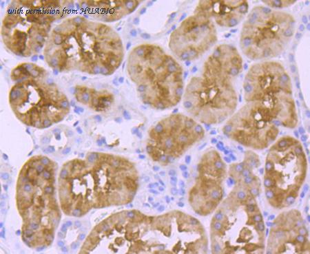
image 2 :

Immunohistochemical analysis of paraffin-embedded human kidney tissue using anti-58K Golgi protein antibody. Counter stained with hematoxylin.
image 3 :

Flow cytometric analysis of HepG2 cells with 58K Golgi protein antibody at 1/50 dilution (red) compared with an unlabelled control (cells without incubation with primary antibody; black). Alexa Fluor 488-conjugated goat anti rabbit IgG was used as the secondary antibody
product information
SKU :
ET1702-80
Target name :
58K Golgi protein
Species reactivity :
Human
Applications :
WB,IHC-P,FC
Conjugate :
Non-conjugated
Immunogen :
Synthetic peptide within Human 58K Golgi protein aa 51-100 / 541.
Uniprot id :
O95954>SwissProt: O95954 Human
Host :
Rabbit
Clone number :
JF099-5
Isotype :
IgG
Size :
100μl
List Price :
385.00 USD
Storage Buffer :
1*TBS (pH7.4), 0.05% BSA, 40% Glycerol. Preservative: 0.05% Sodium Azide.
Form :
Liquid
Storage Instruction :
Shipped at 4℃. Store at +4℃ short term (1-2 weeks). It is recommended to aliquot into single-use upon delivery. Store at -20℃ long term.
Purity :
Protein A affinity purified.
Product type :
Recombinant Rabbit monoclonal Antibody
Positive control :
Human liver tissue, human kidney tissue.
Molecular wt :
59 kDa
Subcellular location :
Cytoplasm, Golgi apparatus.
Concentration :
1 mg/mL.
Recommended dilutions :
WB: 1:500-1:1,000
;FC: 1:50-1:100
;IHC-P: 1:50-1:200
more info or order :
company information

HUABIO
Founded in 2007, HUABIO is dedicated to developing high-quality antibodies that advance innovation. We are passionate about the accuracy, efficiency, and consistency of our products. That is why we have invested in new production platforms, like recombinant rabbit monoclonals, alpaca nanobodies, and adopted aggressive QA standards to deliver cutting-edge antibodies with uncompromised quality.
We hope to see you at your next discovery!
We hope to see you at your next discovery!
browse more products
questions and comments
