product summary
Loading...
company name :
HUABIO
product type :
antibody
product name :
S100A9
catalog :
ET1702-73
quantity :
100μl
price :
385.00 USD
clonality :
monoclonal
host :
domestic rabbit
conjugate :
nonconjugated
clone name :
JF096-8
reactivity :
human
application :
western blot, immunohistochemistry - paraffin section
more info or order :
image
image 1 :

Fluorescence multiplex immunohistochemical analysis of the human cervical cancer (Formalin/PFA-fixed paraffin-embedded sections). Panel A: the merged image of anti-CD14 (ET1610-85, red), anti-S100A9 (ET1702-73, green), anti-CD68 (HA601115, cyan), anti-panCK (HA601138, magenta) and anti-CD163 (ET1704-43, yellow) on human cervical cancer. Panel B: anti- CD14 stained on monocyte and MDSCs. Panel C: anti-S100A9 stained on MDSCs. Panel D: anti-CD68 stained on macrophage M1 and macrophage M2. Panel E: anti-panCK stained on tumor cells. Panel F: anti-CD163 stained on macrophage M2. HRP Conjugated UltraPolymer Goat Polyclonal Antibody HA1119/HA1120 was used as a secondary antibody. The immunostaining was performed with the Sequential Immuno-staining Kit (IRISKit™MH010101, www.luminiris.cn). The section was incubated in five rounds of staining: in the order of ET1610-85 (1/1,000 dilution), ET1702-73 (1/1,000 dilution), HA601115 (1/2,000 dilution), HA601138 (1/3,000 dilution), and ET1704-43 (1/2,000 dilution) for 20 mins at room temperature. Each round was followed by a separate fluorescent tyramide signal amplification system. Heat mediated antigen retrieval with Tris-EDTA buffer (pH 9.0) for 30 mins at 95℃. DAPI (blue) was used as a nuclear counter stain. Image acquisition was performed with Olympus VS200 Slide Scanner.
image 2 :

Fluorescence multiplex immunohistochemical analysis of human cervical carcinoma (Formalin/PFA-fixed paraffin-embedded sections). Panel A: the merged image of anti-S100A9 (ET1702-73, White), anti-CD117 (HA721154, Red) and anti-CD163(ET1704-43, Yellow) on human cervical carcinoma. HRP Conjugated UltraPolymer Goat Polyclonal Antibody HA1119/HA1120 was used as a secondary antibody. The immunostaining was performed with the Sequential Immuno-staining Kit (IRISKit™MH010101, www.luminiris.cn). The section was incubated in three rounds of staining: in the order of ET1702-73 (1/1,000 dilution), HA721154 (1/1,000 dilution) and ET1704-43 (1/2,000 dilution) for 20 mins at room temperature. Each round was followed by a separate fluorescent tyramide signal amplification system. Heat mediated antigen retrieval with Tris-EDTA buffer (pH 9.0) for 30 mins at 95℃. DAPI (blue) was used as a nuclear counter stain. Image acquisition was performed with Zeiss Observer 7 Inverted Fluorescence Microscope.
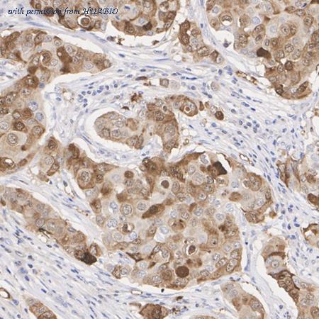
image 3 :

Immunohistochemical analysis of paraffin-embedded human breast cancer tissue with Rabbit anti-S100A9 antibody (ET1702-73) at 1/1,000 dilution.
The section was pre-treated using heat mediated antigen retrieval with Tris-EDTA buffer (pH 9.0) for 20 minutes. The tissues were blocked in 1% BSA for 20 minutes at room temperature, washed with ddH2O and PBS, and then probed with the primary antibody (ET1702-73) at 1/1,000 dilution for 1 hour at room temperature. The detection was performed using an HRP conjugated compact polymer system. DAB was used as the chromogen. Tissues were counterstained with hematoxylin and mounted with DPX.
product information
SKU :
ET1702-73
Target name :
S100A9
Species reactivity :
Human
Applications :
WB,IF-Tissue,IHC-P,mIHC
Conjugate :
Non-conjugated
Immunogen :
Synthetic peptide within Human S100A9 aa 1-42 / 114.
Uniprot id :
P06702>SwissProt: P06702 Human
Host :
Rabbit
Clone number :
JF096-8
Isotype :
IgG
Size :
100μl
List Price :
385.00 USD
Storage Buffer :
1*TBS (pH7.4), 0.05% BSA, 40% Glycerol. Preservative: 0.05% Sodium Azide.
Form :
Liquid
Storage Instruction :
Shipped at 4℃. Store at +4℃ short term (1-2 weeks). It is recommended to aliquot into single-use upon delivery. Store at -20℃ long term.
Purity :
Protein A affinity purified.
Product type :
Recombinant Rabbit monoclonal Antibody
Positive control :
Human cervical cancer, human breast cancer tissue, human spleen tissue.
Molecular wt :
Predicted band size: 13 kDa
Subcellular location :
Secreted, Cytoplasm, Cell membrane.
Concentration :
1 mg/mL.
Recommended dilutions :
WB: 1:1,000
;IF-Tissue: 1:50-1:200
;IHC-P: 1:1,000-1:8,000
;mIHC: 1:1,000
Pic img4 :
https://storage.huabio.cn/huabio/productImg/ET1702-73_4.jpg
Pic legend4 :
Immunohistochemical analysis of paraffin-embedded human spleen tissue with Rabbit anti-S100A9 antibody (ET1702-73) at 1/8,000 dilution.
The section was pre-treated using heat mediated antigen retrieval with Tris-EDTA buffer (pH 9.0) for 20 minutes. The tissues were blocked in 1% BSA for 20 minutes at room temperature, washed with ddH2O and PBS, and then probed with the primary antibody (ET1702-73) at 1/8,000 dilution for 1 hour at room temperature. The detection was performed using an HRP conjugated compact polymer system. DAB was used as the chromogen. Tissues were counterstained with hematoxylin and mounted with DPX.
more info or order :
company information

HUABIO
Founded in 2007, HUABIO is dedicated to developing high-quality antibodies that advance innovation. We are passionate about the accuracy, efficiency, and consistency of our products. That is why we have invested in new production platforms, like recombinant rabbit monoclonals, alpaca nanobodies, and adopted aggressive QA standards to deliver cutting-edge antibodies with uncompromised quality.
We hope to see you at your next discovery!
We hope to see you at your next discovery!
related products
browse more products
questions and comments
