product summary
Loading...
company name :
HUABIO
product type :
antibody
product name :
Cardiac Troponin I
catalog :
ET1702-37
quantity :
100μl
price :
385.00 USD
clonality :
monoclonal
host :
domestic rabbit
conjugate :
nonconjugated
clone name :
JF0550
reactivity :
human, rat
application :
western blot, immunoprecipitation, immunohistochemistry - paraffin section
more info or order :
image
image 1 :

Western blot analysis of Cardiac Troponin I on different lysates with Rabbit anti-Cardiac Troponin I antibody (ET1702-37) at 1/2,000 dilution.
Lane 1: Rat heart tissue lysate
Lane 2: Rat skeletal muscle tissue lysate (negative)
Lysates/proteins at 30 µg/Lane.
Predicted band size: 24 kDa
Observed band size: 30 kDa
Exposure time: 3 minutes;
4-20% SDS-PAGE gel.
Proteins were transferred to a PVDF membrane and blocked with 5% NFDM/TBST for 1 hour at room temperature. The primary antibody (ET1702-37) at 1/2,000 dilution was used in 5% NFDM/TBST at 4℃ overnight. Goat Anti-Rabbit IgG - HRP Secondary Antibody (HA1001) at 1/50,000 dilution was used for 1 hour at room temperature.
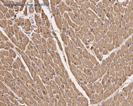
image 2 :

Immunohistochemical analysis of paraffin-embedded human heart tissue with Rabbit anti-Cardiac Troponin I antibody (ET1702-37) at 1/1,000 dilution.
The section was pre-treated using heat mediated antigen retrieval with Tris-EDTA buffer (pH 9.0) for 20 minutes. The tissues were blocked in 1% BSA for 20 minutes at room temperature, washed with ddH2O and PBS, and then probed with the primary antibody (ET1702-37) at 1/1,000 dilution for 1 hour at room temperature. The detection was performed using an HRP conjugated compact polymer system. DAB was used as the chromogen. Tissues were counterstained with hematoxylin and mounted with DPX.
image 3 :

Immunofluorescence analysis of paraffin-embedded human heart tissue labeling Cardiac Troponin I with Rabbit anti-Cardiac Troponin I antibody (ET1702-37) at 1/200 dilution.
The section was pre-treated using heat mediated antigen retrieval with Tris-EDTA buffer (pH 9.0) for 20 minutes. The tissues were blocked in 10% negative goat serum for 1 hour at room temperature, washed with PBS, and then probed with the primary antibody (ET1702-37, green) at 1/200 dilution overnight at 4 ℃, washed with PBS. Goat Anti-Rabbit IgG H&L (iFluor™ 488, HA1121) was used as the secondary antibody at 1/1,000 dilution. Nuclei were counterstained with DAPI (blue).
product information
SKU :
ET1702-37
Target name :
Cardiac Troponin I
Species reactivity :
Human,Rat
Applications :
WB,IF-Cell,IF-Tissue,IHC-P,IP
Conjugate :
Non-conjugated
Immunogen :
Recombinant protein within Human Cardiac Troponin I aa 1-47 / 210.
Uniprot id :
P19429>SwissProt: P19429 Human;SwissProt: P23693 Rat
Host :
Rabbit
Clone number :
JF0550
Isotype :
IgG
Size :
100μl
List Price :
385.00 USD
Storage Buffer :
1*TBS (pH7.4), 0.05% BSA, 40% Glycerol. Preservative: 0.05% Sodium Azide.
Form :
Liquid
Storage Instruction :
Shipped at 4℃. Store at +4℃ short term (1-2 weeks). It is recommended to aliquot into single-use upon delivery. Store at -20℃ long term.
Purity :
Protein A affinity purified.
Product type :
Recombinant Rabbit monoclonal Antibody
Positive control :
Rat heart tissue lysate, human heart tissue, HepG2.
Molecular wt :
Predicted band size: 24 kDa
Subcellular location :
Cytosol
Concentration :
1 mg/mL.
Recommended dilutions :
WB: 1:2,000
;IF-Cell: 1:50-1:200
;IF-Tissue: 1:200
;IHC-P: 1:1,000
Advanced Validation :
Relative expression (RE)
Pic img4 :
https://storage.huabio.cn/huabio/productImg/ET1702-37_4.jpg
Pic legend4 :
ICC staining of Cardiac Troponin I in HepG2 cells (green). Formalin fixed cells were permeabilized with 0.1% Triton X-100 in TBS for 10 minutes at room temperature and blocked with 10% negative goat serum for 15 minutes at room temperature. Cells were probed with the primary antibody (ET1702-37, 1/50) for 1 hour at room temperature, washed with PBS. Alexa Fluor®488 conjugate-Goat anti-Rabbit IgG was used as the secondary antibody at 1/1,000 dilution. The nuclear counter stain is DAPI (blue).
more info or order :
company information

HUABIO
Founded in 2007, HUABIO is dedicated to developing high-quality antibodies that advance innovation. We are passionate about the accuracy, efficiency, and consistency of our products. That is why we have invested in new production platforms, like recombinant rabbit monoclonals, alpaca nanobodies, and adopted aggressive QA standards to deliver cutting-edge antibodies with uncompromised quality.
We hope to see you at your next discovery!
We hope to see you at your next discovery!
browse more products
questions and comments
