product summary
Loading...
company name :
HUABIO
product type :
antibody
product name :
VAMP8
catalog :
ET1702-10-50UL
quantity :
50μl
price :
205.00 USD
clonality :
monoclonal
host :
domestic rabbit
conjugate :
nonconjugated
clone name :
JF0963
reactivity :
human, mouse, rat
application :
western blot, immunoprecipitation, flow cytometry, immunohistochemistry - paraffin section
more info or order :
image
image 1 :

Western blot analysis of VAMP8 on HL-60 cell/tissue lysates with Rabbit anti-VAMP8 antibody (ET1702-10) at 1/2,000 dilution.
Lysates/proteins at 20 µg/Lane.
Predicted band size: 11 kDa
Observed band size: 15 kDa
Exposure time: 1 minutes 55 seconds; ECL: K1801;
4-20% SDS-PAGE gel.
Proteins were transferred to a PVDF membrane and blocked with 5% NFDM/TBST for 1 hour at room temperature. The primary antibody (ET1702-10) at 1/2,000 dilution was used in 5% NFDM/TBST at 4℃ overnight. Goat Anti-Rabbit IgG - HRP Secondary Antibody (HA1001) at 1/50,000 dilution was used for 1 hour at room temperature.
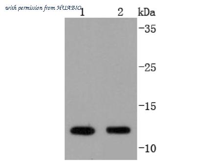
image 2 :

Western blot analysis of VAMP8 on different lysates with Rabbit anti-VAMP8 antibody (ET1702-10) at 1/1,000 dilution.
Lane 1: Hela cell lysate (10 µg/Lane)
Lane 2: Mouse kidney tissue lysate (20 µg/Lane)
Predicted band size: 11 kDa
Observed band size: 11 kDa
Proteins were transferred to a PVDF membrane and blocked with 5% NFDM/TBST for 1 hour at room temperature. The primary antibody (ET1702-10) at 1/1,000 dilution was used in 5% NFDM/TBST at room temperature for 2 hours. Goat Anti-Rabbit IgG - HRP Secondary Antibody (HA1001) at 1/300,000 dilution was used for 1 hour at room temperature.
image 3 :

Western blot analysis of VAMP8 on U937 cell lysates with Rabbit anti-VAMP8 antibody (ET1702-10) at 1/500 dilution.
Lysates/proteins at 10 µg/Lane.
Predicted band size: 11 kDa
Observed band size: 11 kDa
Proteins were transferred to a PVDF membrane and blocked with 5% NFDM/TBST for 1 hour at room temperature. The primary antibody (ET1702-10) at 1/500 dilution was used in 5% NFDM/TBST at room temperature for 2 hours. Goat Anti-Rabbit IgG - HRP Secondary Antibody (HA1001) at 1/300,000 dilution was used for 1 hour at room temperature.
product information
SKU :
ET1702-10-50UL
Target name :
VAMP8
Species reactivity :
Human,Mouse,Rat
Applications :
WB,IF-Cell,IF-Tissue,IHC-P,FC,IP
Conjugate :
Non-conjugated
Immunogen :
Synthetic peptide wiithin Human VAMP8 aa1-29 / 100.
Uniprot id :
Q9BV40>SwissProt: Q9BV40 Human;SwissProt: O70404 Mouse;SwissProt: Q9WUF4 Rat
Host :
Rabbit
Clone number :
JF0963
Isotype :
IgG
Size :
50μl
List Price :
205.00 USD
Storage Buffer :
1*TBS (pH7.4), 0.05% BSA, 40% Glycerol. Preservative: 0.05% Sodium Azide.
Form :
Liquid
Storage Instruction :
Shipped at 4℃. Store at +4℃ short term (1-2 weeks). It is recommended to aliquot into single-use upon delivery. Store at -20℃ long term.
Purity :
Protein A affinity purified.
Product type :
Recombinant Rabbit monoclonal Antibody
Positive control :
Hela cell lysate, mouse kidney tissue lysate, U937 cell lysates, SW480, 293T, Hela, human kidney tissue, mouse kidney tissue, rat kidney tissue.
Molecular wt :
Predicted band size: 11 kDa
Subcellular location :
Lysosome membrane, Early endosome membrane, Late endosome membrane, Cell membrane.
Concentration :
1 mg/mL.
Recommended dilutions :
WB: 1:1,000-1:2,000
;IF-Cell: 1:50-1:100
;IF-Tissue: 1:1,000
;IHC-P: 1:5,000
;FC: 1:1,000
;IP: Use at an assay dependent concentration.
Pic img4 :
https://storage.huabio.cn/huabio/productImg/ET1702-10_4.jpg
Pic legend4 :
Immunocytochemistry analysis of HL-60 cells labeling VAMP8 with Rabbit anti-VAMP8 antibody (ET1702-10) at 1/100 dilution.
Cells were fixed in 4% paraformaldehyde for 20 minutes at room temperature, permeabilized with 0.1% Triton X-100 in PBS for 5 minutes at room temperature, then blocked with 1% BSA in 10% negative goat serum for 1 hour at room temperature. Cells were then incubated with Rabbit anti-VAMP8 antibody (ET1702-10) at 1/100 dilution in 1% BSA in PBST overnight at 4 ℃. Goat Anti-Rabbit IgG H&L (iFluor™ 488, HA1121) was used as the secondary antibody at 1/1,000 dilution. PBS instead of the primary antibody was used as the secondary antibody only control. Nuclear DNA was labelled in blue with DAPI.
Beta tubulin (M1305-2, red) was stained at 1/100 dilution overnight at +4℃. Goat Anti-Mouse IgG H&L (iFluor™ 594, HA1126) was used as the secondary antibody at 1/1,000 dilution.
Pic img5 :
https://storage.huabio.cn/huabio/productImg/ET1702-10_5.jpg
Pic legend5 :
Immunohistochemical analysis of paraffin-embedded human kidney tissue with Rabbit anti-VAMP8 antibody (ET1702-10) at 1/5,000 dilution.
The section was pre-treated using heat mediated antigen retrieval with Tris-EDTA buffer (pH 9.0) for 20 minutes. The tissues were blocked in 1% BSA for 20 minutes at room temperature, washed with ddH2O and PBS, and then probed with the primary antibody (ET1702-10) at 1/5,000 dilution for 1 hour at room temperature. The detection was performed using an HRP conjugated compact polymer system. DAB was used as the chromogen. Tissues were counterstained with hematoxylin and mounted with DPX.
Pic img6 :
https://storage.huabio.cn/huabio/productImg/ET1702-10_6.jpg
Pic legend6 :
Immunohistochemical analysis of paraffin-embedded mouse kidney tissue with Rabbit anti-VAMP8 antibody (ET1702-10) at 1/5,000 dilution.
The section was pre-treated using heat mediated antigen retrieval with Tris-EDTA buffer (pH 9.0) for 20 minutes. The tissues were blocked in 1% BSA for 20 minutes at room temperature, washed with ddH2O and PBS, and then probed with the primary antibody (ET1702-10) at 1/5,000 dilution for 1 hour at room temperature. The detection was performed using an HRP conjugated compact polymer system. DAB was used as the chromogen. Tissues were counterstained with hematoxylin and mounted with DPX.
Pic img7 :
https://storage.huabio.cn/huabio/productImg/ET1702-10_7.jpg
Pic legend7 :
Immunohistochemical analysis of paraffin-embedded rat kidney tissue with Rabbit anti-VAMP8 antibody (ET1702-10) at 1/5,000 dilution.
The section was pre-treated using heat mediated antigen retrieval with Tris-EDTA buffer (pH 9.0) for 20 minutes. The tissues were blocked in 1% BSA for 20 minutes at room temperature, washed with ddH2O and PBS, and then probed with the primary antibody (ET1702-10) at 1/5,000 dilution for 1 hour at room temperature. The detection was performed using an HRP conjugated compact polymer system. DAB was used as the chromogen. Tissues were counterstained with hematoxylin and mounted with DPX.
Pic img8 :
https://storage.huabio.cn/huabio/productImg/ET1702-10_8.jpg
Pic legend8 :
Flow cytometric analysis of HL-60 cells labeling VAMP8.
Cells were fixed and permeabilized. Then stained with the primary antibody (ET1702-10, 1μg/mL) (red) compared with Rabbit IgG Isotype Control (green). After incubation of the primary antibody at +4℃ for an hour, the cells were stained with a iFluor™ 488 conjugate-Goat anti-Rabbit IgG Secondary antibody (HA1121) at 1/1,000 dilution for 30 minutes at +4℃. Unlabelled sample was used as a control (cells without incubation with primary antibody; black).
more info or order :
company information

HUABIO
Founded in 2007, HUABIO is dedicated to developing high-quality antibodies that advance innovation. We are passionate about the accuracy, efficiency, and consistency of our products. That is why we have invested in new production platforms, like recombinant rabbit monoclonals, alpaca nanobodies, and adopted aggressive QA standards to deliver cutting-edge antibodies with uncompromised quality.
We hope to see you at your next discovery!
We hope to see you at your next discovery!
related products
browse more products
questions and comments
