product summary
Loading...
company name :
HUABIO
product type :
antibody
product name :
SP1
catalog :
ET1702-02
quantity :
100μl
price :
385.00 USD
clonality :
monoclonal
host :
domestic rabbit
conjugate :
nonconjugated
clone name :
JF0950
reactivity :
human, mouse, rat
application :
western blot, immunoprecipitation, flow cytometry, chromatin immunoprecipitation, immunohistochemistry - paraffin section
more info or order :
image
image 1 :

Western blot analysis of SP1 on different lysates with Rabbit anti-SP1 antibody (ET1702-02) at 1/1,000 dilution.
Lane 1: HeLa cell lysate
Lane 2: 293T cell lysate
Lane 3: Jurkat cell lysate
Lane 4: U-2 OS cell lysate
Lane 5: COS-1 cell lysate
Lysates/proteins at 20 µg/Lane.
Predicted band size: 81 kDa
Observed band size: 81 kDa
Exposure time: 4 seconds; ECL: K1801;
4-20% SDS-PAGE gel.
Proteins were transferred to a PVDF membrane and blocked with 5% NFDM/TBST for 1 hour at room temperature. The primary antibody (ET1702-02) at 1/1,000 dilution was used in 5% NFDM/TBST at 4℃ overnight. Goat Anti-Rabbit IgG - HRP Secondary Antibody (HA1001) at 1/50,000 dilution was used for 1 hour at room temperature.
image 2 :

Immunocytochemistry analysis of HeLa cells labeling SP1 with Rabbit anti-SP1 antibody (ET1702-02) at 1/200 dilution.
Cells were fixed in 4% paraformaldehyde for 10 minutes at 37 ℃, permeabilized with 0.05% Triton X-100 in PBS for 20 minutes, and then blocked with 2% negative goat serum for 30 minutes at room temperature. Cells were then incubated with Rabbit anti-SP1 antibody (ET1702-02) at 1/200 dilution in 2% negative goat serum overnight at 4 ℃. Goat Anti-Rabbit IgG H&L (iFluor™ 488, HA1121) was used as the secondary antibody at 1/1,000 dilution. Nuclear DNA was labelled in blue with DAPI.
Beta tubulin (M1305-2, red) was stained at 1/200 dilution overnight at +4℃. Goat Anti-Mouse IgG H&L (iFluor™ 594, HA1126) was used as the secondary antibody at 1/1,000 dilution.
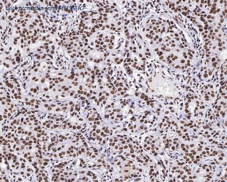
image 3 :

Immunohistochemical analysis of paraffin-embedded human breast cancer tissue with Rabbit anti-SP1 antibody (ET1702-02) at 1/1,000 dilution.
The section was pre-treated using heat mediated antigen retrieval with sodium citrate buffer (pH 6.0) (high pressure) for 2 minutes. The tissues were blocked in 1% BSA for 20 minutes at room temperature, washed with ddH2O and PBS, and then probed with the primary antibody (ET1702-02) at 1/1,000 dilution for 1 hour at room temperature. The detection was performed using an HRP conjugated compact polymer system. DAB was used as the chromogen. Tissues were counterstained with hematoxylin and mounted with DPX.
product information
SKU :
ET1702-02
Target name :
SP1
Species reactivity :
Human,Mouse,Rat
Applications :
WB,IF-Cell,IF-Tissue,IHC-P,FC,ChIP,IP
Conjugate :
Non-conjugated
Immunogen :
Synthetic peptide within Human SP1 aa 544-588 / 785.
Uniprot id :
P08047>SwissProt: P08047 Human;SwissProt: O89090 Mouse;SwissProt: Q01714 Rat
Host :
Rabbit
Clone number :
JF0950
Isotype :
IgG
Size :
100μl
List Price :
385.00 USD
Storage Buffer :
1*TBS (pH7.4), 0.05% BSA, 40% Glycerol. Preservative: 0.05% Sodium Azide.
Form :
Liquid
Storage Instruction :
Shipped at 4℃. Store at +4℃ short term (1-2 weeks). It is recommended to aliquot into single-use upon delivery. Store at -20℃ long term.
Purity :
Protein A affinity purified.
Product type :
Recombinant Rabbit monoclonal Antibody
Positive control :
HeLa cell lysate, 293T cell lysate, Jurkat cell lysate, U-2 OS cell lysate, COS-1 cell lysate, HeLa, human breast cancer tissue, human colon cancer tissue, human lung tissue, mouse lung tissue, rat lung tissue, MCF-7.
Molecular wt :
Predicted band size: 81 kDa
Subcellular location :
Nucleus, Cytoplasm.
Concentration :
1 mg/mL.
Recommended dilutions :
WB: 1:1,000-1:2,000
;IF-Cell: 1:100-1:500
;IF-Tissue: 1:100-1:500
;IHC-P: 1:200-1:1,000
;FC: 1:500-1:1,000
;ChIP: Use 0.5~2 μg for 25 μg of chromatin.
;IP: 1-2μg/sample
Pic img4 :
https://storage.huabio.cn/huabio/productImg/ET1702-02_4.jpg
Pic legend4 :
Immunohistochemical analysis of paraffin-embedded human colon cancer tissue with Rabbit anti-SP1 antibody (ET1702-02) at 1/1,000 dilution.
The section was pre-treated using heat mediated antigen retrieval with sodium citrate buffer (pH 6.0) (high pressure) for 2 minutes. The tissues were blocked in 1% BSA for 20 minutes at room temperature, washed with ddH2O and PBS, and then probed with the primary antibody (ET1702-02) at 1/1,000 dilution for 1 hour at room temperature. The detection was performed using an HRP conjugated compact polymer system. DAB was used as the chromogen. Tissues were counterstained with hematoxylin and mounted with DPX.
Pic img5 :
https://storage.huabio.cn/huabio/productImg/ET1702-02_5.jpg
Pic legend5 :
Immunohistochemical analysis of paraffin-embedded human lung tissue with Rabbit anti-SP1 antibody (ET1702-02) at 1/200 dilution.
The section was pre-treated using heat mediated antigen retrieval with sodium citrate buffer (pH 6.0) (high pressure) for 2 minutes. The tissues were blocked in 1% BSA for 20 minutes at room temperature, washed with ddH2O and PBS, and then probed with the primary antibody (ET1702-02) at 1/200 dilution for 1 hour at room temperature. The detection was performed using an HRP conjugated compact polymer system. DAB was used as the chromogen. Tissues were counterstained with hematoxylin and mounted with DPX.
Pic img6 :
https://storage.huabio.cn/huabio/productImg/ET1702-02_6.jpg
Pic legend6 :
Immunohistochemical analysis of paraffin-embedded mouse lung tissue with Rabbit anti-SP1 antibody (ET1702-02) at 1/200 dilution.
The section was pre-treated using heat mediated antigen retrieval with sodium citrate buffer (pH 6.0) (high pressure) for 2 minutes. The tissues were blocked in 1% BSA for 20 minutes at room temperature, washed with ddH2O and PBS, and then probed with the primary antibody (ET1702-02) at 1/200 dilution for 1 hour at room temperature. The detection was performed using an HRP conjugated compact polymer system. DAB was used as the chromogen. Tissues were counterstained with hematoxylin and mounted with DPX.
Pic img7 :
https://storage.huabio.cn/huabio/productImg/ET1702-02_7.jpg
Pic legend7 :
Immunohistochemical analysis of paraffin-embedded rat lung tissue with Rabbit anti-SP1 antibody (ET1702-02) at 1/200 dilution.
The section was pre-treated using heat mediated antigen retrieval with sodium citrate buffer (pH 6.0) (high pressure) for 2 minutes. The tissues were blocked in 1% BSA for 20 minutes at room temperature, washed with ddH2O and PBS, and then probed with the primary antibody (ET1702-02) at 1/200 dilution for 1 hour at room temperature. The detection was performed using an HRP conjugated compact polymer system. DAB was used as the chromogen. Tissues were counterstained with hematoxylin and mounted with DPX.
Pic img8 :
https://storage.huabio.cn/huabio/productImg/ET1702-02_8.jpg
Pic legend8 :
Flow cytometric analysis of MCF-7 cells labeling SP1.
Cells were fixed and permeabilized. Then stained with the primary antibody (ET1702-02, 1ug/ml) (red) compared with Rabbit IgG Isotype Control (green). After incubation of the primary antibody at +4℃ for an hour, the cells were stained with a iFluor™ 488 conjugate-Goat anti-Rabbit IgG Secondary antibody (HA1121) at 1/1,000 dilution for 30 minutes at +4℃. Unlabelled sample was used as a control (cells without incubation with primary antibody; black).
Pic img9 :
https://storage.huabio.cn/huabio/productImg/ET1702-02_9.jpg
Pic legend9 :
Chromatin immunoprecipitations were performed with cross-linked chromatin from HeLa cells with SP1 (ET1702-02) or Normal Rabbit IgG according to the ChIP protocol. The enriched DNA was quantified by real-time PCR using indicated primers. The amount of immunoprecipitated DNA in each sample is represented as signal relative to the total amount of input chromatin, which is equivalent to one.
Pic img10 :
https://storage.huabio.cn/huabio/productImg/ET1702-02_10.jpg
Pic legend10 :
SP1 was immunoprecipitated from 0.2 mg HeLa cell lysate with ET1702-02 at 2 µg/10 µl beads. Western blot was performed from the immunoprecipitate using ET1702-02 at 1/1,000 dilution. HRP Conjugated Anti-Rabbit IgG for IP Nano-secondary antibody at 1/5,000 dilution was used for 1 hour at room temperature.
Lane 1: HeLa cell lysate (input)
Lane 2: ET1702-02 IP in HeLa cell lysate
Lane 3: Rabbit IgG instead of ET1702-02 in HeLa cell lysate
Blocking/Dilution buffer: primary antibody dilution (K1803)
Exposure time: 6 seconds; ECL: K1801
more info or order :
company information

HUABIO
Founded in 2007, HUABIO is dedicated to developing high-quality antibodies that advance innovation. We are passionate about the accuracy, efficiency, and consistency of our products. That is why we have invested in new production platforms, like recombinant rabbit monoclonals, alpaca nanobodies, and adopted aggressive QA standards to deliver cutting-edge antibodies with uncompromised quality.
We hope to see you at your next discovery!
We hope to see you at your next discovery!
related products
browse more products
questions and comments
