product summary
Loading...
company name :
HUABIO
product type :
antibody
product name :
CDC45
catalog :
ET1701-71
quantity :
100μl
price :
385.00 USD
clonality :
monoclonal
host :
domestic rabbit
conjugate :
nonconjugated
clone name :
JJ091-04
reactivity :
human, mouse, rat
application :
western blot, flow cytometry, immunohistochemistry - paraffin section
more info or order :
image
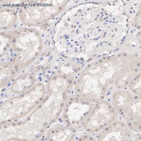
image 1 :

Immunohistochemical analysis of paraffin-embedded human kidney tissue with Rabbit anti-CDC45 antibody (ET1701-71) at 1/1,000 dilution.
The section was pre-treated using heat mediated antigen retrieval with Tris-EDTA buffer (pH 9.0) for 20 minutes. The tissues were blocked in 1% BSA for 20 minutes at room temperature, washed with ddH2O and PBS, and then probed with the primary antibody (ET1701-71) at 1/1,000 dilution for 1 hour at room temperature. The detection was performed using an HRP conjugated compact polymer system. DAB was used as the chromogen. Tissues were counterstained with hematoxylin and mounted with DPX.
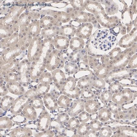
image 2 :

Immunohistochemical analysis of paraffin-embedded mouse kidney tissue with Rabbit anti-CDC45 antibody (ET1701-71) at 1/1,000 dilution.
The section was pre-treated using heat mediated antigen retrieval with Tris-EDTA buffer (pH 9.0) for 20 minutes. The tissues were blocked in 1% BSA for 20 minutes at room temperature, washed with ddH2O and PBS, and then probed with the primary antibody (ET1701-71) at 1/1,000 dilution for 1 hour at room temperature. The detection was performed using an HRP conjugated compact polymer system. DAB was used as the chromogen. Tissues were counterstained with hematoxylin and mounted with DPX.
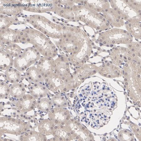
image 3 :

Immunohistochemical analysis of paraffin-embedded rat kidney tissue with Rabbit anti-CDC45 antibody (ET1701-71) at 1/1,000 dilution.
The section was pre-treated using heat mediated antigen retrieval with Tris-EDTA buffer (pH 9.0) for 20 minutes. The tissues were blocked in 1% BSA for 20 minutes at room temperature, washed with ddH2O and PBS, and then probed with the primary antibody (ET1701-71) at 1/1,000 dilution for 1 hour at room temperature. The detection was performed using an HRP conjugated compact polymer system. DAB was used as the chromogen. Tissues were counterstained with hematoxylin and mounted with DPX.
product information
SKU :
ET1701-71
Target name :
CDC45
Species reactivity :
Human,Mouse,Rat
Applications :
WB,IF-Cell,IF-Tissue,IHC-P,FC
Conjugate :
Non-conjugated
Immunogen :
Synthetic protein within Human CDC45 aa 501-544 / 566.
Uniprot id :
O75419>SwissProt: O75419 Human;SwissProt: Q9Z1X9 Mouse;Entrez Gene: 287961 Rat
Host :
Rabbit
Clone number :
JJ091-04
Isotype :
IgG
Size :
100μl
List Price :
385.00 USD
Storage Buffer :
1*TBS (pH7.4), 0.05% BSA, 40% Glycerol. Preservative: 0.05% Sodium Azide.
Form :
Liquid
Storage Instruction :
Shipped at 4℃. Store at +4℃ short term (1-2 weeks). It is recommended to aliquot into single-use upon delivery. Store at -20℃ long term.
Purity :
Protein A affinity purified.
Product type :
Recombinant Rabbit monoclonal Antibody
Positive control :
A549, Hela, 293T, human kidney tissue, mouse kidney tissue, rat kidney tissue, 293.
Molecular wt :
Predicted band size: 66 kDa
Subcellular location :
Cytoplasm, Nucleus.
Concentration :
1 mg/mL.
Recommended dilutions :
WB: 1:1,000
;IF-Cell: 1:100-1:500
;IF-Tissue: 1:100-1:500
;IHC-P: 1:1,000
;FC: 1:50-1:100
Pic img4 :
https://storage.huabio.cn/huabio/productImg/ET1701-71_4.jpg
Pic legend4 :
ICC staining CDC45 in A549 cells (green). The nuclear counter stain is DAPI (blue). Cells were fixed in paraformaldehyde, permeabilised with 0.25% Triton X100/PBS.
Pic img5 :
https://storage.huabio.cn/huabio/productImg/ET1701-71_5.jpg
Pic legend5 :
ICC staining CDC45 in Hela cells (green). The nuclear counter stain is DAPI (blue). Cells were fixed in paraformaldehyde, permeabilised with 0.25% Triton X100/PBS.
Pic img6 :
https://storage.huabio.cn/huabio/productImg/ET1701-71_6.jpg
Pic legend6 :
ICC staining CDC45 in 293T cells (green). The nuclear counter stain is DAPI (blue). Cells were fixed in paraformaldehyde, permeabilised with 0.25% Triton X100/PBS.
Pic img7 :
https://storage.huabio.cn/huabio/productImg/ET1701-71_7.jpg
Pic legend7 :
Flow cytometric analysis of 293 cells with CDC45 antibody at 1/50 dilution (red) compared with an unlabelled control (cells without incubation with primary antibody; black). Alexa Fluor 488-conjugated goat anti rabbit IgG was used as the secondary antibody.
more info or order :
company information

HUABIO
Founded in 2007, HUABIO is dedicated to developing high-quality antibodies that advance innovation. We are passionate about the accuracy, efficiency, and consistency of our products. That is why we have invested in new production platforms, like recombinant rabbit monoclonals, alpaca nanobodies, and adopted aggressive QA standards to deliver cutting-edge antibodies with uncompromised quality.
We hope to see you at your next discovery!
We hope to see you at your next discovery!
browse more products
questions and comments
