product summary
Loading...
company name :
HUABIO
product type :
antibody
product name :
Phospho-AKT1 (T450)
catalog :
ET1612-73
quantity :
100μl
price :
385.00 USD
clonality :
monoclonal
host :
domestic rabbit
conjugate :
nonconjugated
clone name :
SD08-12
reactivity :
human, mouse, rat
application :
western blot, immunoprecipitation, flow cytometry, immunohistochemistry - paraffin section
more info or order :
image
image 1 :

Western blot analysis of Phospho-AKT1 (T450) on different lysates with Rabbit anti-Phospho-AKT1 (T450) antibody (ET1612-73) at 1/1,000 dilution.
Lane 1: A549 cell lysate
Lane 2: MCF7 cell lysate
Lane 3: HeLa cell lysate
Lane 4: Jurkat cell lysate
Lane 5: C2C12 cell lysate
Lane 6: NIH/3T3 cell lysate
Lane 7: C6 cell lysate
Lane 8: PC-12 cell lysate
Lane 9: MCF7 cell lysate, the membrane treated with λpp for 1 hour
Lane 10: C2C12 cell lysate, the membrane treated with λpp for 1 hour
Lane 11: C6 cell lysate, the membrane treated with λpp for 1 hour
Lysates/proteins at 20 µg/Lane.
Predicted band size: 54 kDa
Observed band size: 54 kDa
Exposure time: 3 minutes; ECL: K1802;
4-20% SDS-PAGE gel.
Proteins were transferred to a PVDF membrane and blocked with 5% NFDM/TBST for 1 hour at room temperature. The primary antibody (ET1612-73) at 1/1,000 dilution was used in 5% NFDM/TBST at 4℃ overnight. Goat Anti-Rabbit IgG - HRP Secondary Antibody (HA1001) at 1/50,000 dilution was used for 1 hour at room temperature.
image 2 :

Immunohistochemical analysis of paraffin-embedded human breast cancer tissue untreated / treated with λpp with Rabbit anti-Phospho-AKT1 (T450) antibody (ET1612-73) at 1/200 dilution.
The section was pre-treated using heat mediated antigen retrieval with sodium citrate buffer (pH 6.0) (high pressure) for 2 minutes. The tissues were blocked in 1% BSA for 20 minutes at room temperature, washed with ddH2O and PBS, and then probed with the primary antibody (ET1612-73) at 1/200 dilution for 1 hour at room temperature. The detection was performed using an HRP conjugated compact polymer system. DAB was used as the chromogen. Tissues were counterstained with hematoxylin and mounted with DPX.
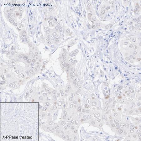
image 3 :

Immunohistochemical analysis of paraffin-embedded mouse kidney tissue with Rabbit anti-Phospho-AKT1 (T450) antibody (ET1612-73) at 1/200 dilution.
The section was pre-treated using heat mediated antigen retrieval with sodium citrate buffer (pH 6.0) (high pressure) for 2 minutes. The tissues were blocked in 1% BSA for 20 minutes at room temperature, washed with ddH2O and PBS, and then probed with the primary antibody (ET1612-73) at 1/200 dilution for 1 hour at room temperature. The detection was performed using an HRP conjugated compact polymer system. DAB was used as the chromogen. Tissues were counterstained with hematoxylin and mounted with DPX.
product information
SKU :
ET1612-73
Target name :
Phospho-AKT1 (T450)
Species reactivity :
Human,Mouse,Rat
Applications :
WB,IHC-P,IP,IF-Cell,FC
Conjugate :
Non-conjugated
Immunogen :
Synthetic phospho-peptide corresponding to residues surrounding Thr450 of human AKT1.
Uniprot id :
P31749>SwissProt: P31749 Human;SwissProt: P31750 Mouse;SwissProt: P47196 Rat
Host :
Rabbit
Clone number :
SD08-12
Isotype :
IgG
Size :
100μl
List Price :
385.00 USD
Storage Buffer :
1*TBS (pH7.4), 0.05% BSA, 40% Glycerol. Preservative: 0.05% Sodium Azide.
Form :
Liquid
Storage Instruction :
Shipped at 4℃. Store at +4℃ short term (1-2 weeks). It is recommended to aliquot into single-use upon delivery. Store at -20℃ long term.
Purity :
Protein A affinity purified.
Product type :
Recombinant Rabbit monoclonal Antibody
Positive control :
A549 cell lysate, MCF7 cell lysate, HeLa cell lysate, Jurkat cell lysate, C2C12 cell lysate, NIH/3T3 cell lysate, C6 cell lysate, PC-12 cell lysate, human breast cancer tissue, mouse kidney tissue, rat kidney tissue, human colon carcinoma tissue, mouse lung tissue, MCF7, C2C12, C6.
Molecular wt :
Predicted band size: 56 kDa
Subcellular location :
Cytoplasm, Nucleus, Cell membrane.
Concentration :
1 mg/mL.
Recommended dilutions :
WB: 1:500-1:2,000
;IHC-P: 1:50-1:200
;IP: Use at an assay dependent concentration.
;IF-Cell: 1:100
;FC: 1:1,000
Advanced Validation :
Cell treatment (CT)
Pic img4 :
https://storage.huabio.cn/huabio/productImg/ET1612-73_4.jpg
Pic legend4 :
Immunohistochemical analysis of paraffin-embedded rat kidney tissue with Rabbit anti-Phospho-AKT1 (T450) antibody (ET1612-73) at 1/200 dilution.
The section was pre-treated using heat mediated antigen retrieval with sodium citrate buffer (pH 6.0) (high pressure) for 2 minutes. The tissues were blocked in 1% BSA for 20 minutes at room temperature, washed with ddH2O and PBS, and then probed with the primary antibody (ET1612-73) at 1/200 dilution for 1 hour at room temperature. The detection was performed using an HRP conjugated compact polymer system. DAB was used as the chromogen. Tissues were counterstained with hematoxylin and mounted with DPX.
Pic img5 :
https://storage.huabio.cn/huabio/productImg/ET1612-73_5.jpg
Pic legend5 :
Immunohistochemical analysis of paraffin-embedded human colon carcinoma tissue with Rabbit anti-Phospho-AKT1 (T450) antibody (ET1612-73) at 1/50 dilution.
The section was pre-treated using heat mediated antigen retrieval with Tris-EDTA buffer (pH 9.0) for 20 minutes. The tissues were blocked in 1% BSA for 20 minutes at room temperature, washed with ddH2O and PBS, and then probed with the primary antibody (ET1612-73) at 1/50 dilution for 1 hour at room temperature. The detection was performed using an HRP conjugated compact polymer system. DAB was used as the chromogen. Tissues were counterstained with hematoxylin and mounted with DPX.
Pic img6 :
https://storage.huabio.cn/huabio/productImg/ET1612-73_6.jpg
Pic legend6 :
Immunohistochemical analysis of paraffin-embedded mouse lung tissue with Rabbit anti-Phospho-AKT1 (T450) antibody (ET1612-73) at 1/200 dilution.
The section was pre-treated using heat mediated antigen retrieval with Tris-EDTA buffer (pH 9.0) for 20 minutes. The tissues were blocked in 1% BSA for 20 minutes at room temperature, washed with ddH2O and PBS, and then probed with the primary antibody (ET1612-73) at 1/200 dilution for 1 hour at room temperature. The detection was performed using an HRP conjugated compact polymer system. DAB was used as the chromogen. Tissues were counterstained with hematoxylin and mounted with DPX.
Pic img7 :
https://storage.huabio.cn/huabio/productImg/ET1612-73_7.jpg
Pic legend7 :
Immunocytochemistry analysis of MCF7 cells labeling Phospho-AKT1 (T450) with Rabbit anti-Phospho-AKT1 (T450) antibody (ET1612-73) at 1/100 dilution.
Cells were fixed in 4% paraformaldehyde for 20 minutes at room temperature, permeabilized with 0.1% Triton X-100 in PBS for 5 minutes at room temperature, then blocked with 1% BSA in 10% negative goat serum for 1 hour at room temperature. Cells were then incubated with Rabbit anti-Phospho-AKT1 (T450) antibody (ET1612-73) at 1/100 dilution in 1% BSA in PBST overnight at 4 ℃. Goat Anti-Rabbit IgG H&L (iFluor™ 488, HA1121) was used as the secondary antibody at 1/1,000 dilution. PBS instead of the primary antibody was used as the secondary antibody only control. Nuclear DNA was labelled in blue with DAPI.
Beta tubulin (M1305-2, red) was stained at 1/100 dilution overnight at +4℃. Goat Anti-Mouse IgG H&L (iFluor™ 594, HA1126) was used as the secondary antibody at 1/1,000 dilution.
Pic img8 :
https://storage.huabio.cn/huabio/productImg/ET1612-73_8.jpg
Pic legend8 :
Flow cytometric analysis of MCF7 cells labeling Phospho-AKT1 (T450).
Cells were fixed and permeabilized. Then stained with the primary antibody (ET1612-73, 1/1,000) (red) compared with Rabbit IgG Isotype Control (green). After incubation of the primary antibody at +4℃ for an hour, the cells were stained with a iFluor™ 488 conjugate-Goat anti-Rabbit IgG Secondary antibody (HA1121) at 1/1,000 dilution for 30 minutes at +4℃. Unlabelled sample was used as a control (cells without incubation with primary antibody; black).
Pic img9 :
https://storage.huabio.cn/huabio/productImg/ET1612-73_9.jpg
Pic legend9 :
Immunocytochemistry analysis of C2C12 cells labeling Phospho-AKT1 (T450) with Rabbit anti-Phospho-AKT1 (T450) antibody (ET1612-73) at 1/100 dilution.
Cells were fixed in 4% paraformaldehyde for 20 minutes at room temperature, permeabilized with 0.1% Triton X-100 in PBS for 5 minutes at room temperature, then blocked with 1% BSA in 10% negative goat serum for 1 hour at room temperature. Cells were then incubated with Rabbit anti-Phospho-AKT1 (T450) antibody (ET1612-73) at 1/100 dilution in 1% BSA in PBST overnight at 4 ℃. Goat Anti-Rabbit IgG H&L (iFluor™ 488, HA1121) was used as the secondary antibody at 1/1,000 dilution. PBS instead of the primary antibody was used as the secondary antibody only control. Nuclear DNA was labelled in blue with DAPI.
Beta tubulin (M1305-2, red) was stained at 1/100 dilution overnight at +4℃. Goat Anti-Mouse IgG H&L (iFluor™ 594, HA1126) was used as the secondary antibody at 1/1,000 dilution.
Pic img10 :
https://storage.huabio.cn/huabio/productImg/ET1612-73_10.jpg
Pic legend10 :
Flow cytometric analysis of C2C12 cells labeling Phospho-AKT1 (T450).
Cells were fixed and permeabilized. Then stained with the primary antibody (ET1612-73, 1/1,000) (red) compared with Rabbit IgG Isotype Control (green). After incubation of the primary antibody at +4℃ for an hour, the cells were stained with a iFluor™ 488 conjugate-Goat anti-Rabbit IgG Secondary antibody (HA1121) at 1/1,000 dilution for 30 minutes at +4℃. Unlabelled sample was used as a control (cells without incubation with primary antibody; black).
Pic img11 :
https://storage.huabio.cn/huabio/productImg/ET1612-73_11.jpg
Pic legend11 :
Immunocytochemistry analysis of C6 cells labeling Phospho-AKT1 (T450) with Rabbit anti-Phospho-AKT1 (T450) antibody (ET1612-73) at 1/100 dilution.
Cells were fixed in 4% paraformaldehyde for 20 minutes at room temperature, permeabilized with 0.1% Triton X-100 in PBS for 5 minutes at room temperature, then blocked with 1% BSA in 10% negative goat serum for 1 hour at room temperature. Cells were then incubated with Rabbit anti-Phospho-AKT1 (T450) antibody (ET1612-73) at 1/100 dilution in 1% BSA in PBST overnight at 4 ℃. Goat Anti-Rabbit IgG H&L (iFluor™ 488, HA1121) was used as the secondary antibody at 1/1,000 dilution. PBS instead of the primary antibody was used as the secondary antibody only control. Nuclear DNA was labelled in blue with DAPI.
Beta tubulin (M1305-2, red) was stained at 1/100 dilution overnight at +4℃. Goat Anti-Mouse IgG H&L (iFluor™ 594, HA1126) was used as the secondary antibody at 1/1,000 dilution.
Pic img12 :
https://storage.huabio.cn/huabio/productImg/ET1612-73_12.jpg
Pic legend12 :
Flow cytometric analysis of C6 cells labeling Phospho-AKT1 (T450).
Cells were fixed and permeabilized. Then stained with the primary antibody (ET1612-73, 1/1,000) (red) compared with Rabbit IgG Isotype Control (green). After incubation of the primary antibody at +4℃ for an hour, the cells were stained with a iFluor™ 488 conjugate-Goat anti-Rabbit IgG Secondary antibody (HA1121) at 1/1,000 dilution for 30 minutes at +4℃. Unlabelled sample was used as a control (cells without incubation with primary antibody; black).
more info or order :
company information

HUABIO
Founded in 2007, HUABIO is dedicated to developing high-quality antibodies that advance innovation. We are passionate about the accuracy, efficiency, and consistency of our products. That is why we have invested in new production platforms, like recombinant rabbit monoclonals, alpaca nanobodies, and adopted aggressive QA standards to deliver cutting-edge antibodies with uncompromised quality.
We hope to see you at your next discovery!
We hope to see you at your next discovery!
related products
browse more products
questions and comments
