product summary
Loading...
company name :
HUABIO
product type :
antibody
product name :
LSP1
catalog :
ET1611-9
quantity :
100μl
price :
385.00 USD
clonality :
monoclonal
host :
domestic rabbit
conjugate :
nonconjugated
clone name :
SN06-25
reactivity :
human, mouse, rat
application :
western blot, immunohistochemistry - paraffin section
more info or order :
image
image 1 :

Western blot analysis of LSP1 on Daudi cell lysates. Proteins were transferred to a PVDF membrane and blocked with 5% BSA in PBS for 1 hour at room temperature. The primary antibody (ET1611-9, 1/500) was used in 5% BSA at room temperature for 2 hours. Goat Anti-Rabbit IgG - HRP Secondary Antibody (HA1001) at 1:200,000 dilution was used for 1 hour at room temperature.
image 2 :

Immunohistochemical analysis of paraffin-embedded human tonsil tissue using anti-LSP1 antibody. The section was pre-treated using heat mediated antigen retrieval with Tris-EDTA buffer (pH 8.0-8.4) for 20 minutes.The tissues were blocked in 5% BSA for 30 minutes at room temperature, washed with ddH2O and PBS, and then probed with the primary antibody (ET1611-9, 1/50) for 30 minutes at room temperature. The detection was performed using an HRP conjugated compact polymer system. DAB was used as the chromogen. Tissues were counterstained with hematoxylin and mounted with DPX.
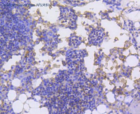
image 3 :

Immunohistochemical analysis of paraffin-embedded mouse thymus tissue using anti-LSP1 antibody. The section was pre-treated using heat mediated antigen retrieval with Tris-EDTA buffer (pH 8.0-8.4) for 20 minutes.The tissues were blocked in 5% BSA for 30 minutes at room temperature, washed with ddH2O and PBS, and then probed with the primary antibody (ET1611-9, 1/50) for 30 minutes at room temperature. The detection was performed using an HRP conjugated compact polymer system. DAB was used as the chromogen. Tissues were counterstained with hematoxylin and mounted with DPX.
product information
SKU :
ET1611-9
Target name :
LSP1
Species reactivity :
Human,Mouse,Rat
Applications :
WB,IF-Cell,IF-Tissue,IHC-P
Conjugate :
Non-conjugated
Immunogen :
Recombinant protein within Human LSP1 aa 249-339 / 339.
Uniprot id :
P33241>SwissProt: P33241 Human;SwissProt: P19973 Mouse;Unigene: 101608 Rat
Host :
Rabbit
Clone number :
SN06-25
Isotype :
IgG
Size :
100μl
List Price :
385.00 USD
Storage Buffer :
1*TBS (pH7.4), 0.05% BSA, 40% Glycerol. Preservative: 0.05% Sodium Azide.
Form :
Liquid
Storage Instruction :
Shipped at 4℃. Store at +4℃ short term (1-2 weeks). It is recommended to aliquot into single-use upon delivery. Store at -20℃ long term.
Purity :
Protein A affinity purified.
Product type :
Recombinant Rabbit monoclonal Antibody
Positive control :
Daudi cell lysates, human tonsil tissue, mouse thymus tissue.
Molecular wt :
Predicted band size: 37 kDa
Subcellular location :
Cell membrane
Concentration :
1 mg/mL.
Recommended dilutions :
WB: 1:1,000
;IF-Cell: 1:50-1:200
;IF-Tissue: 1:50-1:200
;IHC-P: 1:50-1:200
more info or order :
company information

HUABIO
Founded in 2007, HUABIO is dedicated to developing high-quality antibodies that advance innovation. We are passionate about the accuracy, efficiency, and consistency of our products. That is why we have invested in new production platforms, like recombinant rabbit monoclonals, alpaca nanobodies, and adopted aggressive QA standards to deliver cutting-edge antibodies with uncompromised quality.
We hope to see you at your next discovery!
We hope to see you at your next discovery!
browse more products
questions and comments
