product summary
Loading...
company name :
HUABIO
product type :
antibody
product name :
Phospho-PKC zeta (T560)
catalog :
ET1611-78
quantity :
100μl
price :
385.00 USD
clonality :
monoclonal
host :
domestic rabbit
conjugate :
nonconjugated
clone name :
SN0753
reactivity :
human, mouse, rat
application :
western blot, immunohistochemistry - paraffin section
more info or order :
image
image 1 :

Western blot analysis of Phospho-PKC zeta (T560) on different lysates with Rabbit anti-Phospho-PKC zeta (T560) antibody (ET1611-78) at 1/1,000 dilution.
Lane 1: SK-Br-3 cell lysate (20 µg/Lane)
Lane 2: Mouse eyeball tissue lysate (30 µg/Lane)
Lane 3: C6 cell lysate (20 µg/Lane)
Lane 4: C6 cell lysate, the membrane treated with λpp for 1 hour (20 µg/Lane)
Predicted band size: 68 kDa
Observed band size: 68 kDa
Exposure time: 59 seconds; ECL: K1801;
4-20% SDS-PAGE gel.
Proteins were transferred to a PVDF membrane and blocked with 5% NFDM/TBST for 1 hour at room temperature. The primary antibody (ET1611-78) at 1/1,000 dilution was used in 5% NFDM/TBST at 4℃ overnight. Goat Anti-Rabbit IgG - HRP Secondary Antibody (HA1001) at 1/50,000 dilution was used for 1 hour at room temperature.
image 2 :

Immunohistochemical analysis of paraffin-embedded human testis tissue with Rabbit anti-Phospho-PKC zeta (T560) antibody (ET1611-78) at 1/50 dilution.
The section was pre-treated using heat mediated antigen retrieval with Tris-EDTA buffer (pH 9.0) for 20 minutes. The tissues were blocked in 1% BSA for 20 minutes at room temperature, washed with ddH2O and PBS, and then probed with the primary antibody (ET1611-78) at 1/50 dilution for 1 hour at room temperature. The detection was performed using an HRP conjugated compact polymer system. DAB was used as the chromogen. Tissues were counterstained with hematoxylin and mounted with DPX.
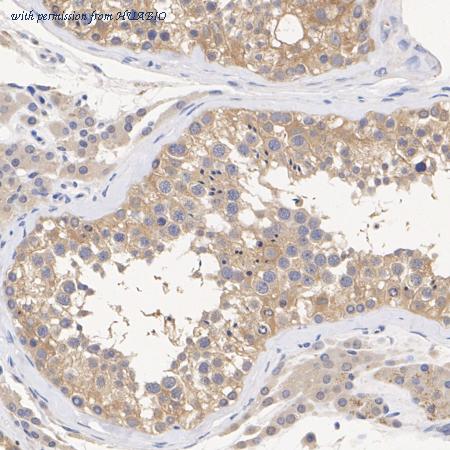
image 3 :

Immunohistochemical analysis of paraffin-embedded mouse testis tissue with Rabbit anti-Phospho-PKC zeta (T560) antibody (ET1611-78) at 1/50 dilution.
The section was pre-treated using heat mediated antigen retrieval with Tris-EDTA buffer (pH 9.0) for 20 minutes. The tissues were blocked in 1% BSA for 20 minutes at room temperature, washed with ddH2O and PBS, and then probed with the primary antibody (ET1611-78) at 1/50 dilution for 1 hour at room temperature. The detection was performed using an HRP conjugated compact polymer system. DAB was used as the chromogen. Tissues were counterstained with hematoxylin and mounted with DPX.
product information
SKU :
ET1611-78
Target name :
Phospho-PKC zeta (T560)
Species reactivity :
Human,Mouse,Rat
Applications :
WB,IHC-P
Conjugate :
Non-conjugated
Immunogen :
Synthetic phospho-peptide corresponding to residues surrounding Thr560 of Human PKC zeta aa 531-580 / 592.
Uniprot id :
Q05513>SwissProt: Q05513 Human;SwissProt: Q02956 Mouse;SwissProt: P09217 Rat
Host :
Rabbit
Clone number :
SN0753
Isotype :
IgG
Size :
100μl
List Price :
385.00 USD
Storage Buffer :
1*TBS (pH7.4), 0.05% BSA, 40% Glycerol. Preservative: 0.05% Sodium Azide.
Form :
Liquid
Storage Instruction :
Shipped at 4℃. Store at +4℃ short term (1-2 weeks). It is recommended to aliquot into single-use upon delivery. Store at -20℃ long term.
Purity :
Protein A affinity purified.
Product type :
Recombinant Rabbit monoclonal Antibody
Positive control :
SK-Br-3 cell lysate, Mouse eyeball tissue lysate, C6 cell lysate, human testis tissue, mouse testis tissue, rat testis tissue.
Molecular wt :
Predicted band size: 68 kDa
Subcellular location :
Cell junction, Cytoplasm, Endosome, Membrane.
Concentration :
1 mg/mL.
Recommended dilutions :
WB: 1:1,000-1:2,000
;IHC-P: 1:50
Advanced Validation :
Cell treatment (CT)
Pic img4 :
https://storage.huabio.cn/huabio/productImg/ET1611-78_4.jpg
Pic legend4 :
Immunohistochemical analysis of paraffin-embedded rat testis tissue with Rabbit anti-Phospho-PKC zeta (T560) antibody (ET1611-78) at 1/50 dilution.
The section was pre-treated using heat mediated antigen retrieval with Tris-EDTA buffer (pH 9.0) for 20 minutes. The tissues were blocked in 1% BSA for 20 minutes at room temperature, washed with ddH2O and PBS, and then probed with the primary antibody (ET1611-78) at 1/50 dilution for 1 hour at room temperature. The detection was performed using an HRP conjugated compact polymer system. DAB was used as the chromogen. Tissues were counterstained with hematoxylin and mounted with DPX.
more info or order :
company information

HUABIO
Founded in 2007, HUABIO is dedicated to developing high-quality antibodies that advance innovation. We are passionate about the accuracy, efficiency, and consistency of our products. That is why we have invested in new production platforms, like recombinant rabbit monoclonals, alpaca nanobodies, and adopted aggressive QA standards to deliver cutting-edge antibodies with uncompromised quality.
We hope to see you at your next discovery!
We hope to see you at your next discovery!
related products
browse more products
questions and comments
