product summary
Loading...
company name :
HUABIO
product type :
antibody
product name :
MAP1LC3A
catalog :
ET1611-37
quantity :
100μl
price :
385.00 USD
clonality :
monoclonal
host :
domestic rabbit
conjugate :
nonconjugated
clone name :
SN07-40
reactivity :
human, mouse, rat
application :
western blot, immunohistochemistry - paraffin section
more info or order :
image
image 1 :

Western blot analysis of MAP1LC3A on different lysates with Rabbit anti-MAP1LC3A antibody (ET1611-37) at 1/5,000 dilution.
Lane 1: HeLa cell lysate
Lane 2: HeLa treated with 50μM Chloroquine for 18 hours cell lysate
Lane 3: C2C12 cell lysate
Lane 4: C2C12 treated with 50μM Chloroquine for 18 hours cell lysate
Lane 5: C6 cell lysate
Lane 6: C6 treated with 50μM Chloroquine for 18 hours cell lysate
Lysates/proteins at 20 µg/Lane.
Predicted band size: 14 kDa
Observed band size: 14/16 kDa
Exposure time: 2 minutes; ECL: K1801;
4-20% SDS-PAGE gel.
Proteins were transferred to a PVDF membrane and blocked with 5% NFDM/TBST for 1 hour at room temperature. The primary antibody (ET1611-37) at 1/5,000 dilution was used in primary antibody dilution (K1803) at 4℃ overnight. Goat Anti-Rabbit IgG - HRP Secondary Antibody (HA1001) at 1/50,000 dilution was used for 1 hour at room temperature.
image 2 :

Immunohistochemical analysis of paraffin-embedded human brain tissue with Rabbit anti-MAP1LC3A antibody (ET1611-37) at 1/2,000 dilution.
The section was pre-treated using heat mediated antigen retrieval with Tris-EDTA buffer (pH 9.0) for 20 minutes. The tissues were blocked in 1% BSA for 20 minutes at room temperature, washed with ddH2O and PBS, and then probed with the primary antibody (ET1611-37) at 1/2,000 dilution for 1 hour at room temperature. The detection was performed using an HRP conjugated compact polymer system. DAB was used as the chromogen. Tissues were counterstained with hematoxylin and mounted with DPX.
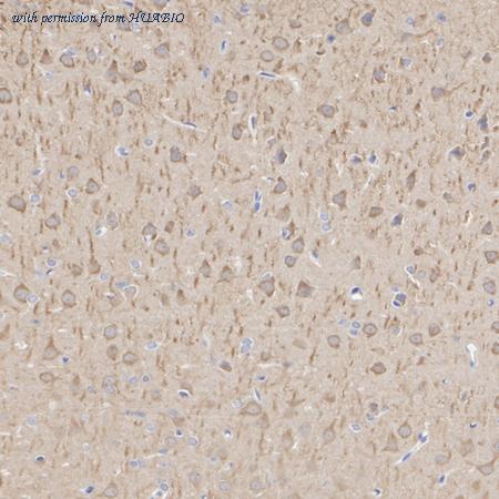
image 3 :

Immunohistochemical analysis of paraffin-embedded rat brain tissue with Rabbit anti-MAP1LC3A antibody (ET1611-37) at 1/500 dilution.
The section was pre-treated using heat mediated antigen retrieval with Tris-EDTA buffer (pH 9.0) for 20 minutes. The tissues were blocked in 1% BSA for 20 minutes at room temperature, washed with ddH2O and PBS, and then probed with the primary antibody (ET1611-37) at 1/500 dilution for 1 hour at room temperature. The detection was performed using an HRP conjugated compact polymer system. DAB was used as the chromogen. Tissues were counterstained with hematoxylin and mounted with DPX.
product information
SKU :
ET1611-37
Target name :
MAP1LC3A
Species reactivity :
Human,Mouse,Rat
Applications :
WB,IHC-P
Conjugate :
Non-conjugated
Immunogen :
Recombinant protein of Human MAP1LC3A aa 1-103 / 121.
Uniprot id :
Q9H492>SwissProt: Q9H492 Human;SwissProt: Q91VR7 Mouse;SwissProt: Q6XVN8 Rat
Host :
Rabbit
Clone number :
SN07-40
Isotype :
IgG
Size :
100μl
List Price :
385.00 USD
Storage Buffer :
1*TBS (pH7.4), 0.05% BSA, 40% Glycerol. Preservative: 0.05% Sodium Azide.
Form :
Liquid
Storage Instruction :
Shipped at 4℃. Store at +4℃ short term (1-2 weeks). It is recommended to aliquot into single-use upon delivery. Store at -20℃ long term.
Purity :
Protein A affinity purified.
Product type :
Recombinant Rabbit monoclonal Antibody
Positive control :
HeLa cell lysate, HeLa treated with 50μM Chloroquine for 18 hours cell lysate, C2C12 cell lysate, C2C12 treated with 50μM Chloroquine for 18 hours cell lysate, C6 cell lysate, C6 treated with 50μM Chloroquine for 18 hours cell lysate, human brain tissue, rat brain tissue.
Molecular wt :
Predicted band size: 14 kDa
Subcellular location :
Cytoplasm, Cytoplasmic vesicle, Cytoskeleton, Membrane, Microtubule.
Concentration :
1 mg/mL.
Recommended dilutions :
WB: 1:5,000
;IHC-P: 1:500-1:2,000
Advanced Validation :
Cell treatment (CT)
more info or order :
company information

HUABIO
Founded in 2007, HUABIO is dedicated to developing high-quality antibodies that advance innovation. We are passionate about the accuracy, efficiency, and consistency of our products. That is why we have invested in new production platforms, like recombinant rabbit monoclonals, alpaca nanobodies, and adopted aggressive QA standards to deliver cutting-edge antibodies with uncompromised quality.
We hope to see you at your next discovery!
We hope to see you at your next discovery!
related products
browse more products
questions and comments
