product summary
Loading...
company name :
HUABIO
product type :
antibody
product name :
MEKK2
catalog :
ET1610-70
quantity :
100μl
price :
385.00 USD
clonality :
monoclonal
host :
domestic rabbit
conjugate :
nonconjugated
clone name :
SC68-02
reactivity :
human, mouse, rat
application :
western blot, immunoprecipitation, flow cytometry, immunohistochemistry - paraffin section
more info or order :
image
image 1 :

All lanes: Western blot analysis of MEKK2 with anti-MEKK2 antibody [SC68-02] (ET1610-70) at 1:1,000 dilution.
Lane 1: Wild-type HEK293A whole cell lysate (20 µg).
Lane 2: MEKK2 knockout HEK293A whole cell lysate (20 µg).
Lane 3: Wild-type MBMEC whole cell lysate (20 µg).
Lane 4: MEKK2 knockout MBMEC whole cell lysate (20 µg).
ET1610-70 was shown to specifically react with MEKK2 in Wild-type HEK293A and Wild-type MBMEC cells. No band was observed when MEKK2 knockout samples were tested. Wild-type and MEKK2 knockout samples were subjected to SDS-PAGE. Proteins were transferred to a PVDF membrane and blocked with 5% NFDM in TBST for 1 hour at room temperature. The primary Anti-MEKK2 antibody (ET1610-70, 1/1,000) and Anti-β-actin antibody (R1207-1, 1/1,000) were used in 5% BSA at room temperature for 2 hours. Goat Anti-Rabbit IgG H&L (HRP) Secondary Antibody (HA1001) at 1:200,000 dilution was used for 1 hour at room temperature.
image 2 :

Western blot analysis of MEKK2 on different lysates using anti-MEKK2 antibody at 1/1,000 dilution.
Positive control: Lane 1: HepG2 Lane 2: Rat brain Lane 3: SW480
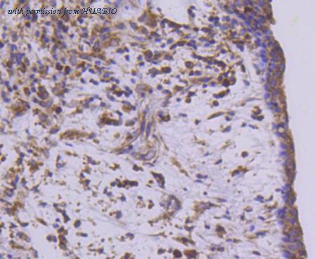
image 3 :

Immunohistochemical analysis of paraffin-embedded human breast carcinoma tissue using anti-MEKK2 antibody. Counter stained with hematoxylin.
product information
SKU :
ET1610-70
Target name :
MEKK2
Species reactivity :
Human,Mouse,Rat
Applications :
WB,IHC-P,IP,FC
Conjugate :
Non-conjugated
Immunogen :
Synthetic peptide within Human MEKK2 aa 1-47 / 619.
Uniprot id :
Q9Y2U5>SwissProt: Q9Y2U5 Human;SwissProt: Q61083 Mouse;Unigene: 213212 Rat
Host :
Rabbit
Clone number :
SC68-02
Isotype :
IgG
Size :
100μl
List Price :
385.00 USD
Storage Buffer :
1*TBS (pH7.4), 0.05% BSA, 40% Glycerol. Preservative: 0.05% Sodium Azide.
Form :
Liquid
Storage Instruction :
Shipped at 4℃. Store at +4℃ short term (1-2 weeks). It is recommended to aliquot into single-use upon delivery. Store at -20℃ long term.
Purity :
Protein A affinity purified.
Product type :
Recombinant Rabbit monoclonal Antibody
Positive control :
SW480, HepG2, HEK293A, MBMEC, mouse brain tissue, human breast carcinoma tissue.
Molecular wt :
70 kDa
Subcellular location :
Cytoplasm, Nucleus.
Concentration :
1 mg/mL.
Recommended dilutions :
WB: 1:1,000-1:2,000
;IHC-P: 1:50-1:200
;FC: 1:50-1:100
;IP: Use at an assay dependent concentration.
Advanced Validation :
Knockout (KO)
Pic img4 :
https://storage.huabio.cn/huabio/productImg/ET1610-70_4.jpg
Pic legend4 :
Immunohistochemical analysis of paraffin-embedded mouse brain tissue using anti-MEKK2 antibody. Counter stained with hematoxylin.
Pic img5 :
https://storage.huabio.cn/huabio/productImg/ET1610-70_5.jpg
Pic legend5 :
Flow cytometric analysis of HepG2 cells with MEKK2 antibody at 1/50 dilution (red) compared with an unlabelled control (cells without incubation with primary antibody; black). Alexa Fluor 488-conjugated goat anti rabbit IgG was used as the secondary antibody.
more info or order :
company information

HUABIO
Founded in 2007, HUABIO is dedicated to developing high-quality antibodies that advance innovation. We are passionate about the accuracy, efficiency, and consistency of our products. That is why we have invested in new production platforms, like recombinant rabbit monoclonals, alpaca nanobodies, and adopted aggressive QA standards to deliver cutting-edge antibodies with uncompromised quality.
We hope to see you at your next discovery!
We hope to see you at your next discovery!
browse more products
questions and comments
