product summary
Loading...
company name :
HUABIO
product type :
antibody
product name :
PI3-kinase p110 subunit beta
catalog :
ET1610-36
quantity :
100μl
price :
385.00 USD
clonality :
monoclonal
host :
domestic rabbit
conjugate :
nonconjugated
clone name :
SC0580
reactivity :
human
application :
western blot, immunoprecipitation, flow cytometry, immunohistochemistry - paraffin section
more info or order :
image
image 1 :

Western blot analysis of PI3-kinase p110 subunit beta on different lysates with Rabbit anti-PI3-kinase p110 subunit beta antibody (ET1610-36) at 1/1,000 dilution.
Lane 1: Jurkat cell lysate
Lane 2: K-562 cell lysate
Lane 3: HeLa cell lysate
Lane 4: MCF7 cell lysate
Lysates/proteins at 20 µg/Lane.
Predicted band size: 123 kDa
Observed band size: 110 kDa
Exposure time: 1 minute; ECL: K1802;
4-20% SDS-PAGE gel.
Proteins were transferred to a PVDF membrane and blocked with 5% NFDM/TBST for 1 hour at room temperature. The primary antibody (ET1610-36) at 1/1,000 dilution was used in 5% NFDM/TBST at 4℃ overnight. Goat Anti-Rabbit IgG - HRP Secondary Antibody (HA1001) at 1/50,000 dilution was used for 1 hour at room temperature.
image 2 :

Western blot analysis of PI3-kinase p110 subunit beta on different lysates with Rabbit anti-PI3-kinase p110 subunit beta antibody (ET1610-36) at 1/2,000 dilution.
Lane 1: HAP1-parental cell lysate
Lane 2: HAP1-PI3-kinase p110 subunit beta KD cell lysate
Lysates/proteins at 10 µg/Lane.
Predicted band size: 123 kDa
Observed band size: 110 kDa
Exposure time: 40 seconds; ECL: K1802;
4-20% SDS-PAGE gel.
Proteins were transferred to a PVDF membrane and blocked with 5% NFDM/TBST for 1 hour at room temperature. The primary antibody (ET1610-36) at 1/2,000 dilution was used in primary antibody dilution (K1803) at 4℃ overnight. Goat Anti-Rabbit IgG - HRP Secondary Antibody (HA1001) at 1/50,000 dilution was used for 1 hour at room temperature.
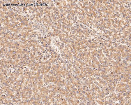
image 3 :

Immunohistochemical analysis of paraffin-embedded human liver carcinoma tissue using anti-PI3-kinase p110 subunit beta antibody. The section was pre-treated using heat mediated antigen retrieval with Tris-EDTA buffer (pH 8.0-8.4) for 20 minutes.The tissues were blocked in 5% BSA for 30 minutes at room temperature, washed with ddH2O and PBS, and then probed with the primary antibody (ET1610-36, 1/50) for 30 minutes at room temperature. The detection was performed using an HRP conjugated compact polymer system. DAB was used as the chromogen. Tissues were counterstained with hematoxylin and mounted with DPX.
product information
SKU :
ET1610-36
Target name :
PI3-kinase p110 subunit beta
Species reactivity :
Human
Applications :
WB,IP,IHC-P,FC
Conjugate :
Non-conjugated
Immunogen :
Synthetic peptide within Human PIK3CB aa 5-52 / 1070.
Uniprot id :
P42338>SwissProt: P42338 Human
Host :
Rabbit
Clone number :
SC0580
Isotype :
IgG
Size :
100μl
List Price :
385.00 USD
Storage Buffer :
1*TBS (pH7.4), 0.05% BSA, 40% Glycerol. Preservative: 0.05% Sodium Azide.
Form :
Liquid
Storage Instruction :
Shipped at 4℃. Store at +4℃ short term (1-2 weeks). It is recommended to aliquot into single-use upon delivery. Store at -20℃ long term.
Purity :
Protein A affinity purified.
Product type :
Recombinant Rabbit monoclonal Antibody
Positive control :
Jurkat cell lysate, K-562 cell lysate, HeLa cell lysate, MCF7 cell lysate, human liver carcinoma tissue, Hela.
Molecular wt :
Predicted band size: 123 kDa
Subcellular location :
Cytoplasm, Nucleus.
Concentration :
1 mg/mL.
Recommended dilutions :
WB: 1:1,000
;IHC-P: 1:50-1:100
;FC: 1:50-1:100
;IP: Use at an assay dependent concentration.
Advanced Validation :
Knockdown (KD)
Pic img4 :
https://storage.huabio.cn/huabio/productImg/ET1610-36_4.jpg
Pic legend4 :
Flow cytometric analysis of PI3-kinase p110 subunit beta was done on Hela cells. The cells were fixed, permeabilized and stained with the primary antibody (ET1610-36, 1/50) (red). After incubation of the primary antibody at room temperature for an hour, the cells were stained with a Alexa Fluor 488-conjugated Goat anti-Rabbit IgG Secondary antibody at 1/1000 dilution for 30 minutes.Unlabelled sample was used as a control (cells without incubation with primary antibody; black).
more info or order :
company information

HUABIO
Founded in 2007, HUABIO is dedicated to developing high-quality antibodies that advance innovation. We are passionate about the accuracy, efficiency, and consistency of our products. That is why we have invested in new production platforms, like recombinant rabbit monoclonals, alpaca nanobodies, and adopted aggressive QA standards to deliver cutting-edge antibodies with uncompromised quality.
We hope to see you at your next discovery!
We hope to see you at your next discovery!
related products
browse more products
questions and comments
