product summary
Loading...
company name :
HUABIO
product type :
antibody
product name :
Phospho-PKA R2 (S99)
catalog :
ET1610-29
quantity :
100μl
price :
385.00 USD
clonality :
monoclonal
host :
domestic rabbit
conjugate :
nonconjugated
clone name :
SC54-04
reactivity :
human, mouse, rat
application :
western blot, immunoprecipitation, flow cytometry, immunohistochemistry - paraffin section
more info or order :
image
image 1 :

Western blot analysis of Phospho-PKA R2 (S99) on different lysates with Rabbit anti-Phospho-PKA R2 (S99) antibody (ET1610-29) at 1/2,000 dilution.
Lane 1: PC-12 cell lysate
Lane 2: PC-12 treated with 100nM Calyculin A for 30 minutes cell lysate
Lysates/proteins at 20 µg/Lane.
Predicted band size: 46 kDa
Observed band size: 50 kDa
Exposure time: 20 seconds; ECL: K1801;
4-20% SDS-PAGE gel.
Proteins were transferred to a PVDF membrane and blocked with 5% NFDM/TBST for 1 hour at room temperature. The primary antibody (ET1610-29) at 1/2,000 dilution was used in 5% NFDM/TBST at 4℃ overnight. Goat Anti-Rabbit IgG - HRP Secondary Antibody (HA1001) at 1/50,000 dilution was used for 1 hour at room temperature.
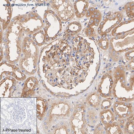
image 2 :

Immunohistochemical analysis of paraffin-embedded human kidney tissue untreated / treated with λpp with Rabbit anti-Phospho-PKA R2 (S99) antibody (ET1610-29) at 1/1,000 dilution.
The section was pre-treated using heat mediated antigen retrieval with Tris-EDTA buffer (pH 9.0) for 20 minutes. The tissues were blocked in 1% BSA for 20 minutes at room temperature, washed with ddH2O and PBS, and then probed with the primary antibody (ET1610-29) at 1/1,000 dilution for 1 hour at room temperature. The detection was performed using an HRP conjugated compact polymer system. DAB was used as the chromogen. Tissues were counterstained with hematoxylin and mounted with DPX.
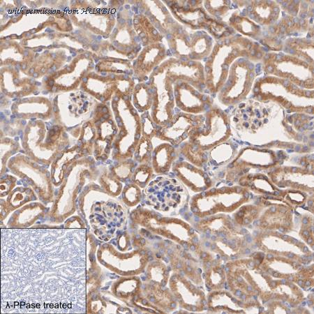
image 3 :

Immunohistochemical analysis of paraffin-embedded mouse kidney tissue untreated / treated with λpp with Rabbit anti-Phospho-PKA R2 (S99) antibody (ET1610-29) at 1/1,000 dilution.
The section was pre-treated using heat mediated antigen retrieval with Tris-EDTA buffer (pH 9.0) for 20 minutes. The tissues were blocked in 1% BSA for 20 minutes at room temperature, washed with ddH2O and PBS, and then probed with the primary antibody (ET1610-29) at 1/1,000 dilution for 1 hour at room temperature. The detection was performed using an HRP conjugated compact polymer system. DAB was used as the chromogen. Tissues were counterstained with hematoxylin and mounted with DPX.
product information
SKU :
ET1610-29
Target name :
Phospho-PKA R2 (S99)
Species reactivity :
Human,Mouse,Rat,Pig
Applications :
WB,IF-Cell,IF-Tissue,IHC-P,IP,FC
Conjugate :
Non-conjugated
Immunogen :
Synthetic phospho-peptide corresponding to residues surrounding Ser99 of Human PKA R2 aa 82-126 / 404.
Uniprot id :
P13861>SwissProt: P13861 Human;SwissProt: P12367 Mouse;SwissProt: P12368 Rat
Host :
Rabbit
Clone number :
SC54-04
Isotype :
IgG
Size :
100μl
List Price :
385.00 USD
Storage Buffer :
1*TBS (pH7.4), 0.05% BSA, 40% Glycerol. Preservative: 0.05% Sodium Azide.
Form :
Liquid
Storage Instruction :
Shipped at 4℃. Store at +4℃ short term (1-2 weeks). It is recommended to aliquot into single-use upon delivery. Store at -20℃ long term.
Purity :
Protein A affinity purified.
Product type :
Recombinant Rabbit monoclonal Antibody
Positive control :
PC-12 treated with 100nM Calyculin A for 30 minutes cell lysate, human kidney tissue, mouse kidney tissue, rat kidney tissue, human colon cancer tissue, PC-12 cells treated with 100nM Calyculin A for 30 minutes, PC-12.
Molecular wt :
Predicted band size: 46 kDa
Subcellular location :
Cytoplasm, Cell membrane.
Concentration :
1 mg/mL.
Recommended dilutions :
WB: 1:2,000
;IF-Cell: 1:200
;IF-Tissue: 1:50-1:200
;IHC-P: 1:1,000
;IP: 1-2μg/sample
;FC: 1:1,000
Advanced Validation :
Cell treatment (CT)
Pic img4 :
https://storage.huabio.cn/huabio/productImg/ET1610-29_4.jpg
Pic legend4 :
Immunohistochemical analysis of paraffin-embedded rat kidney tissue untreated / treated with λpp with Rabbit anti-Phospho-PKA R2 (S99) antibody (ET1610-29) at 1/1,000 dilution.
The section was pre-treated using heat mediated antigen retrieval with Tris-EDTA buffer (pH 9.0) for 20 minutes. The tissues were blocked in 1% BSA for 20 minutes at room temperature, washed with ddH2O and PBS, and then probed with the primary antibody (ET1610-29) at 1/1,000 dilution for 1 hour at room temperature. The detection was performed using an HRP conjugated compact polymer system. DAB was used as the chromogen. Tissues were counterstained with hematoxylin and mounted with DPX.
Pic img5 :
https://storage.huabio.cn/huabio/productImg/ET1610-29_5.jpg
Pic legend5 :
Immunohistochemical analysis of paraffin-embedded human colon cancer tissue with Rabbit anti-Phospho-PKA R2 (S99) antibody (ET1610-29) at 1/1,000 dilution.
The section was pre-treated using heat mediated antigen retrieval with Tris-EDTA buffer (pH 9.0) for 20 minutes. The tissues were blocked in 1% BSA for 20 minutes at room temperature, washed with ddH2O and PBS, and then probed with the primary antibody (ET1610-29) at 1/1,000 dilution for 1 hour at room temperature. The detection was performed using an HRP conjugated compact polymer system. DAB was used as the chromogen. Tissues were counterstained with hematoxylin and mounted with DPX.
Pic img6 :
https://storage.huabio.cn/huabio/productImg/ET1610-29_6.jpg
Pic legend6 :
Immunocytochemistry analysis of PC-12 cells untreated / treated with 100nM Calyculin A for 30 minutes labeling Phospho-PKA R2 (S99) with Rabbit anti-Phospho-PKA R2 (S99) antibody (ET1610-29) at 1/200 dilution.
Cells were fixed in 4% paraformaldehyde for 15 minutes at room temperature, permeabilized with 0.1% Triton X-100 in PBS for 15 minutes at room temperature, then blocked with 1% BSA in 10% negative goat serum for 1 hour at room temperature. Cells were then incubated with Rabbit anti-Phospho-PKA R2 (S99) antibody (ET1610-29) at 1/200 dilution in 1% BSA in PBST overnight at 4 ℃. Goat Anti-Rabbit IgG H&L (iFluor™ 488, HA1121) was used as the secondary antibody at 1/1,000 dilution. PBS instead of the primary antibody was used as the secondary antibody only control. Nuclear DNA was labelled in blue with DAPI.
Beta tubulin (HA601187, red) was stained at 1/100 dilution overnight at +4℃. Goat Anti-Mouse IgG H&L (iFluor™ 594, HA1126) was used as the secondary antibody at 1/1,000 dilution.
Pic img7 :
https://storage.huabio.cn/huabio/productImg/ET1610-29_7.jpg
Pic legend7 :
Flow cytometric analysis of PC-12 cells labeling Phospho-PKA R2 (S99).
Cells were fixed and permeabilized. Then stained with the primary antibody (ET1610-29, 1/1,000) (red) compared with Rabbit IgG Isotype Control (green). After incubation of the primary antibody at +4℃ for an hour, the cells were stained with a iFluor™ 488 conjugate-Goat anti-Rabbit IgG Secondary antibody (HA1121) at 1/1,000 dilution for 30 minutes at +4℃. Unlabelled sample was used as a control (cells without incubation with primary antibody; black).
Pic img8 :
https://storage.huabio.cn/huabio/productImg/ET1610-29_8.jpg
Pic legend8 :
Phospho-PKA R2 (S99) was immunoprecipitated from 0.2 mg PC-12 cell lysate with ET1610-29 at 2 µg/10 µl beads. Western blot was performed from the immunoprecipitate using ET1610-29 at 1/1,000 dilution. HRP Conjugated Anti-Rabbit IgG for IP Nano-secondary antibody at 1/5,000 dilution was used for 1 hour at room temperature.
Lane 1: PC-12 cell lysate (input)
Lane 2: ET1610-29 IP in PC-12 cell lysate
Lane 3: Rabbit IgG instead of ET1610-29 in PC-12 cell lysate
Blocking/Dilution buffer: 5% NFDM/TBST
Exposure time: 20 seconds; ECL: K1801
more info or order :
company information

HUABIO
Founded in 2007, HUABIO is dedicated to developing high-quality antibodies that advance innovation. We are passionate about the accuracy, efficiency, and consistency of our products. That is why we have invested in new production platforms, like recombinant rabbit monoclonals, alpaca nanobodies, and adopted aggressive QA standards to deliver cutting-edge antibodies with uncompromised quality.
We hope to see you at your next discovery!
We hope to see you at your next discovery!
related products
browse more products
questions and comments
