product summary
Loading...
company name :
HUABIO
product type :
antibody
product name :
HtrA2 / Omi
catalog :
ET1609-73
quantity :
100μl
price :
385.00 USD
clonality :
monoclonal
host :
domestic rabbit
conjugate :
nonconjugated
clone name :
ST54-05
reactivity :
human, mouse, rat
application :
western blot, immunoprecipitation, immunohistochemistry - paraffin section
more info or order :
image
image 1 :

Western blot analysis of HtrA2 / Omi on different lysates with Rabbit anti-HtrA2 / Omi antibody (ET1609-73) at 1/2,000 dilution.
Lane 1: HEK-293 cell lysate (20 µg/Lane)
Lane 2: Jurkat cell lysate (20 µg/Lane)
Lane 3: HeLa cell lysate (20 µg/Lane)
Lane 4: SH-SY5Y cell lysate (20 µg/Lane)
Lane 5: Mouse liver tissue lysate (40 µg/Lane)
Lane 6: Rat liver tissue lysate (40 µg/Lane)
Predicted band size: 49 kDa
Observed band size: 38 kDa
Exposure time: 17 seconds; ECL: K1801;
4-20% SDS-PAGE gel.
Proteins were transferred to a PVDF membrane and blocked with 5% NFDM/TBST for 1 hour at room temperature. The primary antibody (ET1609-73) at 1/2,000 dilution was used in 5% NFDM/TBST at 4℃ overnight. Goat Anti-Rabbit IgG - HRP Secondary Antibody (HA1001) at 1/50,000 dilution was used for 1 hour at room temperature.
image 2 :

Western blot analysis of HtrA2 / Omi on different lysates with Rabbit anti-HtrA2 / Omi antibody (ET1609-73) at 1/5,000 dilution.
Lane 1: HAP1-parental cell lysate
Lane 2: HAP1-HtrA2 / Omi KD cell lysate
Lysates/proteins at 10 µg/Lane.
Predicted band size: 49 kDa
Observed band size: 38 kDa
Exposure time: 1 minute; ECL: K1801;
4-20% SDS-PAGE gel.
Proteins were transferred to a PVDF membrane and blocked with 5% NFDM/TBST for 1 hour at room temperature. The primary antibody (ET1609-73) at 1/5,000 dilution was used in primary antibody dilution (K1803) at 4℃ overnight. Goat Anti-Rabbit IgG - HRP Secondary Antibody (HA1001) at 1/50,000 dilution was used for 1 hour at room temperature.
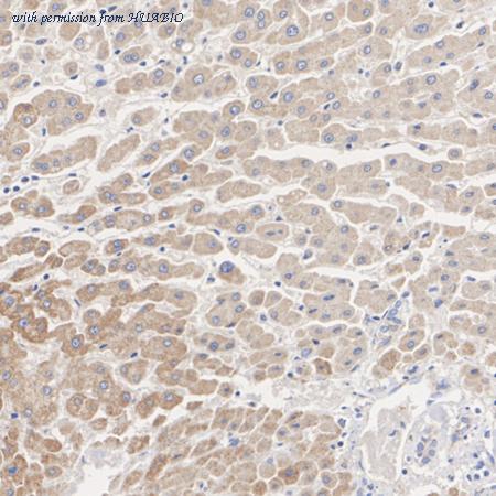
image 3 :

Immunohistochemical analysis of paraffin-embedded human liver tissue with Rabbit anti-HtrA2 / Omi antibody (ET1609-73) at 1/200 dilution.
The section was pre-treated using heat mediated antigen retrieval with Tris-EDTA buffer (pH 9.0) for 20 minutes. The tissues were blocked in 1% BSA for 20 minutes at room temperature, washed with ddH2O and PBS, and then probed with the primary antibody (ET1609-73) at 1/200 dilution for 1 hour at room temperature. The detection was performed using an HRP conjugated compact polymer system. DAB was used as the chromogen. Tissues were counterstained with hematoxylin and mounted with DPX.
product information
SKU :
ET1609-73
Target name :
HtrA2 / Omi
Species reactivity :
Human,Mouse,Rat
Applications :
WB,IHC-P,IP
Conjugate :
Non-conjugated
Immunogen :
Recombinant protein within Human HtrA2 aa 80-188 / 458.
Uniprot id :
O43464>SwissProt: O43464 Human;SwissProt: Q9JIY5 Mouse;Unigene: 107325 Rat
Host :
Rabbit
Clone number :
ST54-05
Isotype :
IgG
Size :
100μl
List Price :
385.00 USD
Storage Buffer :
1*TBS (pH7.4), 0.05% BSA, 40% Glycerol. Preservative: 0.05% Sodium Azide.
Form :
Liquid
Storage Instruction :
Shipped at 4℃. Store at +4℃ short term (1-2 weeks). It is recommended to aliquot into single-use upon delivery. Store at -20℃ long term.
Purity :
Protein A affinity purified.
Product type :
Recombinant Rabbit monoclonal Antibody
Positive control :
HEK-293 cell lysate, Jurkat cell lysate, HeLa cell lysate, SH-SY5Y cell lysate, Mouse liver tissue lysate, Rat liver tissue lysate, human liver tissue, rat liver tissue, mouse liver tissue.
Molecular wt :
Predicted band size: 49 kDa
Subcellular location :
Mitochondrion intermembrane space, Mitochondrion membrane.
Concentration :
1 mg/mL.
Recommended dilutions :
WB: 1:2,000
;IHC-P: 1:50-1:200
Advanced Validation :
Knockdown (KD)
Pic img4 :
https://storage.huabio.cn/huabio/productImg/ET1609-73_4.jpg
Pic legend4 :
Immunohistochemical analysis of paraffin-embedded rat liver tissue with Rabbit anti-HtrA2 / Omi antibody (ET1609-73) at 1/200 dilution.
The section was pre-treated using heat mediated antigen retrieval with Tris-EDTA buffer (pH 9.0) for 20 minutes. The tissues were blocked in 1% BSA for 20 minutes at room temperature, washed with ddH2O and PBS, and then probed with the primary antibody (ET1609-73) at 1/200 dilution for 1 hour at room temperature. The detection was performed using an HRP conjugated compact polymer system. DAB was used as the chromogen. Tissues were counterstained with hematoxylin and mounted with DPX.
Pic img5 :
https://storage.huabio.cn/huabio/productImg/ET1609-73_5.jpg
Pic legend5 :
Immunohistochemical analysis of paraffin-embedded mouse liver tissue with Rabbit anti-HtrA2 / Omi antibody (ET1609-73) at 1/50 dilution.
The section was pre-treated using heat mediated antigen retrieval with Tris-EDTA buffer (pH 8.0-8.4) for 20 minutes. The tissues were blocked in 1% BSA for 20 minutes at room temperature, washed with ddH2O and PBS, and then probed with the primary antibody (ET1609-73) at 1/50 dilution for 0.5 hour at room temperature. The detection was performed using an HRP conjugated compact polymer system. DAB was used as the chromogen. Tissues were counterstained with hematoxylin and mounted with DPX.
more info or order :
company information

HUABIO
Founded in 2007, HUABIO is dedicated to developing high-quality antibodies that advance innovation. We are passionate about the accuracy, efficiency, and consistency of our products. That is why we have invested in new production platforms, like recombinant rabbit monoclonals, alpaca nanobodies, and adopted aggressive QA standards to deliver cutting-edge antibodies with uncompromised quality.
We hope to see you at your next discovery!
We hope to see you at your next discovery!
browse more products
questions and comments
