product summary
Loading...
company name :
HUABIO
product type :
antibody
product name :
Neuropilin 1
catalog :
ET1609-69-50UL
quantity :
50μl
price :
205.00 USD
clonality :
monoclonal
host :
domestic rabbit
conjugate :
nonconjugated
clone name :
ST05-30
reactivity :
human, mouse, rat
application :
western blot, immunoprecipitation, immunohistochemistry - paraffin section
more info or order :
image
image 1 :

Western blot analysis of Neuropilin 1 on different lysates with Rabbit anti-Neuropilin 1 antibody (ET1609-69) at 1/2,000 dilution and competitor's antibody at 1/2,000 dilution.
Lane 1: U-87 MG cell lysate
Lane 2: A549 cell lysate
Lane 3: SK-Br-3 cell lysate (low expression)
Lane 4: MDA-MB-231 cell lysate
Lane 5: Mouse brain tissue lysate
Lane 6: Rat brain tissue lysate
Lysates/proteins at 20 µg/Lane.
Predicted band size: 103 kDa
Observed band size: 130 kDa
Exposure time: 35 seconds; ECL: K1802;
4-20% SDS-PAGE gel.
Proteins were transferred to a PVDF membrane and blocked with 5% NFDM/TBST for 1 hour at room temperature. The primary antibody (ET1609-69) at 1/2,000 dilution and competitor's antibody at 1/2,000 dilution were used in 5% BSA at 4℃ overnight. Goat Anti-Rabbit IgG - HRP Secondary Antibody (HA1001) at 1/50,000 dilution was used for 1 hour at room temperature.
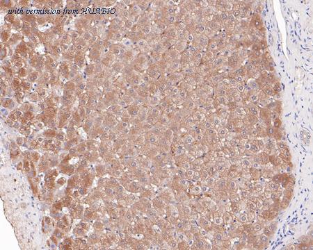
image 2 :

Immunohistochemical analysis of paraffin-embedded human liver tissue with Rabbit anti-Neuropilin 1 antibody (ET1609-69) at 1/200 dilution.
The section was pre-treated using heat mediated antigen retrieval with Tris-EDTA buffer (pH 9.0) for 20 minutes. The tissues were blocked in 1% BSA for 20 minutes at room temperature, washed with ddH2O and PBS, and then probed with the primary antibody (ET1609-69) at 1/200 dilution for 1 hour at room temperature. The detection was performed using an HRP conjugated compact polymer system. DAB was used as the chromogen. Tissues were counterstained with hematoxylin and mounted with DPX.
image 3 :

Western blot analysis of Neuropilin 1 on different lysates with Rabbit anti-Neuropilin 1 antibody (ET1609-69) at 1/5,000 dilution.
Lane 1: A549 cell lysate
Lane 2: MDA-MB-231 cell lysate
Lane 3: SK-Br-3 cell lysate (low expression)
Lane 4: Mouse brain tissue lysate
Lane 5: Mouse heart tissue lysate
Lane 6: Rat brain tissue lysate
Lane 7: Rat heart tissue lysate
Lysates/proteins at 20 µg/Lane.
Predicted band size: 103 kDa
Observed band size: 130 kDa
Exposure time: Lane 1-3: 1 minute 21 seconds; Lane 4-7: 43 seconds;
4-20% SDS-PAGE gel.
Proteins were transferred to a PVDF membrane and blocked with 5% NFDM/TBST for 1 hour at room temperature. The primary antibody (ET1609-69) at 1/5,000 dilution was used in 5% NFDM/TBST at room temperature for 2 hours. Goat Anti-Rabbit IgG - HRP Secondary Antibody (HA1001) at 1:100,000 dilution was used for 1 hour at room temperature.
product information
SKU :
ET1609-69-50UL
Target name :
Neuropilin 1
Species reactivity :
Human,Mouse,Rat
Applications :
WB,IF-Cell,IF-Tissue,IHC-P,IP
Conjugate :
Non-conjugated
Immunogen :
Synthetic peptide within Human Neuropilin-1 aa 881-923 / 923.
Uniprot id :
O14786>SwissProt: O14786 Human;SwissProt: P97333 Mouse;SwissProt: Q9QWJ9 Rat
Host :
Rabbit
Clone number :
ST05-30
Isotype :
IgG
Size :
50μl
List Price :
205.00 USD
Storage Buffer :
1*TBS (pH7.4), 0.05% BSA, 40% Glycerol. Preservative: 0.05% Sodium Azide.
Form :
Liquid
Storage Instruction :
Shipped at 4℃. Store at +4℃ short term (1-2 weeks). It is recommended to aliquot into single-use upon delivery. Store at -20℃ long term.
Purity :
Protein A affinity purified.
Product type :
Recombinant Rabbit monoclonal Antibody
Positive control :
U-87 MG cell lysate, A549 cell lysate, MDA-MB-231 cell lysate, mouse brain tissue lysate, rat brain tissue lysate, human liver tissue, mouse heart tissue lysate, rat heart tissue lysate, SHG-44, MCF-7, HUVEC, human kidney tissue, mouse kidney tissue.
Molecular wt :
Predicted band size: 103 kDa
Subcellular location :
Cell membrane, Secreted.
Concentration :
1 mg/mL.
Recommended dilutions :
WB: 1:2,000-1:5,000
;IF-Cell: 1:50-1:200
;IF-Tissue: 1:50-1:200
;IHC-P: 1:50-1:200
;IP: Use at an assay dependent concentration.
Advanced Validation :
Relative expression (RE),Knockdown (KD)
Pic img4 :
https://storage.huabio.cn/huabio/productImg/ET1609-69_4.jpg
Pic legend4 :
ICC staining of Neuropilin 1 in SHG-44 cells (green). Formalin fixed cells were permeabilized with 0.1% Triton X-100 in TBS for 10 minutes at room temperature and blocked with 1% Blocker BSA for 15 minutes at room temperature. Cells were probed with the primary antibody (ET1609-69, 1/50) for 1 hour at room temperature, washed with PBS. Alexa Fluor®488 Goat anti-Rabbit IgG was used as the secondary antibody at 1/1,000 dilution. The nuclear counter stain is DAPI (blue).
Pic img5 :
https://storage.huabio.cn/huabio/productImg/ET1609-69_5.jpg
Pic legend5 :
ICC staining of Neuropilin 1 in MCF-7 cells (green). Formalin fixed cells were permeabilized with 0.1% Triton X-100 in TBS for 10 minutes at room temperature and blocked with 1% Blocker BSA for 15 minutes at room temperature. Cells were probed with the primary antibody (ET1609-69, 1/50) for 1 hour at room temperature, washed with PBS. Alexa Fluor®488 Goat anti-Rabbit IgG was used as the secondary antibody at 1/1,000 dilution. The nuclear counter stain is DAPI (blue).
Pic img6 :
https://storage.huabio.cn/huabio/productImg/ET1609-69_6.jpg
Pic legend6 :
ICC staining of Neuropilin 1 in HUVEC cells (green). Formalin fixed cells were permeabilized with 0.1% Triton X-100 in TBS for 10 minutes at room temperature and blocked with 1% Blocker BSA for 15 minutes at room temperature. Cells were probed with the primary antibody (ET1609-69, 1/50) for 1 hour at room temperature, washed with PBS. Alexa Fluor®488 Goat anti-Rabbit IgG was used as the secondary antibody at 1/1,000 dilution. The nuclear counter stain is DAPI (blue).
Pic img7 :
https://storage.huabio.cn/huabio/productImg/ET1609-69_7.jpg
Pic legend7 :
Immunohistochemical analysis of paraffin-embedded human kidney tissue with Rabbit anti-Neuropilin 1 antibody (ET1609-69) at 1/50 dilution.
The section was pre-treated using heat mediated antigen retrieval with Tris-EDTA buffer (pH 9.0) for 20 minutes. The tissues were blocked in 1% BSA for 20 minutes at room temperature, washed with ddH2O and PBS, and then probed with the primary antibody (ET1609-69) at 1/50 dilution for 1 hour at room temperature. The detection was performed using an HRP conjugated compact polymer system. DAB was used as the chromogen. Tissues were counterstained with hematoxylin and mounted with DPX.
Pic img8 :
https://storage.huabio.cn/huabio/productImg/ET1609-69_8.jpg
Pic legend8 :
Immunohistochemical analysis of paraffin-embedded mouse kidney tissue with Rabbit anti-Neuropilin 1 antibody (ET1609-69) at 1/200 dilution.
The section was pre-treated using heat mediated antigen retrieval with Tris-EDTA buffer (pH 9.0) for 20 minutes. The tissues were blocked in 1% BSA for 20 minutes at room temperature, washed with ddH2O and PBS, and then probed with the primary antibody (ET1609-69) at 1/200 dilution for 1 hour at room temperature. The detection was performed using an HRP conjugated compact polymer system. DAB was used as the chromogen. Tissues were counterstained with hematoxylin and mounted with DPX.
Pic img9 :
https://storage.huabio.cn/huabio/productImg/ET1609-69_9.jpg
Pic legend9 :
Western blot analysis of Neuropilin 1 on different lysates with Rabbit anti-Neuropilin 1 antibody (ET1609-69) at 1/5,000 dilution.
Lane 1: MDA-MB-231-si NT cell lysate
Lane 2: MDA-MB-231-si Neuropilin 1 cell lysate
Lysates/proteins at 10 µg/Lane.
Predicted band size: 103 kDa
Observed band size: 130 kDa
Exposure time: 1 minute 2 seconds;
4-20% SDS-PAGE gel.
Proteins were transferred to a PVDF membrane and blocked with 5% NFDM/TBST for 1 hour at room temperature. The primary antibody (ET1609-69) at 1/5,000 dilution was used in 5% NFDM/TBST at 4℃ overnight. Goat Anti-Rabbit IgG - HRP Secondary Antibody (HA1001) at 1/50,000 dilution was used for 1 hour at room temperature.
more info or order :
company information

HUABIO
Founded in 2007, HUABIO is dedicated to developing high-quality antibodies that advance innovation. We are passionate about the accuracy, efficiency, and consistency of our products. That is why we have invested in new production platforms, like recombinant rabbit monoclonals, alpaca nanobodies, and adopted aggressive QA standards to deliver cutting-edge antibodies with uncompromised quality.
We hope to see you at your next discovery!
We hope to see you at your next discovery!
related products
browse more products
questions and comments
